
Tại Sao Phương Pháp Trám Răng Thẩm Mỹ Được Nhiều Người Ưa Chuộng ?

Cố vấn chuyên môn:TS.BS. Nguyễn Hiếu Tùng
- Giám đốc Nha khoa I-DENT
- 10 năm tu nghiệp tại Pháp - hơn 10.000 ca Implant thành công
1. Trám răng thẩm mỹ là gì?
Trám răng thẩm mỹ là kỹ thuật để khôi phục lại hình dạng cũng như chức năng ăn nhai của những chiếc răng vỡ mẻ, răng sâu… Đồng thời, phương pháp này còn giúp ngăn chặn vi khuẩn có thể xâm nhập vào răng và giúp ngăn ngừa răng bị sâu nặng hơn, bằng cách lấp đầy khoảng trống với vật liệu làm đầy chuyên dụng.
Bên cạnh đó, do không phải mài cùi hay chụp răng nên trám răng hoàn toàn không gây ảnh hưởng đến cấu trúc răng.

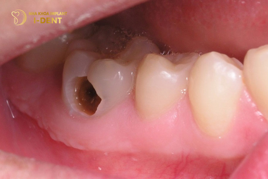
Trám răng thẩm mỹ
2. Trường hợp nào nên trám răng thẩm mỹ
Dưới đây là những trường hợp cụ thể có thể trám răng thẩm mỹ như:
- Răng bị bể vỡ, sứt mẻ do thương tổn, va chạm hay ăn nhai.
- Răng bị mòn do lực nhai, lực cơ học (chải răng) hay do sự bào mòn của acid.
- Răng bị phá hủy mô răng do sâu răng, viêm tủy…
- Răng có hình dáng không hoàn hảo như ngắn, thưa ở mức độ nhẹ, răng quá nhỏ…
Không phải trường hợp nào cũng có thể áp dụng công nghệ trám răng để điều trị và xử lý thẩm mỹ. Tuỳ vào tình trạng cụ thể của từng người mà bác sĩ sẽ tư vấn phương pháp tối ưu nhất. Ví dụ như trong trường hợp răng thưa quá nhiều thì nên bọc sứ hoặc niềng răng vì miếng trám kẽ lớn rất dễ bị bong tróc và kém thẩm mỹ.

Răng bị bể vỡ, sứt mẻ do thương tổn, va chạm hay ăn nhai
3. Quy trình trám răng (hàn răng)
Dưới đây là những bước điều trị của quy trình trám răng tại Nha khoa I-DENT như sau:
- Bước 1: Thăm khám tổng quát
Bác sĩ tiến hành thăm khám để xác định mức độ tổn thương của răng cần trám. Nếu cần có thể cho chụp phim X-Quang để xác định xem tủy răng có bị tổn thương hay không. Sau đó, bác sĩ sẽ lựa chọn phương pháp và vật liệu trám thích hợp.
- Bước 2: Sửa soạn xoang trám
Bác sĩ tiến hành nạo sạch phần mô bị hư hại cũng như mài vát men làm tăng độ lưu giữ của miếng trám. Đây là cũng là một trong những bước quan trọng đối với quy trình trám răng, vì nếu không làm sạch được phần răng sâu thì các vi khuẩn sẽ hình thành khiến răng không được trị dứt điểm.
- Bước 3: So màu răng
Quy trình hàn răng thẩm mỹ tuyệt đối không thể thiếu bước so màu răng, giúp bác sĩ lựa chọn chính xác màu của vật liệu trám.
- Bước 4: Đặt khuôn trám hoặc dùng chỉ co nướu
Sử dụng chỉ co nướu hoặc đặt khuôn trám trong những trường hợp bờ xoang sâu dưới nướu hoặc xoang sâu lớn.
- Bước 5: Tiến hành thực hiện trám răng
Thực hiện quy trình trám răng qua các bước tiêu chuẩn: xói mòn acid (etching), tạo lớp dán (bonding) và trám composite resin quang trùng hợp (light polymerization).
- Bước 6: Kiểm tra lại
Sau khi hoàn tất các bước trám răng ở trên, bác sĩ sẽ kiểm tra lại để chỉnh những điểm vướng, cộm để bệnh nhân ăn nhai dễ dàng và thoải mái hơn.

Quy trình hàn răng thẩm mỹ
4. Trám răng giữ được bao lâu?
Trám răng giữ được bao lâu phụ thuộc vào rất nhiều yếu tố dưới đây:
- Vật liệu trám răng
Cũng như răng sứ, các loại vật liệu trám răng khác nhau sẽ có ưu nhược điểm và độ bền khác nhau như:
– Vật liệu Amalgam: tính thẩm mỹ không cao nên không thích hợp trám ở những vị trí như răng cửa, độ chịu lực và ăn nhai tốt, tuổi thọ kéo dài đến khoảng 5-6 năm
– Vật liệu Composite : có độ chịu lực tốt, tính thẩm mỹ cao, có màu sắc giống như răng thật nên phù hợp với những vị trí răng cửa, tuổi thọ chỉ kéo dài khoảng 2 đến 3 năm.
- Nha khoa và tay nghề bác sĩ
Cơ sở nha khoa uy tín-chất lượng và bác sĩ thực hiện là người có kinh nghiệm sẽ đem lại cho bạn kết quả trám răng vừa an toàn vừa thẩm mỹ. Bên cạnh đó, vết trám sẽ sử dụng được lâu dài hơn.
- Chăm sóc răng miệng
Sau khi trám răng, bạn hãy hạn chế ăn những thức ăn cứng, dai và vệ sinh răng miệng, thường xuyên dùng chỉ nha khoa sau mỗi bữa ăn để gia tăng tuổi thọ cho vết trám.

Những yếu tố trám răng giữ được lâu
5. Bảng giá trám răng tại nha khoa I-DENT
Tại nha khoa I-DENT chi phí hàn răng thẩm mỹ và các dịch vụ khác luôn được công khai minh bạch và rõ ràng trên website của nha khoa, giúp khách hàng có sự lựa chọn dễ dàng hơn.
Quý khách có thể tham khảo bảng giá tất cả các dịch vụ điều trị tủy răng và trám răng tại I-DENT dưới đây:
|
TRÁM RĂNG |
|
|---|---|
| Trám răng sữa | 100.000 – 250.000 VNĐ/ Răng |
| Trám răng mòn cổ | 300.000 VNĐ/ Răng |
| Trám răng sâu men | 300.000 VNĐ/ Răng |
| Trám răng sâu ngà nhỏ | 300.000 – 400.000 VNĐ/ Răng |
| Trám răng sâu ngà to/vỡ lớn | 400.000 – 500.000 VNĐ/ Răng |
| Trám kẽ răng | 400.000 VNĐ/ Răng |
| Đắp mặt răng | 400.000 VNĐ/ Răng |
| Trám răng sau khi điều trị tủy | 200.000 – 400.000 VNĐ/ Răng |
| Trám Inlay/ Onlay/ BioDentine | 3.000.000 VNĐ/ Răng |
Để đảm bảo miếng trám răng thẩm mỹ sử dụng được bền lâu, bạn nên lựa chọn những nha khoa uy tín, với đội ngũ bác sĩ có kỹ thuật giỏi và tất cả vật liệu nha khoa được sử dụng phải có nguồn gốc rõ ràng.
6. Những lưu ý sau khi trám răng
Lưu ý sau khi trám răng đóng vai trò rất quan trọng, để có thể kéo dài tuổi thọ của vết trám. Hãy chú ý những điều dưới đây để sử dụng răng trám được bền lâu hơn:
- Không nên ăn ngay: Hãy cho chất liệu trám răng có thời gian đông cứng hoàn toàn. Tốt nhất bạn nên ăn sau 2 tiếng thực hiện trám răng, để tránh làm hỏng chỗ mới trám.
- Không nên ăn thức ăn cứng, dai hoặc đồ ăn và thức uống quá nóng hay quá lạnh. Bởi chỗ trám còn khá mới và chưa kịp thích nghi với lực nhai của bạn. Vì vậy, bạn nên hạn chế những thức ăn trên nếu như không muốn làm thay đổi độ bám dính, hình dạng cũng như độ chịu lực của vật liệu trám, gây nứt hoặc rò rỉ ở chỗ trám.
- Bạn nên hạn chế các thực phẩm có hại cho men răng như trà, cà phê, socola,…
- Chải răng nhẹ nhàng và đúng cách, không tác động mạnh vào miếng trám.
- Nếu phát hiện một điểm nhô hoặc gập ghềnh khiến bạn khó chịu, hoặc cảm thấy không thoải mái thì hãy thông báo cho bác sĩ để ngăn chặn khả năng nứt hay gây viêm nhiễm.

Những lưu ý khi trám răng
7. Trám răng ở đâu tốt nhất?
Nha khoa I – DENT tự hào là một trong những địa chỉ trám răng uy tín và được nhiều khách hàng tin tưởng tại TP.HCM.
- Tại I-DENT, được đầu tư đầy đủ những trang thiết bị, máy móc hiện đại nhất.
- Đội ngũ Ts – Bs đã có hơn 10 năm kinh nghiệm và thực hiện thành công hơn hàng ngàn ca trám răng cho khách hàng.
- Hệ thống phòng điều trị riêng biệt. Tất cả đều được vô trùng tuyệt đối.
- Tất cả dụng cụ y tế được tiệt trùng bằng máy Autoclave và bảo quản tại tủ tia cực tím.
- Các bác sĩ tuân thủ quy định chỉ sử dụng duy nhất một bộ dụng cụ cho một khách hàng – không được tái sử dụng dưới bất kỳ hình thức nào. Đảm bảo an toàn tuyệt đối cho từng khách hàng.
Nếu bạn đang gặp tình trạng sâu răng nhưng vẫn còn băn khoăn về phương pháp trám răng thẩm mỹ thì hãy đến Nha khoa I-DENT để được đội ngũ tư vấn cũng như các bác sĩ sẽ thăm khám và đưa ra hướng điều trị cụ thể cho tình trạng của bạn nhé.

Nha khoa I-DENT – địa chỉ trám răng tốt nhất
8. Một số câu hỏi thường gặp
8.1 Trám răng có được bảo hiểm y tế không?
Tuỳ mỗi nha khoa sẽ cho áp dụng bảo hiểm đối với dịch vụ trám răng hay không. Và mỗi bảo hiểm sẽ có mức chi trả khác nhau cho dịch vụ trám răng.
Tại Nha Khoa I-DENT, bạn sẽ được áp dụng bảo hiểm y tế không chỉ với dịch vụ trám răng mà còn một số dịch vụ điều trị khác tại nha khoa. Hiện nay, có 7 loại thẻ bảo hiểm được chấp nhận sử dụng tại I-DENT là: Bảo Minh, Bảo An Khang (BAKCO), thẻ Insmart, Groupama, FTCCLAIMS, MSIG Việt Nam, Athena.
Để biết thẻ bảo hiểm của bạn có được áp dụng tại Nha khoa I-DENT hay không. Bạn nên mang thẻ bảo hiểm của mình cũng như các giấy tờ liên quan đến nha khoa, để được bộ phận lễ tân hướng dẫn chi tiết hơn.
8.2 Trám răng có chích thuốc tê không?
Tuỳ vào tình trạng sâu răng của bạn đang ở mức độ chớm sâu hay nghiêm trọng mà bác sĩ sẽ đưa ra hướng điều trị phù hợp. Đối với những trường hợp nhẹ, khi trám vật liệu nhân tạo lên thân răng hoàn toàn không gây đau đớn, khó chịu. Vì vậy, không cần chích thuốc tê ở những ca trám răng này.
Tuy nhiên, trong những trường hợp sâu răng nặng và cần phải điều trị bệnh lý thì bác sĩ sẽ phải gây tê cho bạn, để tránh trường hợp đau nhức, ê buốt trong quá trình thực hiện.
8.3 Trám răng có bị hôi miệng không
Sau khi hàn trám răng thẩm mỹ sẽ không gây ra tình trạng hôi miệng. Tuy nhiên, nếu như bạn gặp phải tình trạng này sau khi trám răng có thể là do những nguyên nhân sau:
Do kỹ thuật trám không tốt làm hở vết hàn, đến khi ăn nhai thức ăn sẽ bám vào trong vị trí trám, lâu ngày gây ra mùi hôi miệng.
Do chất liệu trám: Các axit có trong miệng và thức ăn lâu ngày sẽ làm thay đổi tính chất của vật liệu trám và tạo ra mùi hôi.
8.4 Răng sứ có trám được không
Trong trường hợp nếu răng thật bị mẻ, vỡ hoàn toàn có thể trám răng thẩm mỹ để trả lại hình dạng ban đầu. Ngược lại với răng thật, răng sứ thì không thể trám lại được vì các chất liệu trám sẽ không thể gắn kết bền chắc với bề mặt sứ. Bên cạnh đó, răng sứ được cấu tạo bởi các loại sứ nguyên khối và khi răng sứ đã được thiết kế hình dạng thì không thể trám phần răng sứ bị bể bằng cách dùng một lớp sứ khác để thay thế được.
8.5 Răng trám có tẩy trắng được không
Tẩy trắng răng chỉ áp dụng cho răng thật. Vì khi răng đã trám nếu tẩy trắng sẽ rất dễ bị hoà lẫn thuốc tẩy trắng, gây tác động xấu lên men răng. Bên cạnh đó, tẩy trắng sẽ không có tác dụng sau khi trám răng và khiến vết trám bị đổi màu, làm răng ngả màu trông thấy.
CHUYÊN SÂU IMPLANT DÀNH CHO NGƯỜI VIỆT
- Cơ sở 1:19V Nguyễn Hữu Cảnh, P.19, Q.Bình Thạnh, TP.Hồ Chí Minh
- Cơ sở 2:193A-195 Hùng Vương, P.9, Quận 5, TP.Hồ Chí Minh
- Cơ sở 3:83 Đường số 3 Khu dân cư Cityland, P.10, Q.Gò Vấp, TP.Hồ Chí Minh