
Tụt Lợi Có Tự Khỏi Không? Cách Điều Trị Tụt Lợi Hiệu Quả

Cố vấn chuyên môn:TS.BS. Nguyễn Hiếu Tùng
- Giám đốc Nha khoa I-DENT
- 10 năm tu nghiệp tại Pháp - hơn 10.000 ca Implant thành công
Tụt lợi là bệnh lý mà khá nhiều người mắc phải hiện nay. Bệnh gây ra những ảnh hưởng xấu đến thẩm mỹ, chức năng ăn nhai cũng như về sức khỏe răng miệng. Vậy nguyên nhân gây tụt lợi là gì? Tụt lợi có tự khỏi được không? Cùng đi tìm câu trả lời trong bài viết sau đây!
1. Tụt lợi là gì?
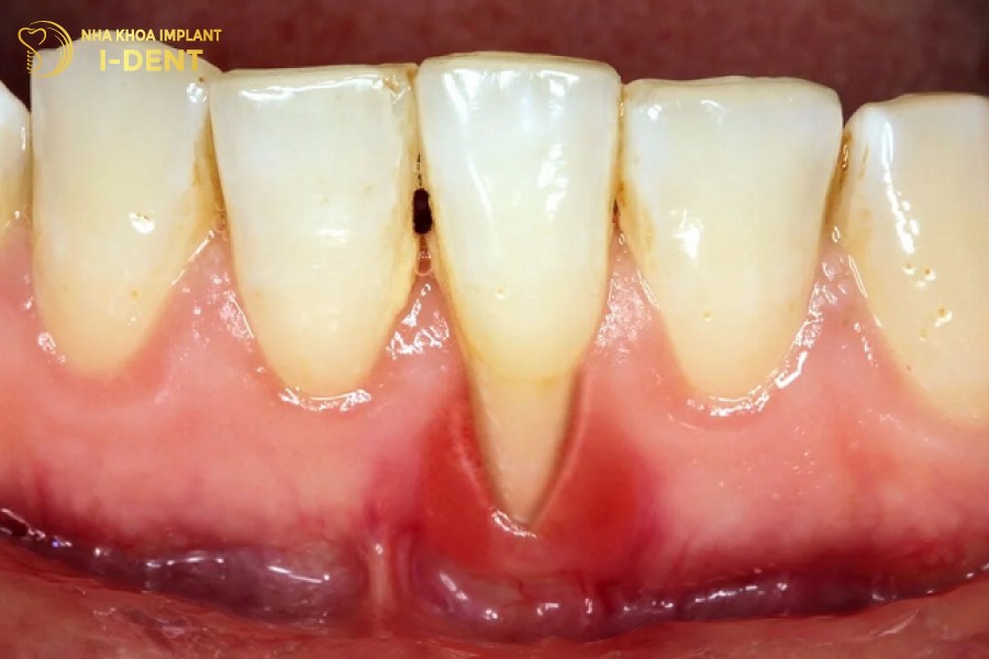
Tụt lợi là hiện tượng mô lợi ở xung quanh răng bị mòn đi và dần hạ thấp xuống, làm cho bề mặt chân răng lộ ra ngoài. Khi bệnh càng tiến triển nặng thì phần lợi càng co rút lại, không còn bám vào chân răng và tăng nguy cơ bị rụng răng.

Răng bị tụt lợi
Dấu hiệu răng bị tụt lợi:
Nếu mắc phải bệnh lý tụt lợi thì răng miệng sẽ xuất hiện một số dấu hiệu bất thường sau:
- Vùng lợi bao quanh răng dần co rút, lộ chân răng, khiến cho thân răng dài hơn bình thường.
- Khi đánh răng, dùng chỉ nha khoa hoặc vô tình tác động vào nướu dễ xảy ra tình trạng bị chảy máu chân răng.
- Nướu sưng viêm, tấy đỏ gây đau nhức, khó chịu.
- Răng trở nên nhạy cảm, ê buốt, đặc biệt khi ăn uống đồ nóng, lạnh hay ngọt, chua.
- Chân răng bị bào mòn, xuất hiện các khoảng hở dễ bị giắt thức ăn.
- Răng suy yếu dần và có tình trạng lung lay.

Khi bị tụt lợi, răng trở nên nhạy cảm khi ăn uống
2. Nguyên nhân gây tụt lợi hở chân răng
Thực tế, có nhiều nguyên nhân gây tụt lợi chân răng, các nguyên nhân này có thể xảy ra cùng lúc với nhau dẫn tới quá trình tụt lợi tiến triển nhanh hơn. Một số những nguyên nhân chính có thể kể đến như:
- Tụt lợi do vệ sinh răng miệng sai cách: Đánh răng quá mạnh, đánh răng theo chiều ngang hoặc dùng bàn chải lông cứng… dễ làm tổn thương đến nướu, gây chảy máu và nướu bị tụt dần.
- Tụt lợi do vôi răng tích tụ quá nhiều: Không vệ sinh răng kỹ lưỡng, không cạo vôi răng định kỳ… khiến cho mảng bám tích tụ ngày càng nhiều, chúng bám cứng chắc ở trên bề mặt răng và cả phần bên dưới nướu. Đây là điều kiện thuận lợi cho vi khuẩn sinh sôi, tấn công vào mô lợi, gây viêm nhiễm và làm nướu răng dần tụt xuống.
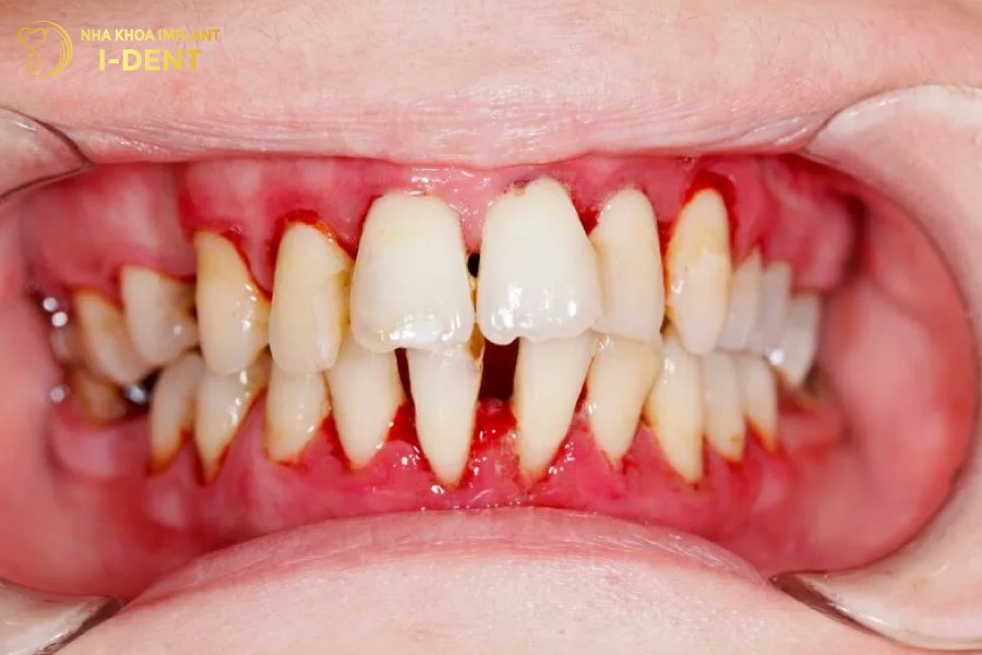
- Tụt lợi do các bệnh lý răng miệng: Khi mắc phải các bệnh lý như viêm lợi, viêm nha chu, viêm quanh chân răng… vi khuẩn sẽ phát triển, tấn công vùng lợi, làm tăng nguy cơ bị tụt lợi. Kèm theo nhiều triệu chứng khó chịu như nướu sưng đỏ, dễ chảy máu, nặng hơn là bị tụ mủ vùng chân răng gây đau nhức dai dẳng.

Viêm lợi là nguyên nhân hàng đầu gây tụt nướu
- Tụt lợi do tuổi tác: Tuổi càng cao thì hệ miễn dịch càng suy giảm, người cao tuổi thì răng miệng rất dễ bị tụt lợi.
- Tụt lợi do các thói quen xấu: Những thói quen xấu như nghiến răng khi ngủ, hút thuốc lá quá nhiều… lâu ngày sẽ làm tăng nguy cơ mắc phải các bệnh lý răng miệng, trong đó có tụt nướu.
3. Tụt lợi có tự khỏi không?
Tụt lợi có tự khỏi không là thắc mắc của nhiều người bệnh. Theo bác sĩ CKI Nguyễn Huỳnh Ngọc Mỹ (nha khoa I-DENT), tụt lợi không thể tự khỏi được do phần lợi không có khả năng tự phục hồi và bồi đắp lại như ban đầu.
Tuy nhiên, người bệnh không cần phải quá lo lắng bởi tụt lợi có thể được chữa trị hiệu quả tại nha khoa. Các bác sĩ có chuyên môn sẽ thăm khám và xác định đúng mức độ tiến triển của bệnh, từ đó đưa ra phương án điều trị phù hợp. Đảm bảo khôi phục lại tính thẩm mỹ và chức năng ăn nhai cho bệnh nhân.
Điều quan trọng là người bệnh cần tìm hiểu thông tin kỹ lưỡng để lựa chọn đúng nha khoa uy tín, chất lượng, giúp việc điều trị bệnh tụt lợi diễn ra an toàn và đảm bảo hiệu quả.

Phần lợi bị tổn thương không thể tự phục hồi được
4. Cách chữa tụt lợi chân răng hiệu quả
Để điều trị tụt lợi chân răng, đầu tiên người bệnh cần đến gặp bác sĩ thăm khám và xác định chính xác tình trạng, mức độ của bệnh lý.
Trường hợp chỉ bị tụt lợi nhẹ, bệnh nhân sẽ được bác sĩ cạo vôi răng và hướng dẫn thay đổi một số thói quen chăm sóc răng miệng. Ví dụ như chải răng nhẹ nhàng theo vòng tròn, đổi loại bàn chải lông mềm, dùng chỉ nha khoa để làm sạch kẽ răng,…
Trong trường hợp nướu tụt nghiêm trọng, bác sĩ sẽ chỉ định phẫu thuật ghép nướu. Cụ thể, bác sĩ lấy một mảnh nhỏ mô nướu từ vị trí khác để che lại những vùng chân răng bị lộ. Việc phẫu thuật này giúp ngăn chặn nguy cơ tiêu xương răng hoặc tình trạng tụt lợi thêm trầm trọng.

Ghép vạt lợi để bù đắp phần lợi bị khuyết thiếu
Hy vọng, qua bài viết vừa rồi đã giúp nhiều người giải đáp được thắc mắc bệnh tụt lợi có tự khỏi không, cũng như các phương pháp điều trị tụt lợi hiệu quả hiện nay. Nếu bạn đang cần tìm kiếm thêm những thông tin khác hãy liên hệ ngay nha khoa I-DENT để được tư vấn hoàn toàn miễn phí nhé!
CHUYÊN SÂU IMPLANT DÀNH CHO NGƯỜI VIỆT
- Cơ sở 1:19V Nguyễn Hữu Cảnh, P.19, Q.Bình Thạnh, TP.Hồ Chí Minh
- Cơ sở 2:193A-195 Hùng Vương, P.9, Quận 5, TP.Hồ Chí Minh
- Cơ sở 3:83 Đường số 3 Khu dân cư Cityland, P.10, Q.Gò Vấp, TP.Hồ Chí Minh