CÂU CHUYỆN KHÁCH HÀNG

CHỊ HOÀNG THỊ XEN (VIỆT KIỀU MỸ)

TÓM TẮT KẾ HOẠCH ĐIỀU TRỊ

  • Tình trạng răng trước đây:Bọc răng sứ bị nhiễm trùng, đen viền nướu
  • Bác sĩ chỉ định:Tháo răng sứ cũ, thay mới răng sứ cả 2 hàm
  • Răng sứ sử dụng:Răng toàn sứ Lava Plus

ĐỘI NGŨ THỰC HIỆN

  • Hoàng Nguyễn Đình Tín Thẩm Mỹ Răng Sứ – Veneer
    Phục hình thẩm mỹ răng sứ - Veneer Bác sĩ CK1 HOÀNG NGUYỄN ĐÌNH TÍN
  • Phạm Thị Ngọc Thanh Bình Thạnh
    Phụ tá chính PHẠM THỊ NGỌC THANH
  • Phạm Thị Phi Hoanh
    Chăm sóc khách hàng PHẠM THỊ PHI HOANH
Chị: HOÀNG THỊ XEN
Việt Kiều Mỹ
  • Tháo răng sứ cũ, thay mới răng sứ cả 2 hàm

Chị Xen từng phải chịu đựng nhiều nỗi khổ sau 2 lần bọc răng sứ thất bại: Ảnh hưởng sức khỏe, thẩm mỹ và còn tạo cho chị tâm lý sợ hãi, không dám làm răng lần nữa. Vậy lý do nào để chị quyết định đặt niềm tin vào nha khoa I-DENT để khắc phục tình trạng hư hỏng răng sứ?

Năm 2016, chị Hoàng Thị Xen quyết định bọc răng sứ ở Mỹ, để cải thiện tình trạng răng ố vàng do nhiễm màu Tetracyclin. Tuy nhiên, kết quả bọc sứ lại không như chị mong đợi. Do bác sĩ thực hiện sai kỹ thuật, khiến cả hàm răng sứ rất khó vệ sinh, gây tích tụ nhiều mảng bám và làm viêm nhiễm, đau nhức.

Trong cùng năm đó, chị Xen một lần nữa bọc sứ lại cho các răng cửa, nhưng do sử dụng phải loại sứ kém chất lượng, dẫn tới đen viền nướu chỉ sau một thời gian ngắn.

Cả 2 lần bọc sứ đều thất bại, không chỉ gây tốn kém chi phí mà còn ảnh hưởng nhiều đến sức khỏe cũng như tâm lý của chị. “Tưởng làm răng sứ xong đẹp mà nó còn xấu hơn nữa. Chưa kể sưng đau hoài, không ăn uống được gì hết. Chị còn ám ảnh đến mức nghe tới làm răng là chị sợ” – chị Xen tâm sự.

Mãi đến khi một người bạn thân của chị về Việt Nam và làm răng thành công tại nha khoa I-DENT, đã tin tưởng giới thiệu I-DENT cho chị Xen.

Lúc đầu, chị chỉ dự định về trồng 2 răng Implant mà chưa muốn bọc răng sứ lại. Tuy nhiên, khi trực tiếp trải nghiệm quy trình thăm khám và điều trị tại I-DENT, chị Xen đánh giá rất tốt về chất lượng dịch vụ. Từ đội ngũ bác sĩ chuyên môn cao, tay nghề giỏi đến cơ sở vật chất khang trang, hiện đại.

Do đó, chị quyết định đặt niềm tin vào nha khoa I-DENT để khắc phục tình trạng răng sứ hư hỏng. “Khi mà làm Implant không thấy đau, không thấy cảm giác gì là chị quyết định làm răng sứ ngay trong ngày hôm đó”.

Bác sĩ Hoàng Nguyễn Đình Tín là người trực tiếp điều trị cho chị Xen. Bằng chuyên môn, kinh nghiệm và sự tận tâm, tận tình, bác sĩ đã mang đến cho chị kết quả bọc răng sứ như ý.

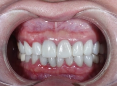
Màu sắc răng sứ trắng sáng, tự nhiên và ăn uống chắc chắn, thoải mái là những cảm nhận của chị Xen sau khi hoàn tất quá trình bọc sứ.

Niềm vui khi có nụ cười mới rạng ngời của chị Hoàng Thị Xen cũng chính là niềm hạnh phúc của đội ngũ I-DENT. Khi có thể mang đến cho chị những trải nghiệm hài lòng nhất, đồng thời đây cũng là động lực để nha khoa cố gắng nâng cao chất lượng dịch vụ hơn nữa.

BAN BIÊN TẬP I-DENT
NHA KHOA I-DENT HỆ THỐNG NHA KHOA TIÊU CHUẨN QUỐC TẾ
CHUYÊN SÂU IMPLANT DÀNH CHO NGƯỜI VIỆT
  • Cơ sở 1:19V Nguyễn Hữu Cảnh, P.19, Q.Bình Thạnh, TP.Hồ Chí Minh
  • Cơ sở 2:193A-195 Hùng Vương, P.9, Quận 5, TP.Hồ Chí Minh
  • Cơ sở 3:83 Đường số 3 Khu dân cư Cityland, P.10, Q.Gò Vấp, TP.Hồ Chí Minh

    NHẬN TƯ VẤN MIỄN PHÍ TỪ CHUYÊN GIA ĐẶT LỊCH HẸN THĂM KHÁM NGAY
    Vấn đề quan tâm