CÂU CHUYỆN KHÁCH HÀNG

CHỊ NGUYỄN NGỌC THÚY OANH (VIỆT KIỀU MỸ)

TÓM TẮT KẾ HOẠCH ĐIỀU TRỊ

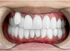
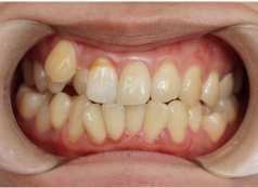
  • Tình trạng răng trước đây:Răng khấp khểnh, lệch khớp cắn và màu răng ố vàng
  • Bác sĩ chỉ định:Bọc sứ toàn hàm 20 răng
  • Răng sứ sử dụng:Răng toàn sứ Nacera Pearl

ĐỘI NGŨ THỰC HIỆN

  • Mai Hồng Thái Thẩm Mỹ Răng Sứ – Veneer
    Phục hình thẩm mỹ răng sứ - Veneer Bác sĩ CK1 MAI HỒNG THÁI
  • Đinh Thị Yến Nhi Q 5
    Phụ tá chính ĐINH THỊ YẾN NHI
  • Trần Thị Xuân Hương
    Chăm sóc khách hàng TRẦN THỊ XUÂN HƯƠNG
Chị: NGUYỄN NGỌC THÚY OANH
Việt Kiều Mỹ
  • Bọc sứ toàn hàm 20 răng loại răng toàn sứ Nacera Pearl

Với niềm tin rằng các bác sĩ ở trong nước sẽ có gu thẩm mỹ phù hợp khuôn mặt của người Việt, chị Thúy Oanh (Việt kiều Mỹ) đã lựa chọn về nước để bọc răng sứ. Giữa rất nhiều nha khoa, chị quyết định chọn I-Dent bởi xem được nhiều hình ảnh thực tế và đánh giá tốt từ các khách hàng ở nước ngoài đến làm răng tại nha khoa.

Làm đẹp và hoàn thiện bản thân là nhu cầu của tất cả mọi người, đặc biệt là chị em phụ nữ. Với chị Thúy Oanh cũng vậy, từ lâu chị đã mong muốn được cải thiện thẩm mỹ nụ cười. Bởi hàm răng của chị mắc nhiều khuyết điểm, không chỉ mọc khấp khểnh, chen chúc mà màu răng còn ố vàng. Khiến chị kém phần tự tin mỗi khi giao tiếp.

Mong muốn sở hữu hàm răng trắng sáng, nụ cười đẹp và khuôn mặt rạng rỡ hơn, chị Oanh lựa chọn về Việt Nam bọc răng sứ thẩm mỹ. Đầu tiên là kết hợp thăm quê hương, gia đình và thứ hai là tin tưởng vào tay nghề cũng như mắt thẩm mỹ của bác sĩ trong nước.

Khi được hỏi về lý do tại sao lại chọn nha khoa I-Dent giữa rất nhiều địa chỉ phòng khám, chị Oanh chia sẻ: “Tiêu chí chọn nha khoa của chị là phải có nhiều khách hàng Việt kiều đến làm và nhận được phản hồi tốt về chất lượng, kết quả. Nên khi biết đến I-Dent đã điều trị thành công cho nhiều khách quốc tế, chị đã đặt niềm tin nơi đây”.

Nhận được sự tin tưởng của chị Thúy Oanh, cả đội ngũ I-Dent đều nỗ lực hết mình để mang đến kết quả tốt nhất cho chị.

Chị Oanh được bác sĩ CKI Mai Hồng Thái, một trong những bác sĩ có tay nghề cao tại I-Dent chăm sóc và trực tiếp bọc răng sứ.

Chị phải mài nhiều răng nhưng bác sĩ Thái làm hoàn toàn không có đau, bác còn rất tận tâm và nhiệt tình nữa. Điều chị thích nhất là bác sĩ vẫn giữ lại chiếc răng khểnh, không làm mất đi mà còn làm đẹp thêm

Chính bản thân chị Oanh cũng cảm nhận được nhiều thay đổi trên khuôn mặt kề từ khi làm răng. Chị thấy mình trẻ trung hơn và nụ cười duyên dáng hơn.

Niềm vui của chị Thúy Oanh cũng chính là niềm hạnh phúc của đội ngũ I-Dent. Khi có thể mang đến cho chị những trải nghiệm hài lòng nhất, đồng thời đây cũng là động lực để nha khoa cố gắng nâng cao chất lượng dịch vụ hơn nữa.

BAN BIÊN TẬP I-DENT
NHA KHOA I-DENT HỆ THỐNG NHA KHOA TIÊU CHUẨN QUỐC TẾ
CHUYÊN SÂU IMPLANT DÀNH CHO NGƯỜI VIỆT
  • Cơ sở 1:19V Nguyễn Hữu Cảnh, P.19, Q.Bình Thạnh, TP.Hồ Chí Minh
  • Cơ sở 2:193A-195 Hùng Vương, P.9, Quận 5, TP.Hồ Chí Minh
  • Cơ sở 3:83 Đường số 3 Khu dân cư Cityland, P.10, Q.Gò Vấp, TP.Hồ Chí Minh

    NHẬN TƯ VẤN MIỄN PHÍ TỪ CHUYÊN GIA ĐẶT LỊCH HẸN THĂM KHÁM NGAY
    Vấn đề quan tâm