CÂU CHUYỆN KHÁCH HÀNG

CHÚ ĐÀM TRÍ PHÚC (VIỆT KIỀU MỸ)

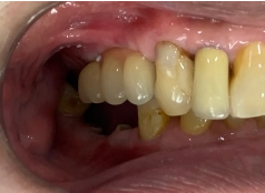
TÓM TẮT KẾ HOẠCH ĐIỀU TRỊ

  • Tình trạng răng trước đây:Mất nhiều răng ở 2 hàm.
  • Bác sĩ chỉ định:Cấy ghép 8 trụ Implant.
  • Implant sử dụng:Implant Mis C1 Đức.
  • Răng sứ sử dụng:Răng sứ Titan Mỹ.

ĐỘI NGŨ THỰC HIỆN

  • Nguyễn Hiếu Tùng (Cấy Ghép Implant)
    Cấy ghép implant Tiến sĩ - Bác sĩ NGUYỄN HIẾU TÙNG
  • Ngô Thị Phương Thảo Phục Hình Sứ Trên Implant
    Phục hình sứ trên implant Bác sĩ CK1 NGÔ THỊ PHƯƠNG THẢO
  • Phạm Thị Ngọc Thanh Bình Thạnh
    Phụ tá chính PHẠM THỊ NGỌC THANH
  • Trần Thị Xuân Hương
    Chăm sóc khách hàng TRẦN THỊ XUÂN HƯƠNG
Chú: ĐÀM TRÍ PHÚC
Việt Kiều Mỹ
  • Cấy ghép 8 trụ Implant
  • Phục hình răng sứ trên Implant

“Từ ngày mất răng chú đâu có dám cười, tại mỗi lần cười mắc cỡ. Ăn uống cũng không thấy ngon, chỉ nhai nhai, lẹ lẹ rồi nuốt thôi” – Là những nỗi khổ của chú Trí Phúc suốt 10 năm mất răng. Cho đến khi quyết tâm trồng răng Implant, chú mới cảm nhận được những thay đổi tích cực về sức khỏe lần thẩm mỹ.

Khi biết chú Trí Phúc có ý định trồng răng, nhiều người cũng bảo “ồ 70 làm chi vậy”, nhưng với chú Phúc sức khỏe hàm răng là rất quan trọng. “Ta cảm nhận cái miếng mình ăn nhai, mình cảm thấy nó ngon lành, ăn được nhiều thì sức khỏe nó cũng tốt”.

Do đó, chú tìm đến giải pháp trồng răng Implant với mong muốn khôi phục lại hàm răng chắc khỏe. Tuy nhiên, do độ tuổi đã lớn, nên chú Phúc có phần lo lắng nếu làm Implant gặp vấn đề gì thì rất khó để khắc phục. Vì vậy, chú đã tìm hiểu kỹ lưỡng các nha khoa ở Việt Nam, nhằm chọn đúng địa chỉ uy tín, chất lượng.

“Trước khi làm, chú cũng đi tìm hiểu nhiều lắm, tư vấn nhiều chỗ. Mình phải coi cách hành xử của người tư vấn cho mình, rồi xem nha khoa có đầy đủ tiện nghi không”.

Tình cờ được bạn bè giới thiệu đến Tiến sĩ, bác sĩ Nguyễn Hiếu Tùng. Sau khi tìm hiểu thông tin, chú rất ấn tượng với chuyên môn cũng như kinh nghiệm của người bác sĩ này. Đây là lý do để chú chọn đến I-Dent.

“Chú biết rằng trồng răng Implant là kỹ thuật phức tạp, để thực hiện cho người lớn tuổi lại càng khó hơn. Vì vậy, chú phải tìm cho mình một bác sĩ giỏi, tay nghề cao mới thật sự an tâm để trồng răng, và bác sĩ Nguyễn Hiếu Tùng là người mà chú đặt niềm tin”.

Chú cũng tìm hiểu thêm thông tin từ các bệnh nhân từng trồng răng tại nha khoa và biết được có nhiều Việt kiều đã cấy Implant thành công. Thêm một niềm tin rằng nơi đây có nhiều kinh nghiệm để điều trị tốt cho mình.

Bác sĩ Tùng trực tiếp cấy ghép Implant cho chú Sơn, toàn bộ quá trình diễn ra nhẹ nhàng, thoải mái. “Chú làm 8 cái 1 lúc luôn, mà bác sĩ Tùng làm nhẹ nhàng, không có đau đớn, thẳng thắn là chú không thấy ê”.

Khi quay trở lại Mỹ và đi thăm khám tại nha khoa, chú Phúc được các bác sĩ xác nhận là “I-Dent làm Implant rất là tốt”.

Khép lại hành trình dài từ Mỹ về Việt Nam, chú Trí Phúc đã có kết quả phục hình răng đúng như mong đợi. Chú cũng không quên gửi lời cảm ơn đến toàn bộ đội ngũ I-Dent!

BAN BIÊN TẬP I-DENT
NHA KHOA I-DENT HỆ THỐNG NHA KHOA TIÊU CHUẨN QUỐC TẾ
CHUYÊN SÂU IMPLANT DÀNH CHO NGƯỜI VIỆT
  • Cơ sở 1:19V Nguyễn Hữu Cảnh, P.19, Q.Bình Thạnh, TP.Hồ Chí Minh
  • Cơ sở 2:193A-195 Hùng Vương, P.9, Quận 5, TP.Hồ Chí Minh
  • Cơ sở 3:83 Đường số 3 Khu dân cư Cityland, P.10, Q.Gò Vấp, TP.Hồ Chí Minh

    NHẬN TƯ VẤN MIỄN PHÍ TỪ CHUYÊN GIA ĐẶT LỊCH HẸN THĂM KHÁM NGAY
    Vấn đề quan tâm