CÂU CHUYỆN KHÁCH HÀNG

CHÚ VÕ NGỌC THUẬN (TP HCM)

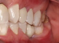
TÓM TẮT KẾ HOẠCH ĐIỀU TRỊ

  • Tình trạng răng trước đây:Mất 2 răng lâu năm và bị tiêu xương
  • Bác sĩ chỉ định:Cấy ghép 2 trụ Implant
  • Implant sử dụng:Implant Dentium Hàn Quốc
  • Răng sứ sử dụng:Răng toàn sứ Zirconia Đức

ĐỘI NGŨ THỰC HIỆN

  • Nguyễn Hiếu Tùng (Cấy Ghép Implant)
    Cấy ghép implant Tiến sĩ - Bác sĩ NGUYỄN HIẾU TÙNG
  • Ngô Thị Phương Thảo Phục Hình Sứ Trên Implant
    Phục hình sứ trên implant Bác sĩ CK1 NGÔ THỊ PHƯƠNG THẢO
  • Đinh Thị Yến Nhi Q 5
    Phụ tá chính ĐINH THỊ YẾN NHI
  • Trần Thị Xuân Hương
    Chăm sóc khách hàng TRẦN THỊ XUÂN HƯƠNG
Chú: VÕ NGỌC THUẬN
TP.HCM
  • Cấy ghép 2 trụ Implant
  • Phục hình răng sứ trên implant

“Sản phẩm chú nhận được từ I-Dent, thì dùng đánh giá của chú để diễn tả thì phải xếp loại A” – đây là lời khen tặng của chú Ngọc Thuận dành cho nha khoa I-Dent sau khi được khôi phục lại những chiếc răng chắc khỏe.

Giống như nhiều người mất răng khác, chú Ngọc Thuận luôn trăn trở làm sao có thể chọn được một phương án khôi phục răng mất tối ưu và nha khoa uy tín để thực hiện.

Bởi chú luôn mang trong mình nỗi sợ vô hình đối với các nha khoa, do nỗi ám ảnh trước đây khi phải nhổ răng vô cùng đau nhức. Chú cũng từng thử đến nhiều nha khoa để được tư vấn trồng răng, nhưng không nơi nào mang đến cảm giác an tâm thật sự.

“Chú gọi điện thì tư vấn một đằng, tới nơi lại nói một nẻo, không biết đâu mà lần. Chưa kể chi phí cũng không phù hợp với chú nữa”.

Cho đến khi biết đến I-Dent qua người bạn thân giới thiệu và trực tiếp đến nha khoa thăm khám, chú mới thấy rõ được sự khác biệt so với những phòng khám trước là ở đội ngũ bác sĩ, nhân viên vô cùng nhiệt tình, tận tâm.

“Bác sĩ Thái kiểm tra tổng quát và chụp phim cho chú kỹ lắm, sau đó là tư vấn cho chú chọn loại trụ Implant, răng sứ nào cho phù hợp. Chú có thắc mắc gì cũng giải thích cặn kẽ, mà biết chú lo lắng sợ đau cũng động viên nhiều lắm”.

Một điều nữa ở nha khoa I-Dent khiến chú Thuận vô cùng hài lòng, chính là ở khâu vô trùng kỹ lưỡng. Chú được thăm khám và điều trị ở những căn phòng nằm riêng biệt, không phải tiếp xúc với những bệnh nhân khác. Đồng thời máy móc, trang thiết bị, dụng cụ đều tiên tiến và sạch sẽ. Mang đến cho chú cảm giác thoải mái và an tâm.

Buổi phẫu thuật của chú Thuận chỉ diễn ra khoảng 1 tiếng và trong suốt quá trình thực hiện, chú hoàn toàn không thấy đau nhức hay khó chịu quá nhiều. Ngay sau đó chú cũng được gắn răng tạm trong thời gian chờ phục hình sứ, “đây là điều mà chú thích nhất, vì có luôn răng để ăn uống, dù chỉ là răng tạm nhưng dùng vẫn rất tốt”.

Kết thúc quá trình điều trị và sử dụng răng Implant, chú Ngọc Thuận rất hài lòng với lựa chọn của mình. Từ nay chú đã có thể thỏa thích ăn nhiều món ngon và cùng tham gia những buổi tiệc vui mà không còn e ngại nữa.

 

BAN BIÊN TẬP I-DENT
NHA KHOA I-DENT HỆ THỐNG NHA KHOA TIÊU CHUẨN QUỐC TẾ
CHUYÊN SÂU IMPLANT DÀNH CHO NGƯỜI VIỆT
  • Cơ sở 1:19V Nguyễn Hữu Cảnh, P.19, Q.Bình Thạnh, TP.Hồ Chí Minh
  • Cơ sở 2:193A-195 Hùng Vương, P.9, Quận 5, TP.Hồ Chí Minh
  • Cơ sở 3:83 Đường số 3 Khu dân cư Cityland, P.10, Q.Gò Vấp, TP.Hồ Chí Minh

    NHẬN TƯ VẤN MIỄN PHÍ TỪ CHUYÊN GIA ĐẶT LỊCH HẸN THĂM KHÁM NGAY
    Vấn đề quan tâm