CÂU CHUYỆN KHÁCH HÀNG

CÔ TRẦN THỊ DANH (VIỆT KIỀU MỸ)

TÓM TẮT KẾ HOẠCH ĐIỀU TRỊ

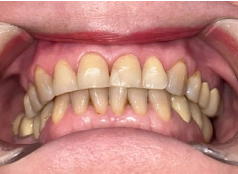
  • Tình trạng răng trước đây:Mất 4 răng hàm và răng nhiễm màu kháng sinh ố vàng.
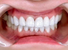
  • Bác sĩ chỉ định:Cấy ghép 4 trụ Implant và Dán sứ Veneer 2 hàm
  • Trụ Implant:Trụ Implant Straumann Thụy Sỹ
  • Răng sứ sử dụng:Mặt sứ Veneer Lisi Press

ĐỘI NGŨ THỰC HIỆN

  • Nguyễn Hiếu Tùng (Cấy Ghép Implant)
    Cấy ghép implant Tiến sĩ - Bác sĩ NGUYỄN HIẾU TÙNG
  • Đặng Duy Tùng Thẩm Mỹ Răng Sứ – Veneer
    Phục hình thẩm mỹ răng sứ - Veneer Bác sĩ CK1 ĐẶNG DUY TÙNG
  • Phạm Thị Ngọc Thanh Bình Thạnh
    Phụ tá chính PHẠM THỊ NGỌC THANH
  • Nguyễn Thị Thu Hòa
    Chăm sóc khách hàng NGUYỄN THỊ THU HÒA
Cô: TRẦN THỊ DANH
Việt Kiều Mỹ
  • Cấy ghép 4 trụ Implant
  • Dán sứ Veneer 2 hàm

Giống như bao nhiêu người Việt sống lâu năm ở nước ngoài, cô Danh luôn mang trong mình nỗi nhớ dành cho quê hương. Với cô, quê hương Việt Nam là nơi rất thân thuộc, với biết bao kỷ niệm cùng gia đình, cũng là nơi có những món ăn tươi ngon, hương vị không thể nào quên.

Do đó, dù khoảng cách địa lý xa xôi nhưng cô Danh vẫn lựa chọn từ Mỹ trở về nước để làm răng. Bởi với cô ở đâu tốt cũng không bằng quê hương. Nơi có thể thoải mái giao tiếp mà không gặp rào cản ngôn ngữ. Đồng thời, các bác sĩ trong nước cũng thấu hiểu tâm lý người Việt hơn và lựa chọn được phương án thẩm mỹ phù hợp với khuôn mặt Châu Á.

Khi nói về cơ duyên biết đến nha khoa I-Dent, cô Danh chia sẻ: “Có người quen làm qua rồi giới thiệu cho cô. Cô cũng có đọc thêm comment thì nhắc tới bác sĩ Tùng trồng trụ là êm nhất, nên khi về nước cô mới đến I-Dent thăm khám. Ấn tượng đầu tiên từ cơ sở vật chất đến các bạn nhân viên, bác sĩ đều rất là tốt. Cô quyết định đặt niềm tin vào I-Dent

Với tình trạng răng của cô Danh, Tiến sĩ – Bác sĩ Nguyễn Hiếu Tùng và bác sĩ CKI Đặng Duy Tùng đã cùng nhau hội chẩn để đưa ra phác đồ điều trị tối ưu nhất cho cô, đảm bảo khôi phục tốt chức năng ăn nhai lẫn thẩm mỹ nụ cười.

Cô Danh được chỉ định cấy ghép 4 trụ Implant cho các vị trí mất răng. Sử dụng trụ Implant Straumann cao cấp, không chỉ có độ bền chắc vượt trội mà còn tích hợp xương nhanh chóng, giúp rút ngắn thời gian điều trị.

Sau phẫu thuật đặt trụ Implant, cô được bác sĩ Duy Tùng thực hiện dán sứ Veneer 2 hàm. Phương pháp này chỉ cần mài nhẹ 1 lớp mỏng trên răng, bảo tồn tối đa cấu trúc răng thật và vẫn che lấp hoàn hảo màu răng cũ bị ố vàng.

Với sự phối hợp của 2 bác sĩ chuyên môn cao và giàu kinh nghiệm, toàn bộ quá trình làm răng của cô Danh diễn ra nhẹ nhàng, nhanh chóng và hoàn toàn phù hợp với lịch trình khi cô về nước.

Về làm răng nhưng cô vẫn có thời gian đi ăn, đi chơi, cũng nhờ các bác sĩ lên kế hoạch phù hợp. Dù rút ngắn thời gian nhưng kết quả vẫn thành công như mong đợi. Cảm ơn đội ngũ I-Dent rất nhiều”.

Nha khoa I-Dent cũng rất hạnh phúc khi được cô Danh tin chọn làm người bạn đồng hành chăm sóc cho sức khỏe răng miệng của cô.

BAN BIÊN TẬP I-DENT
NHA KHOA I-DENT HỆ THỐNG NHA KHOA TIÊU CHUẨN QUỐC TẾ
CHUYÊN SÂU IMPLANT DÀNH CHO NGƯỜI VIỆT
  • Cơ sở 1:19V Nguyễn Hữu Cảnh, P.19, Q.Bình Thạnh, TP.Hồ Chí Minh
  • Cơ sở 2:193A-195 Hùng Vương, P.9, Quận 5, TP.Hồ Chí Minh
  • Cơ sở 3:83 Đường số 3 Khu dân cư Cityland, P.10, Q.Gò Vấp, TP.Hồ Chí Minh

    NHẬN TƯ VẤN MIỄN PHÍ TỪ CHUYÊN GIA ĐẶT LỊCH HẸN THĂM KHÁM NGAY
    Vấn đề quan tâm