
Bọc Răng Sứ Có Thay Được Không Khi Bị Hư?

Cố vấn chuyên môn:TS.BS. Nguyễn Hiếu Tùng
- Giám đốc Nha khoa I-DENT
- 10 năm tu nghiệp tại Pháp - hơn 10.000 ca Implant thành công
Do một số nguyên nhân khiến cho răng sứ sau khi thực hiện có thể gặp những vấn đề như bị nứt mẻ, vỡ, đổi màu hoặc viêm nhiễm, sưng đau, ê buốt… Lúc này, nhiều người thắc mắc liệu bọc răng sứ có thay được không? Hãy cùng theo dõi bài viết sau đây để tìm ra câu trả lời rõ ràng nhất nhé!
1. Những nguyên nhân bọc răng sứ bị hư là gì?
Bọc răng sứ là giải pháp được nhiều người thực hiện để khôi phục lại tính thẩm mỹ và đảm bảo chức năng ăn nhai của hàm răng. Bằng cách sử dụng mão sứ được chế tác riêng để chụp lên cùi răng thật, giúp che lấp đi các khuyết điểm và bảo vệ tốt cho răng thật bên trong.
Răng sứ có độ bền khá cao, với tuổi thọ sử dụng trung bình từ 10 – 15 năm. Tuy nhiên, thực tế vẫn có một số trường hợp răng sứ bị hư hỏng sớm và không thể sử dụng được do nhiều nguyên nhân khác nhau. Cụ thể:
1.1 Kỹ thuật thực hiện của nha khoa
Nếu không may thực hiện bọc sứ tại những nha khoa không uy tín, bác sĩ tay nghề kém và thiếu kinh nghiệm, mài răng không chuẩn xác, sẽ dễ dẫn đến các biến chứng nguy hiểm như làm tác động nhiều đến cấu trúc răng thật, khiến răng trở nên nhạy cảm hơn, đau nhức, viêm nhiễm,…
Hoặc lúc gắn răng sứ cho bệnh nhân xảy ra sai sót, khiến mão sứ không ôm khít răng thật, tạo kẽ hở, không chỉ ảnh hưởng thẩm mỹ mà lâu dài còn dễ tích tụ thức ăn, vi khuẩn và dẫn tới nhiều bệnh lý răng miệng.
Ngoài ra, nếu nha khoa không có hệ thống máy móc, thiết bị hiện đại thì quá trình chế tác mão sứ có thể không chuẩn xác. Dẫn tới không tương thích với cùi răng thật và dễ gây cộm cấn, sai khớp cắn hoặc giảm tuổi thọ của răng sứ.

Răng sứ kém thẩm mỹ do thực hiện tại nha khoa không uy tín
1.2 Chất lượng răng sứ
Độ bền của răng sứ chỉ được đảm bảo nếu sử dụng đúng loại vật liệu chất lượng, chính hãng. Ngược lại, nếu dùng những loại sứ không rõ nguồn gốc, xuất xứ và chưa qua kiểm định chất lượng thì răng sứ rất dễ bị hư hỏng.
Trường hợp dễ gặp nhất là mão sứ bị oxy hóa nhanh chóng, gây đen viền nướu, đổi màu và làm mất thẩm mỹ nụ cười.

Răng sứ đổi màu, gây đen viền nướu do sử dụng phải vật liệu kém chất lượng
Ngoài ra, do pha lẫn nhiều tạp chất nên những loại sứ kém chất lượng không thể chịu được lực ăn nhai lớn, dẫn tới nứt vỡ hoặc lỏng lẻo, rơi rớt ra khỏi răng thật. Chưa kể các vấn đề kích ứng, sưng đau, viêm nhiễm… gây ảnh hưởng sức khỏe răng miệng.
1.3 Cách chăm sóc, vệ sinh răng miệng hằng ngày
Một nguyên nhân quan trọng, tác động đến độ bền của răng sứ chính là cách chăm sóc, vệ sinh răng hằng ngày. Răng sứ rất dễ bị hư hỏng nếu bị tác động bởi lực nhai quá mạnh trong thời gian dài hoặc thường xuyên ăn thực phẩm quá cứng dai, quá nóng lạnh.
Ngoài ra, không vệ sinh răng miệng kỹ lưỡng, lực chải răng mạnh, chải răng theo chiều ngang… cũng dễ gây tổn hại đến nướu và răng sứ.

Răng sứ nứt vỡ sau một thời gian ăn nhai quá mạnh
2. Bọc răng sứ có thay được không?
Khi phát hiện răng sứ có dấu hiệu hư hỏng hoặc đã bị nứt, vỡ, rơi ra khỏi răng thật… bệnh nhân nên đến nha khoa càng sớm càng tốt. Tại đây, bác sĩ sẽ thăm khám và kiểm tra chất lượng của răng sứ lẫn cùi răng thật, sau đó đưa ra phương án điều trị phù hợp.
Thông thường, khi răng sứ đã bị hư hại, bác sĩ đều khuyến khích thay mão sứ mới. Đây là giải pháp tốt nhất để đảm bảo tính thẩm mỹ và chức năng ăn nhai về lâu dài. Ngoài ra, nếu bệnh nhân đang mắc bệnh lý răng miệng thì bác sĩ sẽ tiến hành điều trị rồi mới bọc lại sứ mới.
Thay răng sứ mới (bọc răng sứ lần 2) cũng như lần đầu bọc sứ, nếu bác sĩ thực hiện đúng kỹ thuật, sử dụng chất liệu sứ tốt thì hoàn toàn không gây ảnh hưởng đến sức khỏe răng miệng cũng như tuổi thọ của răng.
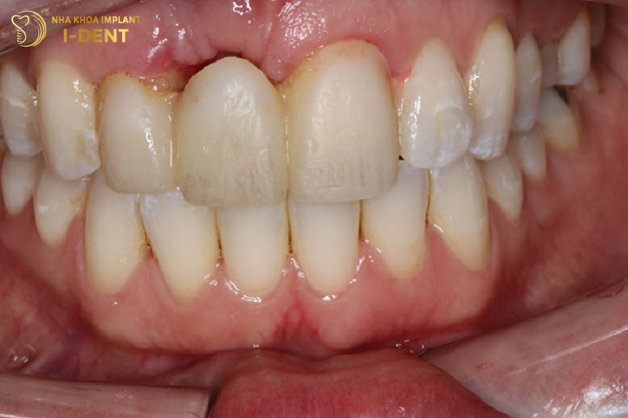
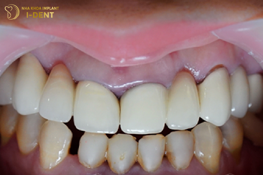
Khách hàng tại I-DENT đã từng bọc răng sứ và thay được răng sứ mới
3. Những trường hợp cần thay răng sứ?
Theo bác sĩ Mai Hồng Thái, những trường hợp thường phải thay răng sứ mới như sau:
- Răng sứ bị nứt, vỡ, mẻ: Khi chúng ta ăn nhai những thức ăn cứng hoặc bị té ngã, va đập mạnh đều có thể gây ra hiện tượng vỡ mẻ răng sứ. Ban đầu có thể là những vết nứt nhỏ, nhưng nếu không xử lý sớm sẽ khiến vết nứt lớn hơn, ảnh hưởng đến răng thật bên trong. Vì vậy, cần sớm thay lại bằng mão sứ mới.

Nên bọc lại răng sứ mới khi mão sứ cũ đã bị nứt vỡ
- Răng sứ bị lỏng: Đôi khi keo dán sứ bị phân hủy dẫn đến răng sứ bị lỏng, tạo điều kiện cho vi khuẩn xâm nhập và gây sâu răng cho cùi răng thật bên dưới. Khi đó, cần tháo răng sứ ra, chữa sâu răng và thay răng sứ mới.
- Răng sứ bị sút ra: Răng sứ có thể rơi ra do không khớp với răng thật hoặc do thiếu keo dán. Khi răng sứ bị sút ra dù đã dán đi dán lại nhiều lần thì bệnh nhân nên thay luôn răng sứ mới.
- Dị ứng với răng sứ kim loại: Nếu bệnh nhân phát hiện ra răng miệng bị kích ứng, dị ứng do thành phần kim loại có trong răng sứ thì nên thay tháo và thay mới bằng dòng răng toàn sứ.
- Răng sứ bị đen viền nướu hay nhiễm màu: Răng sứ bị hỏng khi màu sắc của răng biến đổi hoặc có hiện tượng xỉn màu gần giống như răng thật và không còn giữ được vẻ đẹp thẩm mỹ như ban đầu. Do đó, để đảm bảo tính thẩm mỹ cho hàm răng thì bệnh nhân nên thay mới răng sứ.
4. Những lưu ý khi thay răng sứ mới
Khi quyết định thay răng sứ mới, bệnh nhân cần lưu ý 1 số vấn đề quan trọng sau đây:
- Lựa chọn đúng nha khoa uy tín
Một nha khoa uy tín, chất lượng, với đội ngũ bác sĩ chuyên môn cao, giàu kinh nghiệm cùng cơ sở vật chất khang trang, thiết bị hiện đại, sẽ giúp thực hiện bọc lại răng sứ an toàn và nhanh chóng.

Để tháo và bọc răng sứ mới, bác sĩ thực hiện cần có tay nghề cao
- Lựa chọn loại răng sứ chính hãng và phù hợp tình trạng răng
Đây là lưu ý quan trọng để đảm bảo tuổi thọ răng sứ khi sử dụng. Bệnh nhân nên chọn những loại sứ có nguồn gốc, xuất xứ rõ ràng, từ những thương hiệu nổi tiếng như Zirconia, Cercon HT, Nacera, Emax… Đồng thời, nếu trước kia sử dụng răng sứ kim loại bị kích ứng hoặc đen viền nướu, thì khi thay mới bệnh nhân nên chọn loại răng toàn sứ để đảm bảo an toàn và tăng tính thẩm mỹ.
- Chăm sóc răng sứ đúng cách
Đánh răng 2 lần/ngày vào buổi sáng và tối trước khi đi ngủ. nên kết hợp dùng thêm chỉ nha khoa, máy tăm nước và nước súc miệng để làm sạch răng miệng toàn diện. Bên cạnh đó, nên uống đủ 2 lít nước/ngày để tránh bị khô miệng. Sử dụng các loại thức ăn phù hợp, tránh đồ quá cứng hoặc quá nóng khiến răng bị nhạy cảm hoặc dễ tổn thương.
- Khám răng và cạo vôi răng định kỳ từ 1-2 lần/năm, để giữ gìn sức khỏe răng miệng cũng như kiểm tra tình trạng răng sứ.
Vậy là thắc mắc bọc răng sứ có thay được không đã được giải đáp chi tiết trong bài viết trên đây. Hy vọng bạn sẽ có thêm được nhiều thông tin hữu ích, để giúp cho việc bọc sứ lần 2 được diễn ra thuận lợi và thành công theo đúng mong muốn.
CHUYÊN SÂU IMPLANT DÀNH CHO NGƯỜI VIỆT
- Cơ sở 1:19V Nguyễn Hữu Cảnh, P.19, Q.Bình Thạnh, TP.Hồ Chí Minh
- Cơ sở 2:193A-195 Hùng Vương, P.9, Quận 5, TP.Hồ Chí Minh
- Cơ sở 3:83 Đường số 3 Khu dân cư Cityland, P.10, Q.Gò Vấp, TP.Hồ Chí Minh