
Cảm Giác Và Triệu Chứng Thường Gặp Sau Bọc Răng Sứ

Cố vấn chuyên môn:TS.BS. Nguyễn Hiếu Tùng
- Giám đốc Nha khoa I-DENT
- 10 năm tu nghiệp tại Pháp - hơn 10.000 ca Implant thành công
Sau khi bọc răng sứ thường sẽ có cảm giác lạ lẫm, ê buốt và đau nhẹ, nướu đổi màu và ngứa, biểu hiện này là hoàn toàn bình thường và sẽ hết sau vài ngày. Tuy nhiên, vài trường hợp bọc răng sứ xuất hiện triệu chứng bất thường như mão sứ cộm, cấn, bị hôi miệng, răng sứ bị nứt, thậm chí viêm nướu kéo dài hoặc chết tủy. Bệnh nhân cần đến nha khoa để được bác sĩ kiểm tra và điều trị kịp thời.
1. Cảm giác sau khi bọc răng sứ thường gặp
Những cảm giác sau khi bọc răng sứ mà hầu hết bệnh nhân đều gặp phải: cảm giác lạ, viền nướu thay đổi màu, cảm giác đau, ê buốt, nướu ngứa nhẹ. Biểu hiện cụ thể như sau:
1.1. Cảm giác hơi lạ
Sau khi mới bọc răng sứ thẩm mỹ, cảm giác thường gặp là cảm giác hơi lạ trong khoang miệng do nướu tiếp xúc với răng giả trong thời gian đầu nên chưa kịp thích nghi. Điều này là do kích thước và hình dáng răng sứ mới sẽ khác với răng cũ. Cảm giác lạ này là biểu hiện hoàn toàn bình thường với người bọc răng sứ trong vài giờ đầu, sau đó chưa đến một ngày thì cảm giác này sẽ biến mất, giúp hoạt động trong khoang miệng trở lại bình thường.

Giai đoạn đầu bọc sứ sẽ có cảm giác hơi lạ
1.2. Bị ê buốt và đau nhức nhẹ
Khi mô răng thật tiếp xúc với răng giả trong thời gian đầu sẽ khiến người bệnh bị đau và ê buốt. Ngoài ra, do việc mài lớp men bên ngoài cùi răng thật để bọc răng sứ nên sau khi kết thúc quá trình bọc răng sứ và hết thuốc tê thì bệnh nhân sẽ bị ê buốt răng.
Sau vài ngày thì cảm giác ê buốt sẽ biến mất hoàn toàn nên bệnh nhân không cần lo lắng. Nếu cơn đau quá khó chịu thì người bệnh có thể chườm lạnh, chườm ấm hoặc nếu cơn đau dai dẳng kéo dài thì bệnh nhân nên đến gặp bác sĩ để bác sĩ kiểm tra tình trạng và khắc phục kịp thời, tránh các biến chứng về sau.

Răng bị ê buốt , đau nhẹ là chuyện bình thường
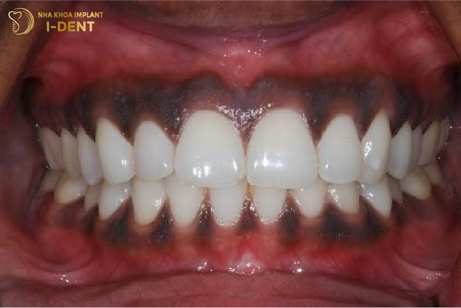
1.3. Viền nướu đổi màu
Nướu là bộ phận nhạy cảm nên sẽ đổi màu và nhạt hơn bình thường khi răng giả xuất hiện. Đây là biểu hiện bình thường mà hầu hết người bọc răng sứ đều gặp và sau 1-2 ngày thì nướu sẽ hồng như ban đầu.
Tuy nhiên, nướu xuất hiện triệu chứng như tím tái, xung huyết kéo dài và mức độ nghiêm trọng dần thì bệnh nhân cần đến bác sĩ để xử lý.

Nướu sẽ trở lại màu bình thường trong 1-2 ngày sau khi làm răng sứ.
1.4. Nướu bị ngứa nhẹ
Cảm giác sau khi bọc răng sứ thường là nướu bị ngứa nhẹ. Cảm giác châm chích và ngứa nướu có thể xảy ra trong thời gian ngắn vì răng thật đã bị mài sâu khoảng 1-2mm để gắn mão sứ. Cảm giác này là hoàn toàn bình thường và không gây ảnh hưởng đến sinh hoạt nên bệnh nhân không cần lo lắng.

Có cảm giác ngứa nướu răng
2. Triệu chứng bất thường sau khi bọc răng sứ cần chú ý
Một số triệu chứng sau khi bọc răng sứ là bất thường mà bệnh nhân cần chú ý và đến gặp bác sĩ càng sớm càng tốt:
2.1. Cảm giác bị cộm, cấn hoặc răng giả bị rơi khi nhai
Cảm giác cộm, cấn là triệu chứng sau khi bọc răng sứ thường xảy ra. Trường hợp này là do mão răng sứ bị gắn lệch hoặc không khít nên tạo cảm giác bị cộm, cấn hoặc thậm chí rơi ra ngoài. Hơn nữa, bọc răng sứ không sát khít sẽ tạo ra khe hở, khiến vi khuẩn dễ xâm nhập và gây ra các bệnh lý răng miệng như sâu răng, viêm nướu hoặc viêm nha chu.

Mão sứ gắn không khớp nên cảm giác hơi cộm
2.2. Bị hôi miệng
Triệu chứng hôi miệng sau khi bọc răng sứ do quá trình bọc sứ sai kỹ thuật, bác sĩ gắn mão răng không sát với trụ, tạo nhiều khoảng trống làm thức ăn dễ bị kẹt lại quanh viền răng sứ hoặc bệnh nhân vệ sinh răng miệng không đúng cách nên vi khuẩn hình thành và phát triển trong khoang miệng gây ra hôi miệng.
2.3. Răng sứ bị nứt, vỡ
Răng sứ có độ bền cao nhưng vẫn có thể bị nứt, mẻ hoặc vỡ nếu chịu lực nhai quá mạnh, cắn đồ cứng hoặc mão sứ không được chế tác đúng kỹ thuật. Khi răng sứ bị nứt thì khả năng bảo vệ răng thật bên trong sẽ giảm, đồng thời dễ gây ê buốt và viêm nướu.

Răng sứ bị nứt dẫn đến e buốt hoặc rơi ra
2.4. Viêm lợi kéo dài
Viêm nướu kéo dài là triệu chứng sau khi bọc răng sứ cảnh báo mão sứ không tương thích với nướu, răng sứ không ôm khít hoặc quy trình bọc sứ không đảm bảo vô trùng. Viêm nướu sẽ khiến nướu sưng đỏ, đau, dễ chảy máu và có thể dẫn đến tụt nướu lộ chân răng. Nếu tình trạng viêm kéo dài hơn 1 tuần thì bạn cần đến nha khoa để được bác sĩ thăm khám và điều chỉnh hoặc làm lại mão sứ phù hợp hơn.

Chảy máu, sưng đỏ gây viêm nướu kéo dài
2.4. Chết tủy
Chết tủy sau khi bọc răng sứ là biến chứng nghiêm trọng nhưng vẫn có thể xảy ra khi quá trình mài răng làm tổn thương tủy hoặc khi vi khuẩn xâm nhập vào răng thật do mão sứ bị hở. Biểu hiện thường gồm đau âm ỉ kéo dài, đau nhói về đêm, đổi màu răng hoặc xuất hiện áp xe nhỏ ở nướu. Răng chết tủy nếu không điều trị kịp thời có thể gây nhiễm trùng lan rộng và ảnh hưởng tới các răng kế bên.
3. Làm sao ngăn chặn các biến chứng khi làm răng sứ?
Để hạn chế các biến chứng sau khi bọc răng sứ bạn cần lưu ý:
3.1. Xây dựng chế độ ăn uống phù hợp
Chế độ ăn uống có vai trò quan trọng trong việc hỗ trợ phục hồi và ngăn chặn biến chứng sau khi bọc răng sứ nên bạn cần chú ý chế độ ăn uống:
- Bệnh nhân không ăn đồ cứng, giòn, dai hoặc độ bám dính cao.
- Người bọc răng sứ cần tránh thức ăn quá nóng hoặc quá lạnh.
- Hạn chế thực phẩm gây kích thích, nhiều gia vị, đồ uống có gas, acid, phẩm màu…
- Hạn chế uống rượu, bia, thuốc lá sau và trong khi bọc răng sứ.

Bệnh nhân cần chú ý chế độ ăn uống để tránh ảnh hưởng đến kết quả điều trị
3.2. Chăm sóc răng miệng đúng cách
Sau khi bọc răng sứ cần vệ sinh răng miệng đúng cách theo chỉ dẫn bác sĩ để không bị viêm nhiễm hoặc mắc bệnh lý răng miệng.
- Bệnh nhân nên đánh răng ít nhất 2 lần/ngày và sau bữa ăn 30 phút.
- Người bọc răng sứ nên đánh răng theo chiều từ trên xuống dưới và từ trong ra ngoài.
- Nên dùng bàn chải lông mềm hoặc tăm nước để tránh tổn thương răng.
- Bạn nên dùng chỉ nha khoa hoặc nước súc miệng để thay thế tăm xỉa răng khi loại bỏ vụn thức ăn trong kẽ răng.
- Người bọc răng sứ nên nhai đều ở cả 2 hàm.
- Người làm răng sứ cần thăm khám định kỳ tại nha khoa.

Sử dụng bàn chải lông tơ mềm hoặc máy tăm nước để chải răng sứ
3.3. Kiểm tra răng định kỳ
Sau khi bọc răng sứ bệnh nhân nên tái khám định kỳ để bác sĩ theo dõi xem mão sứ có ổn định hay xuất hiện dấu hiệu bất thường nào không. Bệnh nhân cần tuân thủ lịch kiểm tra mà bác sĩ đưa ra để phát hiện sớm các vấn đề như viêm nướu, hở kẽ, cộm cấn hoặc tình trạng răng thật bên dưới không còn khỏe.
Bạn nên đến nha khoa định kỳ 6 tháng/lần để bác sĩ tiến hành vệ sinh răng miệng, cạo vôi răng và đánh giá tổng thể sức khỏe răng miệng. Cạo vôi định kỳ giúp răng duy trì độ trắng sáng và hạn chế vi khuẩn tích tụ, ngăn ngừa các bệnh lý răng miệng.
3.4. Chọn nha khoa làm răng sứ uy tín
Bệnh nhân nên chọn nha khoa uy tín có đội ngũ bác sĩ giỏi, giàu kinh nghiệm, đảm bảo kỹ thuật để bọc răng sứ mang lại hiệu quả tốt và không bị biến chứng.
Tại Nha khoa I-Dent, quá trình bọc răng sứ được thực hiện bởi đội ngũ bác sĩ chuyên sâu phục hình răng sứ thẩm mỹ, ứng dụng công nghệ lấy dấu, thiết kế mão sứ hiện đại giúp răng ôm khít, ăn nhai thoải mái và duy trì lâu bền. Hệ thống phòng khám vô trùng chuẩn quốc tế cùng quy trình chăm sóc sau điều trị tận tâm nên khách hàng có thể yên tâm về độ an toàn và chất lượng phục hình.

Bác sĩ có tay nghề cao sẽ giảm biến chứng khi bọc sứ
Tóm lại, cảm giác sau khi bọc răng sứ là bình thường và sẽ hết sau vài ngày. Tuy nhiên, nếu các triệu chứng bất thường như cộm, cấn, đau nhức kéo dài, hở kẽ, viêm nướu hoặc răng sứ bị nứt vỡ thì bạn nên đến nha khoa để được kiểm tra kịp thời.
CHUYÊN SÂU IMPLANT DÀNH CHO NGƯỜI VIỆT
- Cơ sở 1:19V Nguyễn Hữu Cảnh, P.19, Q.Bình Thạnh, TP.Hồ Chí Minh
- Cơ sở 2:193A-195 Hùng Vương, P.9, Quận 5, TP.Hồ Chí Minh
- Cơ sở 3:83 Đường số 3 Khu dân cư Cityland, P.10, Q.Gò Vấp, TP.Hồ Chí Minh