
Chi Phí Làm Cầu Răng Sứ Giá Bao Nhiêu Tiền?

Cố vấn chuyên môn:TS.BS. Nguyễn Hiếu Tùng
- Giám đốc Nha khoa I-DENT
- 10 năm tu nghiệp tại Pháp - hơn 10.000 ca Implant thành công
Cầu răng sứ là phương pháp phục hình răng cố định giúp khôi phục lại răng đã mất bằng cách mài nhỏ hai răng kế cận để làm trụ nâng đỡ dãy cầu gồm nhiều mão sứ liền nhau. Phương pháp này được đánh giá có tính thẩm mỹ tốt, phục hồi khả năng ăn nhai và thời gian thực hiện nhanh. Hiện nay, giá làm cầu răng sứ dao động từ 1.000.000 – 14.000.000 VNĐ/răng tùy thuộc vào chất liệu răng sứ, số lượng răng cần phục hình và chính sách của từng nha khoa.
1. Cầu răng sứ là gì?
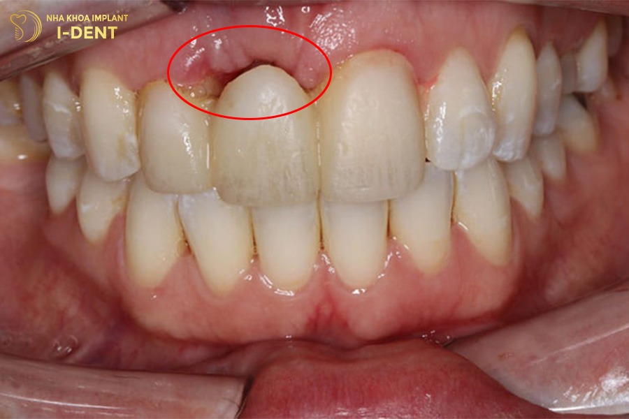
Cầu răng sứ (hay trồng răng bắc cầu) là phương pháp phục hình răng giả cố định được sử dụng phổ biến để thay thế cho răng đã mất. Bác sĩ sẽ mài nhỏ hai răng thật kế bên vị trí răng mất để làm trụ, sau đó gắn lên đó một dãy cầu răng sứ gồm từ 2-5 mão sứ liền nhau. Phần răng sứ nằm ở giữa có nhiệm vụ thay thế cho răng đã mất còn hai răng sứ ở hai đầu chụp cố định lên răng trụ để tạo thành một khối vững chắc. Phương pháp này khôi phục khả năng ăn nhai và mang lại tính thẩm mỹ tốt cho bệnh nhân.

Bắc cầu răng sứ là phương pháp phục hình răng giả cố định
2. Làm cầu răng sứ giá bao nhiêu?
Giá làm cầu răng sứ dao động từ 1.000.000 – 14.000.000 VNĐ/răng tùy vào số lượng răng cần phục hình, loại răng sứ và chính sách của từng nha khoa. Răng sứ kim loại có giá thấp nhất khoảng 1.000.000 VNĐ/răng và răng sứ toàn sứ có giá cao nhất khoảng 14.000.000 VNĐ/răng.
Giá làm răng bắc cầu sứ phụ thuộc vào giá các loại răng sứ:
- Răng sứ kim loại: 1.000.000 VNĐ/răng.
- Răng sứ titan: 2.000.000 VNĐ/răng.
- Răng toàn sứ Zirconia: 6.000.000 VNĐ/răng.
- Răng toàn sứ cao cấp HI-Zirconia: 7.000.000 VNĐ/răng.
- Răng sứ Lava Plus: 8.000.000 VNĐ/răng.
- Răng sứ Jelenko Multilayer: 10.000.000 VNĐ/răng.
- Răng sứ toàn sứ cao cấp Multilayer Lava Esthetic: 14.000.000 VNĐ/răng
Răng sứ kim loại có giá thấp hơn so với răng toàn sứ do độ thẩm mỹ và tuổi thọ thấp hơn. Ngoài ra, trường hợp mất 1 răng chỉ cần phục hình bằng 2–3 mão sứ chi phí cũng sẽ thấp. Ngược lại, nếu mất nhiều răng liền kề cần dùng 4–6 mão sứ để tạo cầu thì tổng chi phí sẽ cao hơn.
Lưu ý: Khi làm bắc cầu răng sứ sẽ cần ít nhất 3 răng sứ nên khi bệnh nhân mất 1 răng thì giá cầu răng sứ sẽ được tính trên đơn vị 3 chiếc răng sứ.
Khách hàng có thể tham khảo bảng giá răng sứ tại nha khoa I-DENT ngay dưới đây. Để tính được mức giá khi muốn làm cầu răng:
| LOẠI RĂNG | CHI PHÍ |
|---|---|
|
RĂNG CỐ ĐỊNH |
|
| Răng sứ kim loại (Ceramco 3 – Mỹ) |
1.000.000 VNĐ/ Răng (Bảo hành 3 năm) |
| Răng sứ Chrom-Cobalt (Mỹ) |
3.500.000 VNĐ/ Răng (Bảo hành 5 năm) |
| Răng sứ toàn sứ Bio ESTHETIC (Đức) |
4.500.000 VNĐ/Răng
3.600.000 VNĐ/Răng (Bảo hành 10 năm) |
| Răng sứ toàn sứ Multilayer DDBio (Đức) |
5.500.000 VNĐ/Răng
4.400.000 VNĐ/Răng (Bảo hành 10 năm) |
| Răng sứ toàn sứ Multilayer CERCON HT (Đức) |
6.500.000 VNĐ/Răng (Bảo hành 10 năm) |
| Răng sứ toàn sứ cao cấp Lava Plus (Mỹ) |
8.000.000 VNĐ/ Răng (Bảo hành 15 năm) |
| Răng sứ toàn sứ cao cấp Nacera 9 MAX (Đức) |
9.000.000 VNĐ/Răng
7.200.000 VNĐ/Răng (Bảo hành 15 năm) |
| Răng sứ toàn sứ cao cấp Multilayer EVEREST Speed (Hàn Quốc)
( Gắn răng cấp tốc trong vòng 24-48 giờ ) |
12.000.000 VNĐ/ Răng (Bảo hành 20 năm) |
| Răng sứ toàn sứ cao cấp Multilayer LAVA Esthetic (Mỹ) |
14.000.000 VNĐ/Răng
11.200.000 VNĐ/Răng (Bảo hành 20 năm) |
| Thẩm mỹ răng sứ toàn hàm (16 – 20 răng toàn sứ) |
Giảm 30% cho cho tất cả loại răng toàn sứ |
Bảng giá bắc cầu răng sứ tại nha khoa I-DENT
3. Các loại cầu răng sứ phổ biến
Phương pháp trồng răng bắc cầu có 5 loại phổ biến:
- Cầu răng sứ truyền thống: Đây là loại cầu răng được nhiều bệnh nhân lựa chọn nhất. Bác sĩ sẽ thực hiện bằng cách mài 2 răng khỏe mạnh ở hai bên răng đã mất làm trụ đỡ, sau đó chụp mão sứ lên trên.
- Cầu răng với: Khác với cầu răng truyền thống phải mài 2 răng, cầu răng với chỉ mài 1 răng để làm trụ đỡ. Tuy nhiên, phương án này đòi hỏi bác sĩ phải thực hiện thật chính xác để tránh việc dồn lực vào một răng gây nguy hiểm khi ăn nhai.
- Cầu răng cánh dán: Cầu răng này được tạo bởi 2 mảnh kim loại 2 bên như cánh dán, gắn cố định với 2 răng khỏe mạnh bên cạnh. Phương án này không cần mài nhỏ men răng, tuy nhiên độ bền và lực nhai sẽ không cao.
- Cầu răng composite: Cầu răng được nối với nhau bằng composite, chất liệu làm đầy răng bằng nhựa. Phương pháp này khá rẻ nhưng không được ưa chuộng bởi độ bền khá thấp.
- Cầu răng có Implant hỗ trợ: Cầu răng này sử dụng trụ Implant cấy vào xương hàm để làm trụ đỡ, phù hợp với tình trạng mất nhiều răng. Phương pháp này được bác sĩ khuyến khích lựa chọn bởi độ bền tốt, tuy nhiên chi phí khá cao.

Các loại bắc cầu sứ phổ biến nhất hiện nay
4. Ưu và nhược điểm của trồng răng bắc cầu
Dưới đây là những ưu điểm và nhược điểm của trồng răng bắc cầu:
4.1 Ưu điểm của cầu răng sứ
- Cải thiện khả năng ăn nhai: Cầu răng sứ được chế tác từ chất liệu có độ chịu lực cao giúp phục hồi sức nhai lên đến 80% so với răng thật.
- Khôi phục tính thẩm mỹ nụ cười: Cầu răng được thiết kế với hình dáng và màu sắc giống răng thật giúp lấp đầy khoảng trống mất răng, mang lại nụ cười tự tin và gương mặt hài hòa.
- Thời gian thực hiện nhanh: Toàn bộ quy trình làm cầu răng sứ chỉ mất 2–3 lần hẹn. Răng tương thích nhanh với cùi răng thật nên bệnh nhân có thể ăn nhai bình thường chỉ sau vài ngày.
- Chi phí hợp lý: So với phương pháp trồng răng implant thì bắc cầu răng sứ có mức chi phí thấp hơn, phù hợp với nhiều bệnh nhân.

Cầu răng sứ phục hồi thẩm mỹ và khả năng ăn nhai tốt.
4.2 Nhược điểm của cầu răng sứ
- Sức nhai giảm dần theo thời gian: Ban đầu cầu răng sứ có thể đạt tới 80% sức nhai của răng thật nhưng sau vài năm sử dụng thì độ bền và khả năng chịu lực sẽ giảm, đặc biệt khi răng trụ yếu hoặc cầu răng bị lỏng thì phải thay mới để đảm bảo chức năng ăn nhai.
- Ảnh hưởng đến răng thật: Phương pháp này yêu cầu mài nhỏ hai răng thật kế cận để làm trụ nâng đỡ nên xâm lấn cao khiến răng trụ bị yếu đi, dễ ê buốt hoặc hư tổn nếu chăm sóc không đúng cách.
- Không ngăn được tình trạng tiêu xương hàm: Cầu răng sứ chỉ phục hình phần thân răng bên trên và không có chân răng nhân tạo cắm vào xương hàm như implant vì vậy xương hàm tại vị trí răng mất vẫn bị tiêu dần theo thời gian.
- Không áp dụng cho nhiều trường hợp mất răng: Nếu khoảng mất răng quá dài, hoặc mất các răng ăn nhai chính như răng số 6, số 7 thì không nên làm bắc cầu răng sứ. Đặc biệt, cầu sứ không thể phục hình khi mất hết răng cả hàm.

Cầu răng sứ không ngăn được tình trạng tiêu xương hàm.
Nhược điểm của cầu răng sứ sẽ ảnh hưởng khá nhiều đến các răng thật còn lại trên cung hàm. Vì vậy, khách hàng cần cân nhắc kỹ trước khi thực hiện.
5. Làm cầu răng sứ bền được bao lâu?
Trung bình cầu răng sứ có thể sử dụng bền từ 7-10 năm. Tuy nhiên, thời gian thay cầu răng mới sẽ rút ngắn nếu cầu răng không đảm bảo chất lượng, tay nghề bác sĩ yếu hoặc bệnh nhân không chăm sóc răng miệng đúng cách.
Độ bền của cầu răng sứ chịu ảnh hưởng bởi nhiều yếu tố khác nhau:
- Chất liệu răng sứ: Răng toàn sứ có độ bền, khả năng chịu lực và tính ổn định cao hơn so với răng sứ kim loại vì răng sứ kim loại dễ bị oxy hóa gây đen viền nướu và cổ răng sau thời gian sử dụng.
- Vị trí phục hình: Cầu răng ở vị trí răng hàm phải chịu lực lớn khi nghiền thức ăn nên dễ bị mòn hoặc lỏng sau vài năm.
- Kỹ thuật thực hiện: Nếu quy trình mài và lắp cầu răng không chuẩn xác, cấu trúc cầu răng có thể bị lỏng gây ê buốt hoặc giảm độ bền.
Thói quen ăn uống và vệ sinh răng miệng: Ăn thực phẩm quá cứng, nóng lạnh thất thường hoặc lười vệ sinh răng miệng đều khiến cầu răng sứ nhanh hư hại và giảm tuổi thọ.
6. Cách chăm sóc cầu răng sứ kéo dài độ bền
Để cầu răng sứ kéo dài tuổi thọ và bền hơn, bạn nên lưu ý các cách chăm sóc sau đây:
- Chải răng 2 lần/ngày bằng bàn chải lông mềm để làm sạch mảng bám; kết hợp chỉ nha khoa thay vì tăm tre để tránh làm hở cầu răng.
- Ăn đồ mềm, lỏng trong thời gian đầu sau đó có thể ăn bình thường nhưng hạn chế thực phẩm quá cứng hoặc dai để không gây áp lực lên cầu răng.
- Tránh đồ ăn, thức uống quá nóng hoặc lạnh và hạn chế sử dụng rượu, bia, thuốc lá để giữ màu sắc cũng như độ bền của răng sứ.
- Tái khám nha khoa định kỳ 6 tháng/lần để kiểm tra cầu răng giúp kéo dài tuổi thọ sử dụng.

Vệ sinh răng miệng đúng cách để cầu răng sứ bền đẹp lâu.
7. Câu hỏi thường gặp
7.1. Làm cầu răng sứ giá bao nhiêu?
Giá làm cầu răng sứ dao động từ 1.000.000 VNĐ/răng đến 14.000.000 VNĐ/răng tùy vào loại răng sứ lựa chọn và số răng cần phục hình.
7.2. Có nên bắt cầu răng sứ không?
Nên bắt cầu răng sứ nếu bệnh nhân chỉ mất 1-2 răng liền kề nhau và điều kiện là 2 răng kế cận phải đủ chắc khỏe để làm trụ đỡ. Tuy nhiên nếu răng kế cận của bệnh nhân đã yếu hoặc đã từng điều trị tủy thì không nên bắt cầu răng sứ và trường hợp này trồng răng implant sẽ bền vững và hiệu quả hơn.
7.3. Làm cầu răng sứ có đau không?
Quá trình làm cầu răng sứ không gây đau vì bác sĩ đã gây tê cục bộ khi mài răng và lắp cầu sứ. Sau khi hết thuốc tê bệnh nhân có thể sẽ cảm thấy hơi ê buốt nhẹ trong vài ngày đầu nhưng cảm giác này sẽ giảm dần trong 4-5 ngày và hết hẳn trong vòng 1 tuần khi răng đã thích nghi.
Chi phí làm cầu răng sứ dao động khoảng 1.000.000 – 14.000.000 VNĐ/răng tùy vào chất liệu sứ, số lượng răng cần phục hình và tay nghề bác sĩ. Đây là giải pháp phục hình răng mất nhanh, hiệu quả và tiết kiệm so với các phương pháp khác. Tuy nhiên, theo các bác sĩ và chuyên gia, nếu bệnh nhân đủ điều kiện về sức khỏe và kinh tế tốt thì nên lựa chọn cấy ghép implant vì răng implant có thể khắc phục toàn bộ nhược điểm của cầu răng sứ và tuổi thọ sử dụng lên đến trọn đời.
CHUYÊN SÂU IMPLANT DÀNH CHO NGƯỜI VIỆT
- Cơ sở 1:19V Nguyễn Hữu Cảnh, P.19, Q.Bình Thạnh, TP.Hồ Chí Minh
- Cơ sở 2:193A-195 Hùng Vương, P.9, Quận 5, TP.Hồ Chí Minh
- Cơ sở 3:83 Đường số 3 Khu dân cư Cityland, P.10, Q.Gò Vấp, TP.Hồ Chí Minh