
Các Dấu Hiệu Răng Sứ Bị Hở Và Cách Khắc Phục

Cố vấn chuyên môn:TS.BS. Nguyễn Hiếu Tùng
- Giám đốc Nha khoa I-DENT
- 10 năm tu nghiệp tại Pháp - hơn 10.000 ca Implant thành công
Dấu hiệu răng sứ bị hở là có khe hở giữa răng sứ và nướu, tụt nướu, xuất hiện vệt đen ở viền nướu, cảm giác ê buốt khi ăn đồ nóng, lạnh, thức ăn dễ bị giắt vào kẽ răng và cộm cấn khi ăn nhai. Nguyên nhân dẫn đến tình trạng này là do kỹ thuật bọc răng sứ không tốt, răng sứ bị nứt, vỡ, lực nhai quá mạnh, bị tụt nướu hoặc chất liệu răng sứ kém.
1. Dấu hiệu răng sứ bị hở
Răng sứ bị hở khi quan sát thấy vị trí chân răng sứ tiếp giáp với nướu xuất hiện khe hở và phần nướu không khít sát vào chân răng. Vài dấu hiệu nhận biết như sau:
- Nướu tụt dần, làm lộ cùi răng bên trong.
- Viền nướu xung quanh răng sứ xuất hiện các vệt đen mờ.
- Cảm giác cộm cấn và ăn nhai khó khăn.
- Răng sứ trở nên lỏng lẻo.
- Thức ăn hay bị mắc kẹt lại trong khe hở và khó vệ sinh, dẫn đến miệng có mùi hôi khó chịu.
1.1. Xuất hiện khe hở giữa răng sứ và nướu
Dấu hiệu điển hình của dấu hiệu răng sứ bị hở là có một khe hở ở vùng tiếp giáp giữa răng sứ và nướu khi nhìn qua gương hoặc cảm nhận bằng lưỡi.
Khe hở này tạo điều kiện cho mảng bám, vi khuẩn tích tụ, từ đó gây ra đau nhức, viêm nhiễm và làm tổn hại phần cùi răng thật bên trong. Điều này có thể khiến răng thật mất chức năng nâng đỡ mão sứ, dẫn đến dễ gãy hoặc rụng răng.

Khe hở giữa vùng chân răng sứ và nướu có thể quan sát bằng mắt thường hoặc dùng lưỡi cảm nhận
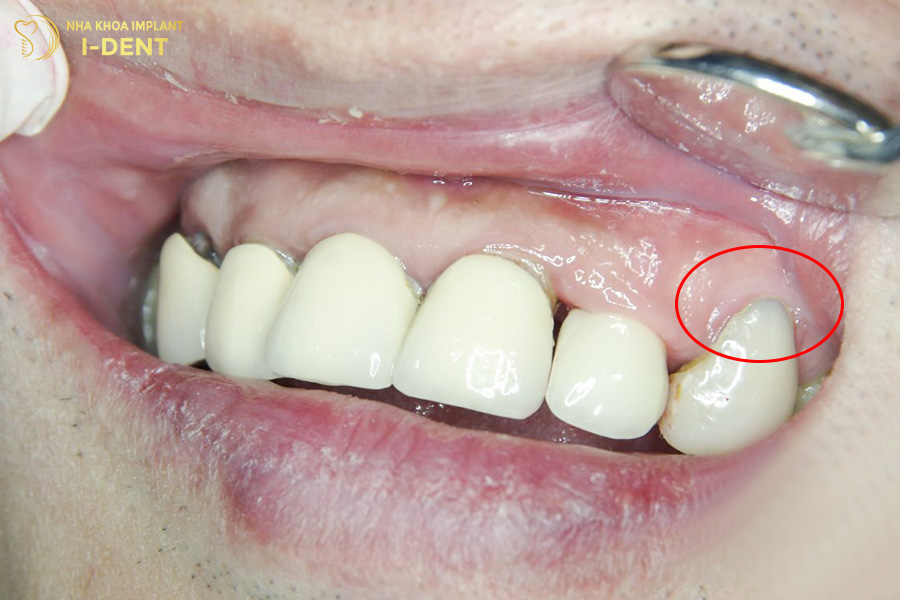
1.2. Tụt nướu làm lộ cùi răng bên trong
Bọc răng sứ sai kỹ thuật sẽ tạo ra khoảng hở giữa mão sứ và nướu. Khe hở này tạo điều kiện thuận lợi để vi khuẩn xâm nhập, gây viêm nướu và dẫn đến tình trạng tụt nướu. Khi nướu bị tụt, phần cùi răng hoặc chân răng sứ bên trong bị lộ ra ngoài.
Dấu hiệu răng sứ bị hở kiểu này thường rõ ràng nhất ở những vị trí dễ quan sát như răng cửa hoặc răng nanh.

Tình trạng răng sứ bị hở làm lộ phần cùi răng bên trong.
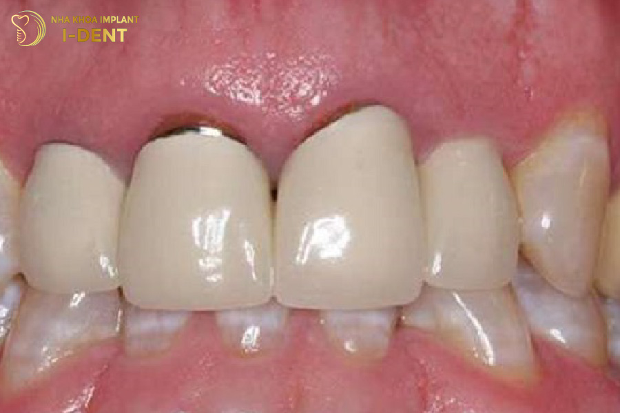
1.3. Xuất hiện vệt đen mờ quanh chân răng
Tình trạng xuất hiện vệt đen mờ quanh chân răng là dấu hiệu răng sứ bị hở thường gặp đối với những người bọc răng sứ kim loại. Khi răng sứ kim loại không ôm khít với viền nướu sẽ dẫn đến hiện tượng oxy hóa phần kim loại bên trong, gây xỉn màu tại viền nướu.
Với dấu hiệu này, bạn có thể quan sát được bằng cách nhìn kỹ vùng chân răng sứ thấy có những vệt đen hoặc sẫm màu.

Bọc răng sứ kim loại bị hở dẫn đến răng sứ bị oxy hóa làm xuất hiện vệt đen mờ quanh chân răng sứ.
1.4. Cảm giác cộm cấn, ê buốt và đau nhức
Khi răng sứ bị hở, phần cùi răng rất yếu bên trong sẽ dễ bị kích thích bởi thức ăn nóng, lạnh hoặc cứng, gây ra cảm giác ê buốt và đau nhức kéo dài. Ngoài ra, nếu răng sứ lắp không chính xác sẽ gây ra hiện tượng cộm, khó chịu khi nhai.
Đối với dấu hiệu nhận biết răng sứ bị hở loại này bạn có thể cảm nhận mà không cần nhìn bằng mắt.

Răng sứ bị hở làm cùi răng bên trong lộ ra, gây ra cảm giác ê buốt và đau nhức khi ăn đồ nóng hoặc lạnh.
1.5. Thức ăn dễ giắt vào khe hở gây hôi miệng
Khi mão sứ lắp sai tỉ lệ sẽ khiến khoảng cách giữa các kẽ răng bị thay đổi quá hở hoặc quá khít khiến vụn thức ăn như thớ thịt, rau,… dễ dàng kẹt lại. Nếu không vệ sinh kỹ, khu vực này sẽ trở thành môi trường lý tưởng cho vi khuẩn phát triển, gây ra mùi hôi miệng, viêm lợi và sâu răng. Tình trạng này thường gặp nhất là ở vị răng hàm, răng nanh và cả răng cửa.

Răng sứ bị hở khiến thức ăn dễ giắt vào và gây hôi miệng nếu không được vệ sinh kỹ.
2. Tại sao răng sứ bị hở?
Răng sứ bị hở có thể là do các nguyên nhân sau:
- Bác sĩ thực hiện sai kỹ thuật
Thao tác quan trọng nhất trong quá trình bọc sứ chính là mài răng. Nếu răng được mài chuẩn xác, đúng tỷ lệ sẽ giảm thiểu những rủi ro về sau. Ngược lại, nếu bác sĩ không có kinh nghiệm và tay nghề yếu kém sẽ rất dễ phán đoán sai tỷ lệ mài răng, khiến cấu trúc răng bị xâm lấn quá nhiều, làm tổn thương chân răng và dẫn tới tình trạng tụt nướu làm răng sứ bị hở chân răng ra.

Bác sĩ tay nghề kém sẽ dễ mài răng sai tỷ lệ, khiến răng sứ lệch khỏi răng thật
- Răng sứ không khớp với trụ răng
Để mão răng sứ khớp với trụ răng, đòi hỏi việc lấy dấu hàm và chế tác răng sứ cần chính xác tuyệt đối. Nếu bác sĩ dùng dụng cụ lấy dấu hàm lạc hậu sẽ dẫn đến việc Labo thiết kế răng sứ sai tỷ lệ, sẽ dẫn tới mão sứ to hơn cùi răng khiến chúng không khớp và tạo ra khe hở.
- Răng sứ kém chất lượng
Nếu sử dụng phải những loại răng sứ kém chất lượng, có thể gây ra kích ứng với vùng nướu và cùi răng, dẫn tới sưng tấy, viêm nhiễm, làm răng sứ sẽ bị đẩy lên cao và xuất hiện khe hở ở chân răng. Ngoài ra, người bọc răng sứ kim loại (đặc biệt là răng sứ kim loại thường) cũng sẽ dễ gặp tình trạng này vì khung kim loại sau thời gian sử dụng bị oxy hóa, khiến răng sứ bị mài mòn và tuột ra khỏi trụ răng.
- Keo dán răng sứ không tốt
Keo dán sứ đóng vai trò quan trọng trong việc đảm bảo độ chắc chắn của răng sứ với cùi răng. Nếu keo dán kém chất lượng hoặc bác sĩ dùng quá ít keo thì trong sau thời gian răng sứ có thể bị hở hay thậm chí rơi ra trong quá trình ăn uống hay vệ sinh.
- Vệ sinh răng miệng sai cách
Việc vệ sinh răng miệng sai cách có thể khiến răng sứ bị hở. Nếu bạn chải răng với lực quá mạnh bằng bàn chải lông cứng, chải răng không đúng kỹ thuật có thể khiến răng sứ bị mài mòn và hở nướu sau một thời gian.

Chăm sóc răng không đúng cách sẽ làm răng sứ bị hở khỏi nướu
3. Tác hại của việc bọc răng sứ bị hở chân
Nếu không khắc phục kịp thời ngay khi có dấu hiệu răng sứ bị hở chân răng, có thể gây nên những tác hại nghiêm trọng sau:
- Ảnh hưởng thẩm mỹ
Răng sứ bị hở chân sẽ làm lộ phần cùi răng bên trong, xuất hiện cả tình trạng đen viền nướu, khiến cho khuôn mặt mất thẩm mỹ. Nụ cười trở nên kém duyên, thiếu tự nhiên.

Hở chân răng sứ gây mất thẩm mỹ nụ cười
- Mắc phải bệnh lý răng miệng
Kẽ hở giữa răng sứ và trụ răng sẽ khiến cho thức ăn rất dễ mắc kẹt lại. Nếu không vệ sinh sạch sẽ, thì đây chính là môi trường lý tưởng cho vi khuẩn có hại phát triển. Dẫn tới nhiều bệnh lý như hôi miệng, sâu răng, viêm tủy, viêm nướu, viêm nha chu…
- Nguy cơ mất răng thật
Kỹ thuật bọc răng sứ yêu cầu mài cùi răng thật để làm trụ, do đó răng thật sau khi mài sẽ bị yếu đi và dễ chịu các tác động tiêu cực. Việc lắp mão sứ không khớp khít với cùi răng sẽ tạo điều kiện cho vi khuẩn xâm nhập và gây ra các bệnh lý về răng miệng nghiêm trọng, dẫn đến răng thật bị tổn thương. Nếu không điều trị kịp thời và dứt điểm, cùi răng bên trong sẽ dần bị hư tổn, suy yếu và làm tăng nguy cơ mất răng.
- Gây đau nhức, hôi miệng
Răng sứ bị hở tạo điều kiện cho thức ăn mắc vào kẽ, gây mùi hôi khó chịu. Lâu dần, lượng lớn thức ăn và vi khuẩn bám vào và lắp đầy cùi răng, từ đó khiến răng bị đau nhức dai dẳng, đặc biệt khi ăn nhai.
- Ảnh hưởng hệ tiêu hóa
Việc bọc răng sứ không khít sẽ làm suy giảm chức năng ăn nhai. Do khách hàng thường xuyên cảm thấy ê buốt, đau nhức… đặc biệt là khi ăn đồ nóng, lạnh. Dẫn tới cảm giác chán ăn, lười nhai, mà chỉ cố nuốt thức ăn. Khi thức ăn không được nghiền nhỏ, khiến cho dạ dày phải hoạt động nhiều hơn, lâu ngày dẫn đến các bệnh về đường tiêu hóa.
4. Răng sứ bị hở phải làm sao?
Để ngăn chặn những biến chứng nguy hiểm kể trên, thì khi khách hàng phát hiện ra dấu hiệu răng sứ bị hở, cần đến nha khoa càng sớm càng tốt, để bác sĩ kiểm tra và đưa ra hướng giải quyết.
Tại nha khoa, bác sĩ sẽ tiến hành đo đạc lại trụ răng đã mài, để kiểm tra kích thước, tỷ lệ và chất lượng mão sứ. Sau đó chỉ định biện pháp khắc phục tình trạng hở răng sứ như sau:
- Nếu do sai lệch kích thước giữa răng sứ và cùi răng, bác sĩ sẽ tháo mão sứ cũ, lấy dấu lại và chế tác mão sứ mới vừa khít với nướu.
- Nếu bị hở do nướu và răng thật kích ứng với chất liệu mão sứ (thường là sứ kim loại), bác sĩ sẽ làm lại răng sứ mới với vật liệu tốt hơn, như răng toàn sứ.
- Nếu do keo dán và răng sứ vẫn còn tốt, bác sĩ sẽ tháo mão sứ rồi gắn cố định lại bằng loại keo tốt hơn.
Ngoài ra, nếu hở răng sứ lâu ngày gây ra các bệnh lý răng miệng, bác sĩ sẽ tháo mão sứ và ưu tiên điều trị dứt điểm trước, sau đó mới tiến hành bọc lại răng sứ mới.

Bác sĩ lấy dấu và làm lại răng sứ đúng kích thước cho khách hàng
Có thể nhận thấy rằng, dấu hiệu răng sứ bị hở có thể cảm nhận bằng mắt thường hoặc cảm nhận qua lưỡi như nướu bị tụt lộ cùi răng thật, cảm giác cộm khi ăn nhai, răng ê buốt. Nguyên nhân khiến răng sứ bị hở phần lớn đều xuất phát từ tay nghề bác sĩ kém và chất liệu sứ không đảm bảo. Vậy nên, khách hàng cần tìm hiểu kỹ lưỡng, để lựa chọn đúng nha khoa thẩm mỹ răng sứ uy tín, chất lượng để đảm bảo kết quả phục hình thành công và an toàn cho sức khỏe.
CHUYÊN SÂU IMPLANT DÀNH CHO NGƯỜI VIỆT
- Cơ sở 1:19V Nguyễn Hữu Cảnh, P.19, Q.Bình Thạnh, TP.Hồ Chí Minh
- Cơ sở 2:193A-195 Hùng Vương, P.9, Quận 5, TP.Hồ Chí Minh
- Cơ sở 3:83 Đường số 3 Khu dân cư Cityland, P.10, Q.Gò Vấp, TP.Hồ Chí Minh