
Mài Kẽ Răng Để Niềng Có Hại Không? Những Điều Cần Lưu Ý

Cố vấn chuyên môn:TS.BS. Nguyễn Hiếu Tùng
- Giám đốc Nha khoa I-DENT
- 10 năm tu nghiệp tại Pháp - hơn 10.000 ca Implant thành công
Mài kẽ răng để niềng là kỹ thuật nha khoa tạo khoảng trống giữa các răng bằng cách mài một lớp men răng mỏng ở hai bên giúp răng di chuyển đều và đúng vị trí trên cung hàm. Kỹ thuật mài kẽ răng nếu được thực hiện đúng kỹ thuật tai nha khoa uy tín sẽ hoàn toàn không gây hại mà còn tạo khoảng trống để răng dịch chuyển dễ dàng hơn, cải thiện hiệu quả thẩm mỹ. Ngược lại, nếu mài sai kỹ thuật sẽ làm tổn thương ngà và tủy răng gây ra các vấn đề về răng miệng.
1. Mài kẽ răng là gì?
Mài kẽ răng hay còn gọi là cắt kẽ răng là thủ thuật nha khoa thu hẹp kích thước răng để tạo khoảng trống giữa các răng trên cung hàm. Bác sĩ sẽ tiến hành mài một lớp men răng rất mỏng ở hai bên răng và không tác động đến ngà răng hay tủy răng. Mài kẽ răng giúp thu gọn kích thước răng để răng di chuyển dễ dàng về đều và đúng vị trí trên cung hàm.
Trong giai đoạn này bác sĩ sẽ mài hai bên răng khoảng 0.3 – 0.5mm. Tùy vào từng trường hợp cụ thể mà số lượng răng cần mài sẽ khác nhau, thông thường dao động từ 4-10 răng. Khi bệnh nhân khám tổng quát bác sĩ sẽ giải thích về số lượng răng và vị trí cần mài cụ thể.

Mài kẽ răng là thủ thuật thu hẹp kích thước răng.
2. Vì sao cần phải mài kẽ răng để niềng?
Thực hiện mài kẽ răng nhằm mục đích chính là giúp quá trình niềng răng diễn ra thuận lợi, đảm bảo cả về thẩm mỹ lẫn chức năng ăn nhai:
- Tạo khoảng trống giữa các răng: Giúp quá trình siết răng thuận lợi, các răng dịch chuyển và khít đều với nhau.
- Điều chỉnh kích thước và hình dáng răng: Răng thật được cân chỉnh phù hợp với hàm răng và gương mặt làm tăng tính thẩm mỹ.
- Cân chỉnh khớp cắn: Giúp răng lệch khớp cắn trở về thẳng hàng và cân đối với các răng khác.
- Tạo khe hở an toàn: Tạo khoảng trống ở nướu mà không làm tổn hại đến mô răng thật.
- Hỗ trợ vệ sinh răng miệng: Dễ dàng loại bỏ mảng bám, cao răng, đốm đen hay vệt ố vàng trên bề mặt răng.
Lưu ý: Không phải ai niềng răng cũng cần mài kẽ. Phương pháp này phù hợp với những trường hợp răng sai lệch nhẹ, kích thước răng không đồng đều hoặc cần tạo khoảng nhỏ để sắp xếp răng. Với các trường hợp răng hô, móm hoặc lệch lạc nặng thì bác sĩ phải nhổ răng hoặc nong hàm để tạo khoảng trống kéo răng về đúng vị trí.

Cần mài kẽ răng để quá trình niềng răng diễn ra hiệu quả.
3. Tỉ lệ mài kẽ răng chuẩn
Tỉ lệ mài kẽ răng sẽ phụ thuộc vào tình trạng răng và phác đồ điều trị của bác sĩ dành cho từng khách hàng. Bạn có thể tham khảo một số tỉ lệ mài kẽ răng mẫu sau đây:
Với răng cần mài là răng cửa và răng nanh thì tỉ lệ mài răng tối đa như sau:
- Phần cổ răng: Khoảng từ 0.6 mm – 0.8 mm
- Phần thân răng: Khoảng từ 1 mm – 1.3 mm
- Phần cạnh rìa cắn: Khoảng từ 1.2 mm – 1.6 mm
Với răng cần mài là răng hàm thì tỉ lệ mài răng tối đa như sau:
- Phần cổ răng: Khoảng từ 0.6 mm – 0.8 mm
- Phần thân răng: Khoảng từ 1.3 mm – 1.6 mm
- Phần cạnh rìa cắn: Khoảng từ 1.4 mm – 1.8 mm

Tỉ lệ mài kẽ răng sẽ dựa vào từng tình trạng răng.
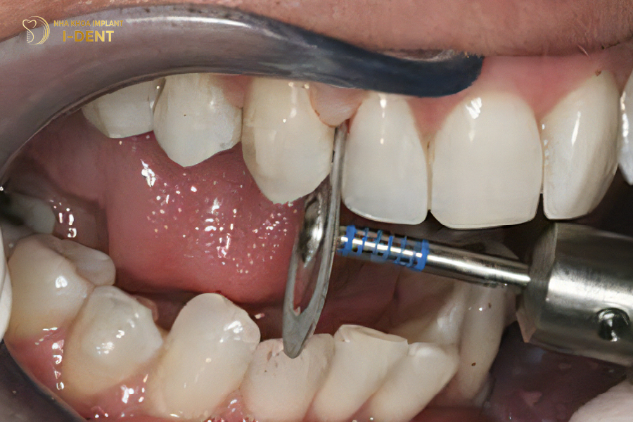
4. Quy trình mài kẽ răng để niềng
Quy trình mài kẽ răng sẽ phụ thuộc vào kích thước khe răng cần tạo, từ đó bác sĩ lựa chọn kỹ thuật phù hợp để đảm bảo an toàn và đạt hiệu quả tối ưu:
- Trường hợp khe răng nhỏ (≤ 0.3mm): Bác sĩ sẽ sử dụng giấy nhám chuyên dụng với độ thô, mịn khác nhau để mài từng chút một. Sau khi tạo khoảng trống, bác sĩ sẽ làm láng bề mặt kẽ răng bằng đĩa đánh bóng để tránh gây cộm hoặc khó chịu cho bệnh nhân.
- Trường hợp khe răng lớn (> 0.3mm): Bác sĩ sẽ dùng mũi khoan mài kẽ hoặc đĩa nhám mài để tạo khoảng trống nhanh và chính xác hơn. Sau đó, vẫn tiến hành mài mịn lại bằng giấy nhám mịn và đĩa đánh bóng để đảm bảo bề mặt răng trơn láng không gây tổn thương mô mềm.
Mài kẽ răng là thủ thuật đòi hỏi độ chính xác cao, yêu cầu bác sĩ có tay nghề vững, chuyên môn sâu và thao tác tỉ mỉ. Yếu tố kỹ thuật đóng vai trò quan trọng nhất, bởi bác sĩ phải đảm bảo giữ nguyên hình dáng tự nhiên của răng sau khi mài, Không gây xâm lấn vào mô răng thật, Không ảnh hưởng đến khớp cắn và sức khỏe cung hàm.

Quy trình mài kẽ răng sẽ phụ thuộc vào kích thước khe răng cần tạo.
5. Mài kẽ răng có đau không?
Mài kẽ răng không đau mà chỉ thấy hơi ê nhẹ vì trong quá trình mài kẽ chỉ tác động lên men răng mà không xâm lấn vào ngà răng hay tủy răng. Ngoài ra, trước khi mài bác sĩ cũng sử dụng thuốc tê để giảm ê răng giúp bạn thoải mái trong suốt quá trình thực hiện. Sau khi mài xong thì cảm giác ê, buốt nhẹ cũng sẽ biến mất nhanh vì vậy bạn không cần phải quá lo lắng.
6. Mài kẽ răng để niềng có ảnh hưởng gì không?
Mài kẽ răng không gây hại gì nếu được thực hiện tại cơ sở nha khoa uy tín bởi bác sĩ tay nghề cao và đảm bảo đúng kỹ thuật. Khi đó, bác sĩ chỉ mài một phần nhỏ men răng và không xâm lấn vào ngà hay tủy răng. Ngược lại, nếu mài răng sai kỹ thuật hoặc thực hiện bởi bác sĩ chưa có kinh nghiệm có thể sẽ mài răng quá sâu dẫn đến những tác hại:
- Răng nhạy cảm hơn, dễ đau nhức và ê buốt kéo dài.
- Tăng nguy cơ mắc các bệnh lý răng miệng như sâu răng hay viêm nướu.
- Ảnh hưởng đến kế hoạch niềng răng khiến thời gian chỉnh nha kéo dài.
- Chức năng ăn nhai suy giảm, gây khó khăn trong sinh hoạt hàng ngày.

Nếu mài kẽ răng đúng kỹ thuật sẽ không gây ra tác hại gì.
7. Lưu ý trước và sau khi mài kẽ răng
Để quá trình mài kẽ răng diễn ra an toàn và mang lại hiệu quả tốt nhất trong khi niềng thì bạn cần lưu ý những điều sau:
7.1. Trước khi mài kẽ răng
Trước khi thực hiện mài kẽ bạn cần lưu ý một số điểm quan trọng sau:
- Lựa chọn nha khoa uy tín, có bác sĩ chuyên môn cao để đảm bảo an toàn và hiệu quả.
- Khám và chụp X–quang răng để bác sĩ đánh giá chính xác tình trạng răng và lên kế hoạch mài phù hợp.
- Trao đổi rõ với bác sĩ về số lượng răng cần mài, độ mài và mục đích tạo khoảng trống.
- Xác định chi phí thực hiện để chủ động hơn và đảm bảo phù hợp với khả năng tài chính.
- Vệ sinh răng miệng sạch sẽ trước khi đến nha khoa để hạn chế vi khuẩn trong quá trình mài kẽ răng.
7.2. Sau khi mài kẽ răng
Sau khi mài kẽ răng bạn cần chăm sóc đúng cách để bảo vệ men răng vừa được mài:
- Chườm lạnh sau vài giờ đầu để giảm cảm giác đau nhức và ê buốt.
- Tránh ăn đồ quá cứng, quá nóng hoặc quá lạnh trong 24–48 giờ đầu.
- Ưu tiên các món mềm, lỏng, dễ nuốt như cháo, súp, sữa chua, … để tránh tác động lên vùng răng mới mài.
- Vệ sinh răng miệng kỹ 2 lần/ngày, kết hợp dùng chỉ nha khoa hoặc tăm nước để làm sạch mảng bám, ngăn ngừa viêm nướu và sâu răng tại khu vực vừa mài.
- Theo dõi cảm giác ê buốt, nếu kéo dài nhiều ngày hoặc tăng dần cần liên hệ bác sĩ ngay.
- Tái khám đúng lịch để bác sĩ kiểm tra độ ổn định và đảm bảo quá trình niềng diễn ra đúng kế hoạch.
8. Mài kẽ răng để niềng an toàn và chuẩn xác tại Nha khoa I-Dent
Nha khoa I-Dent quy tụ đội ngũ bác sĩ chỉnh nha giàu kinh nghiệm, với hơn 10 năm thực hành lâm sàng và đạt các chứng nhận quốc tế uy tín. 100% Bác sĩ sở hữu chứng chỉ chỉnh nha POS (Hoa Kỳ) cùng chứng nhận Invisalign Platinum toàn cầu, đã điều trị thành công hàng ngàn ca niềng răng bằng khay trong suốt.
Nhờ nền tảng chuyên môn vững chắc và kinh nghiệm thực tế phong phú, bác sĩ sẽ đánh giá chính xác tình trạng răng, xây dựng phác đồ điều trị phù hợp, giúp răng dịch chuyển hiệu quả và đảm bảo tính thẩm mỹ lâu dài.

Mài kẽ răng an toàn và chuẩn xác tại Nha khoa I-Dent.
Đến nay, các bác sĩ tại Nha khoa I-Dent đã điều trị hơn 8.000 ca niềng răng thành công, nhận về nhiều đánh giá tích cực cùng sự tin tưởng từ bệnh nhân trong nước, Kiều bào và người nước ngoài. Tại I-Dent, quy trình mài kẽ răng được thực hiện theo đúng tiêu chuẩn an toàn, đảm bảo không xâm lấn quá mức và không gây tổn hại đến mô răng thật. Cùng với hệ thống trang thiết bị hiện đại và quy trình kiểm soát vô trùng nghiêm ngặt, bệnh nhân hoàn toàn yên tâm khi thực hiện mài kẽ răng và niềng chỉnh nha tại đây.
Hy vọng những thông tin trong bài viết đã giúp bạn hiểu rõ hơn về mài kẽ răng khi niềng và mức độ an toàn của phương pháp này. Thực tế, mài kẽ răng hoàn toàn không gây hại nếu được thực hiện đúng kỹ thuật và đúng chỉ định bởi bác sĩ chuyên môn cao. Quan trọng là bạn cần lựa chọn cơ sở nha khoa uy tín và tuân thủ hướng dẫn chăm sóc trong suốt quá trình niềng răng. Nếu còn băn khoăn về tình trạng của mình, bạn nên đến nha khoa để được thăm khám và tư vấn cụ thể.
CHUYÊN SÂU IMPLANT DÀNH CHO NGƯỜI VIỆT
- Cơ sở 1:19V Nguyễn Hữu Cảnh, P.19, Q.Bình Thạnh, TP.Hồ Chí Minh
- Cơ sở 2:193A-195 Hùng Vương, P.9, Quận 5, TP.Hồ Chí Minh
- Cơ sở 3:83 Đường số 3 Khu dân cư Cityland, P.10, Q.Gò Vấp, TP.Hồ Chí Minh