
Mất 4 Răng Liên Tiếp Nhau Thì Trồng Lại Bằng Cách Nào?

Cố vấn chuyên môn:TS.BS. Nguyễn Hiếu Tùng
- Giám đốc Nha khoa I-DENT
- 10 năm tu nghiệp tại Pháp - hơn 10.000 ca Implant thành công
Mất đến 4 răng liên tiếp là tình trạng một số người gặp phải do nhiều nguyên nhân khác nhau, làm ảnh hưởng lớn đến khả năng ăn nhai, sức khỏe và thẩm mỹ khuôn mặt. Cùng tìm hiểu giải pháp khắc phục tình trạng mất 4 răng liên tiếp trong bài viết sau đây.
1. Các phương pháp điều trị khi mất răng
Dưới đây là các loại trồng răng giả phổ biến hiện nay:
1.1 Phương pháp dùng hàm tháo lắp
Đây là phương pháp đơn giản và dễ thực hiện nhất vì không cần phải thực hiện bất kỳ biện pháp phẫu thuật can thiệp nào.
Hàm giả tháo lắp là một loại răng giả có thể tháo lắp ra khỏi miệng một cách dễ dàng. Cấu tạo gồm 2 phần là mô nướu và răng giả được gắn trực tiếp lên nướu, tất cả đều được chế tác bằng những vật liệu an toàn với cơ thể và được thiết kế giống như răng thật về hình dáng, kích thước, màu sắc.
Để giải quyết tình trạng mất 4 răng liên tiếp bằng phương pháp này, 4 chiếc răng giả cố định trên mô nướu sẽ được chế tác để thay thế.

Hàm giả tháo lắp cho 4 răng liên tiếp
Tuy nhiên, phương pháp này còn rất nhiều hạn chế như:
- Hàm tháo lắp không thay thế được phần răng bị mất chân nên không có tác dụng ngăn chặn tình trạng tiêu xương răng.
- Khả năng ăn nhai chỉ được phục hồi khoảng 40 – 60%, người sử dụng chỉ có thể ăn những thức ăn mềm, nhỏ và dễ cắn xé.
- Phải vệ sinh hàm giả thường xuyên và đúng cách: Sử dụng bàn chải lông mềm, vệ sinh cẩn thận 2 ngày/lần, khi đi ngủ phải ngâm hàm giả trong dung dịch nước muối. Nếu vệ sinh không kỹ sẽ gây ra tình trạng hôi miệng, viêm nha chu, ảnh hưởng đến các răng thật khác.
- Hàm giả tháo tháo dễ bị rơi rớt trong quá trình ăn uống và giao tiếp.
- Tính thẩm mỹ kém.
- Thời gian sử dụng hàm tháo lắp chỉ từ 3 – 5 năm.
1.2 Phương pháp làm cầu răng sứ
Làm cầu răng sứ là phương pháp phục hình lấy nền tảng từ kỹ thuật bọc răng sứ thẩm mỹ. Phương pháp này sử dụng 2 răng liền kề vị trí răng đã mất để làm cầu nối cho những chiếc răng sứ giả thay thế cho răng mất

Phục hình 4 răng bằng phương pháp làm cầu răng sứ
Tuy nhiên, phương pháp này không được khuyến khích vì những nguyên nhân sau:
- Làm cầu răng sứ không ngăn chặn được tình trạng tiêu xương.
- Khả năng ăn nhai chỉ được phục hồi từ 60 – 80%.
- Quá trình làm cầu răng bắt buộc phải mài đi hai răng thật, điều này sẽ làm răng thật bị tổn thương và dễ lung lay.
- Dễ gây bệnh viêm nha chu, tụt nướu, làm lộ răng sứ, gây mất thẩm mỹ.
- Dễ gây mẻ, vỡ răng sứ nếu ăn đồ quá cứng hoặc gặp sự cố.
- Thời gian sử dụng chỉ từ 7- 10 năm.
1.3 Phương pháp cấy ghép Implant
Cấy ghép implant là giải pháp có thể khắc phục được tất cả những khuyết điểm của hai phương pháp trên. Bằng việc sử dụng trụ Implant, khớp nối Abutment và mão răng sứ để thay thế đầy đủ cho cấu trúc của một chiếc răng thật bao gồm chân răng và thân răng.

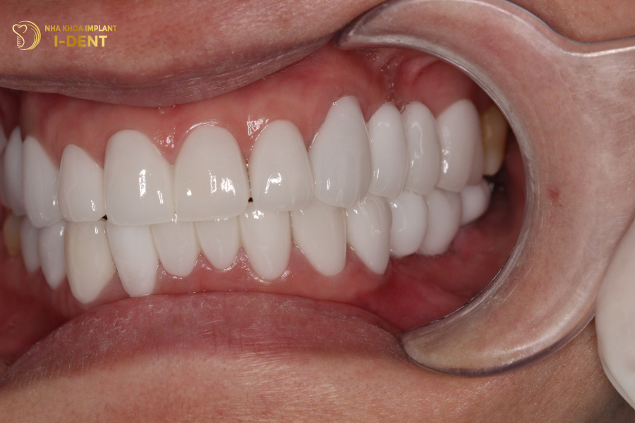
Cấy Implant cho trường hợp mất 4 răng liên tiếp
Trong trường hợp mất 4 răng liên tiếp, bạn chỉ cần cấy 3 trụ Implant và phục hình 4 răng sứ lên trên. Phương pháp trồng răng Implant luôn được bác sĩ khuyến khích thực hiện bởi hiệu quả mà nó mang lại:
- Ngăn chặn được tình trạng tiêu xương hàm, tụt nướu.
- Phục hồi hoàn toàn khả năng ăn nhai như răng thật.
- Tỉ lệ thành công lên đến 96% nếu được thực hiện bởi nha khoa uy tín, bác sĩ giỏi.
- Đảm bảo tính thẩm mỹ cao.
- Thời gian sử dụng vĩnh viễn.
Trồng răng giả cố định vĩnh viễn tiêu chuẩn quốc tế giá thành Việt Nam đang là lựa chọn hàng đầu của bệnh nhân việt kiều và trong nước khi có thể phục hồi 99% thẩm mỹ và ăn nhai trong thời gian ngắn… Tìm hiểm thêm
1.4 Phương pháp nào là tối ưu nhất?
Từ những so sánh trên, bạn có thể thấytrồng răng cửa giả Implant là phương pháp tối ưu nhất cho việc mất 4 răng liền kề. Tuy cấy implant giá khá cao do đòi hỏi sự hỗ trợ về trang thiết bị hiện đại và tay nghề bác sĩ giỏi. Nhưng thời gian sử dụng của răng implant có thể đến trọn đời, bạn không cần phải tốn thêm chi phí thay thế hay làm mới.
Tuy nhiên, khi muốn thực hiện trồng Implant, bạn cần lựa chọn những nha khoa uy tín, đảm bảo 2 yếu tố chính đó là tay nghề chuyên môn bác sĩ và chất lượng trang thiết bị, vì nó quyết định đến 95% tỉ lệ thành công của một ca cấy ghép Implant.
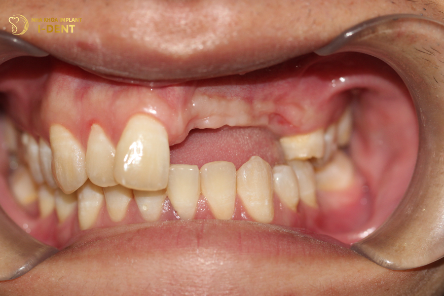
2. Hậu quả của việc mất 4 răng liên tiếp
Bất cứ vấn đề nào về răng miệng cũng sẽ ảnh hưởng đến việc ăn uống. Đặc biệt là khi mất nhiều răng liền kề thì ăn nhai càng bị hạn chế.
Do cả một khoảng trống lớn không có răng, khiến khả năng cắn xé và nhai ở vùng đó mất hoàn toàn. Điều này dẫn tới việc thức ăn chưa được nghiền nhỏ đã đưa xuống dạ dày, khiến dạ dày và ruột phải làm việc nhiều hơn, gây ra các bệnh về hệ tiêu hóa.
Đồng thời, khi mất nhiều răng liên tiếp, các răng cận kề sẽ dần bị xô lệch về phía những răng bị mất. Răng ở hàm đối diện cũng dần bị hạ xuống, lâu ngày sẽ dấn đến tình trạng bị sai lệch khớp cắn. Khi lực nhai giữa các răng không đồng đều sẽ ảnh hưởng đến dây thần kinh kết nối hai xương hàm, gây ra triệu chứng đau đầu, nặng hơn nữa là chứng rối loạn khớp thái dương – hàm.
Bên cạnh đó, khi không còn lực nhai để kích thích xương hàm thì tình trạng tiêu xương hàm sẽ diễn ra. Xương càng tiêu nhiều thì 2 má sẽ hóp vào, da nhăn nheo và khuôn mặt lão hóa ngày càng sớm.

Mất 4 răng liên tiếp khiến các răng bên cạnh bị xô lệch, trồi sụt
3. Mất răng hàm và phương pháp điều trị
3.1 Hậu quả của việc mất răng hàm
Răng hàm là những răng nằm phía trong cùng của cung hàm, to nhất, vững chắc nhất, và có nhiều chân răng nhất.
Răng hàm đảm nhận vai trò ăn nhai chính trên cung hàm, do đó khi bị mất răng sẽ ảnh hưởng nghiêm trọng đến sức khỏe và cấu trúc thẩm mỹ khuôn mặt:
- Chức năng ăn nhai mất đến 80%, ăn không ngon miệng.
- Thức ăn mắc vào vị trí mất răng gây hôi miệng, đau nhức, viêm nhiễm.
- Nếu bị mất răng hàm một bên sẽ dẫn đến việc ăn nhai nhiều ở bên còn lại, gây mất cân đối và bên răng hàm còn lại sẽ dần suy yếu.
- Tình trạng tiêu xương hàm sẽ diễn ra nhanh hơn, khiến cấu trúc xương mặt biến đổi mạnh: móm, hóp, da mặt chảy xệ.
3.2 Phương pháp chữa trị khi mất răng hàm lâu năm
Đối với trường hợp mất răng hàm lâu năm, xương hàm chắc chắn đã bị tiêu nhiều. Lúc này, bệnh nhân chỉ có thể phục hình bằng phương án làm răng hàm implant và cấy ghép thêm xương mới đảm bảo mang lại hiệu quả tốt và giải quyết dứt điểm các vấn đề khác.
Bác sĩ sẽ khuyến khích bệnh nhân lựa chọn những dòng trụ implant chất lượng, có độ bền và độ chịu lực cao để cấy ghép ở vị trí răng hàm bị mất. Các trụ implant thường được được sử dụng như: Mis C1 Đức, Tekka Global D Pháp, Nobel Biocare của Thụy Điển, Straumann SLActive Thụy Sĩ…
Mất răng hàm không nên làm cầu răng sứ do cấu trúc răng phức tạp. Mất răng hàm số 7 càng không làm cầu sứ được do không có răng kế bên để làm trụ.
4. Mất nhiều răng cửa liên tiếp nên dùng cách nào?
Trường hợp mất răng cửa liên tiếp bạn có thể chọn cả 3 phương án là làm răng giả tháo lắp, cầu răng sứ hoặc trồng implant để phục hình, nhưng tối ưu nhất vẫn là cấy ghép Implant.
Tương tự như trường hợp mất nhiều răng liên tiếp, bác sĩ sẽ kiểm tra thông qua phim chụp CT 3D để xác định số lượng và vị trí cấy ghép trụ Implant phù hợp, có thể đảm bảo được độ chịu lực và phân tán lực đều lên xương hàm.
Trường hợp mất nhiều răng liên tiếp vẫn có thể áp dụng phương pháp làm cầu răng sứ để đạt được hiệu quả. Nhưng chỉ tối đa mất từ 3 – 4 răng, trong trường hợp các răng kế cận và chân răng vẫn còn tốt.
5. Mất nhiều răng ở nhiều vị trí trồng lại ra sao?
Làm cầu răng sứ khó để áp dụng trong trường hợp mất nhiều răng ở nhiều vị trí khác nhau. Bệnh nhân chỉ có thể dùng hàm giả tháo lắp hoặc trồng Implant.
Việc dùng hàm giả tháo lắp sẽ tạo ra nhiều răng giả xen kẽ mà không tác động đến những răng thật còn lại. Tuy nhiên, hàm giả này sẽ không chắc chắn và tuổi thọ kém.
Trồng Implant giải quyết được mọi trường hợp mất răng. Nếu bệnh nhân mất quá nhiều răng xen kẽ và các chân răng thật đã yếu. Bác sĩ có thể nhổ bỏ cả răng thật và trồng lại Implant cho hiệu quả.
6. Vì sao mất 2 răng lại phải dùng tới 6 răng sứ?
Đối phương pháp làm cầu răng sứ, mỗi răng mất cần thêm 2 răng kề cận hai bên để làm cầu răng. Bác sĩ sẽ mài đi 2 răng thật kề cận, bọc sứ và bắt ở giữa là chiếc răng giả thay cho răng thật đã mất. Do đó, mất 1 răng nhưng sẽ cần đến 3 răng sứ và mất 2 răng thì phải cần đến 6 răng sứ.
Tuy nhiên, một số trường hợp mất 2 răng liền kề bác sĩ vẫn chỉ định làm 1 cầu 4 răng sứ được.
Bệnh nhân bị mất răng thì phải đến nha khoa hoặc bệnh viện uy tín để thăm khám. Bác sĩ sẽ tiến hành kiểm xác, xác định tình trạng bệnh và tư vấn phương án điều trị cụ thể. Không nên chủ quan để tình hình bệnh ngày càng phức tạp, để lại nhiều biến chứng nặng nề.
CHUYÊN SÂU IMPLANT DÀNH CHO NGƯỜI VIỆT
- Cơ sở 1:19V Nguyễn Hữu Cảnh, P.19, Q.Bình Thạnh, TP.Hồ Chí Minh
- Cơ sở 2:193A-195 Hùng Vương, P.9, Quận 5, TP.Hồ Chí Minh
- Cơ sở 3:83 Đường số 3 Khu dân cư Cityland, P.10, Q.Gò Vấp, TP.Hồ Chí Minh