
Người Bị Mất Răng Thì Có Niềng Được Không?

Cố vấn chuyên môn:TS.BS. Nguyễn Hiếu Tùng
- Giám đốc Nha khoa I-DENT
- 10 năm tu nghiệp tại Pháp - hơn 10.000 ca Implant thành công
Mất răng có thể niềng răng được nếu đáp ứng các điều kiện về sức khỏe răng miệng, tình trạng xương hàm và kích thước khoảng trống răng mất. Hai phương pháp niềng răng mắc cài và niềng răng trong suốt thường được ứng dụng để kéo các răng lại gần nhau, lấp đầy khoảng trống răng mất. Nếu khoảng trống không thể kéo khít, bác sĩ sẽ kết hợp niềng răng với trồng Implant hoặc làm cầu răng sứ để phục hình răng đã mất.
1. Cấu tạo của răng của người trưởng thành
Người trưởng thành thường có 32 cái răng, mỗi hàm trên dưới gồm 16 cái răng được sắp xếp đối xứng với nhau theo trục khuôn mặt. Những chiếc răng này được phân loại thành 4 nhóm là răng cửa, răng nanh, răng hàm nhỏ và răng hàm lớn.
- Nhóm răng cửa gồm 4 răng số 1 và 4 răng số 2, nằm ở giữa cung hàm. Những chiếc răng này đóng vai trò là cắn thức ăn thành từng mảnh nhỏ.
- Nhóm răng nanh chỉ gồm 4 răng số 3 nằm 2 bên răng cửa. Chiếc răng này có hình dạng nhọn, nhỏ, có chức năng chính là kẹp và xé thức ăn.
- Nhóm răng hàm nhỏ, hay còn gọi là răng tiền hàm, có 8 cái răng gồm 4 răng số 4 và 4 răng số 5. Nhóm răng này đảm nhiệm vai trò hỗ trợ nghiền nát thức ăn.
- Nhóm răng hàm lớn có 12 chiếc, là nhóm có số lượng răng nhiều nhất và kích thước lớn nhất. Trong đó, 4 răng số 6 và 4 răng số 7 đảm nhiệm chính trong quá trình nghiền nát thức ăn. Còn 4 răng số 8 (răng khôn) thường mọc sau tuổi thay răng, hay bị mọc ngầm, mọc lệch nên gần như không có khả năng ăn nhai và có thể nhổ bỏ nếu cần thiết.

Cấu tạo của răng của người trưởng thành
2. Nguyên nhân gây mất răng (thiếu răng)
Có nhiều nguyên nhân gây mất răng khác nhau, sau đây là những nguyên nhân phổ biến nhất:
- Vệ sinh răng miệng kém: Khi vệ sinh răng miệng không sạch sẽ làm tích tụ mảng bám ở các kẽ răng, làm cho vi khuẩn sinh sôi và gây các bệnh răng miệng như sâu răng, viêm lợi, viêm nha chu. Về lâu dài nếu không chữa trị có thể hư răng phải tiến hành nhổ bỏ làm mất răng.
- Chế độ ăn uống không hợp lý: Nếu không cung cấp đủ chất canxi, đặc biệt là với trẻ nhỏ thì làm răng không chắc chắn, răng dễ bị gãy rụng khiến cho răng bị mất.
- Thói quen xấu: Thói quen nghiến chặt răng làm chân răng yếu đi. Ngoài ra những người hút thuốc dễ mắc các bệnh răng miệng gây mất răng.
- Bị tai nạn, chấn thương: Vô tình bị té hoặc va đập mạnh có thể gây vỡ răng, gãy răng, mất răng trên cung hàm, thậm chí làm ảnh hưởng đến phần xương hàm.
- Do tuổi tác: Sự lão hóa tự nhiên khiến chân răng của người lớn yếu hơn, dễ bị lung sau, hoặc tình trạng suy giảm xương hàm dẫn đến răng bị rụng mất răng đặc biệt thường gặp là ở người lớn tuổi.
- Thay đổi nồng độ hormone: Ở tuổi dậy thì và khi mang thai, sự thay đổi hormone của phụ nữ làm mòn men răng, khiến răng dễ lung lay.
- Không khám răng định kỳ: Không đi khám định kỳ sẽ không rà soát được các bệnh lý về răng miệng có thể gây mất răng.
- Các vấn đề về sức khỏe: Một số bệnh lý như tiểu đường, viêm khớp thái dương hàm hoặc ung thư xương hàm khiến bệnh nhân rụng răng.

Bị sâu răng nên phải nhổ làm mất răng
3. Hậu quả của việc mất thiếu răng
Mất răng nếu không được khắc phục kịp thời có thể gây ra những ảnh hưởng nghiêm trọng với chức năng ăn nhai, thẩm mỹ và sức khỏe răng miệng lâu dài. Cụ thể:
- Suy giảm chức năng ăn nhai: Khi mất một hoặc nhiều răng, đặc biệt là răng hàm, khả năng nhai và nghiền nát thức ăn bị suy giảm. Thức ăn không được nghiền nát kỹ buộc dạ dày phải làm việc nhiều hơn làm phát sinh các vấn đề như rối loạn tiêu hóa, đau dạ dày,… Ngoài ra các răng xung quanh vị trí mất răng dễ bị xô lệch khi ăn uống, gây lệch khớp cắn.
- Ảnh hưởng khả năng phát âm: Răng đóng vai trò điều chỉnh âm trước khi tạo ra âm tiết. Vì vậy mất răng sẽ khiến âm tiết phát ra không chuẩn xác, gây khó khăn trong quá trình giao tiếp hằng ngày.
- Mất thẩm mỹ: Mất răng lâu ngày sẽ làm lệch mặt, má hóp, xuất hiện nếp nhăn ở vùng da quanh miệng làm cho khuôn mặt trông thiếu sức sống và già trước tuổi. Bên cạnh đó, nếu không còn các răng thuộc nhóm răng cửa, răng nanh, lúc cười hoặc nói chuyện sẽ bị lộ khoảng trống, làm giảm tính thẩm mỹ hơn khi giao tiếp.
- Dễ mắc các bệnh răng miệng: Răng mất đi sẽ để lại những khoảng trống trên cung hàm. Những vị trí này nếu không được vệ sinh kỹ càng sẽ dễ tích tụ vi khuẩn gây hại, dẫn tới các bệnh lý răng miệng.
- Gây tiêu xương, đau khớp xương hàm: Khi mất răng, ổ răng không còn nhận lực kích thích từ hoạt động nhai nuốt, làm suy giảm khối lượng và mật độ xương bao quanh chân răng. Ngoài ra, lực tác động lên các răng lân cận sẽ thay đổi, gây các vấn đề về khớp thái dương và đau đầu.

Mất răng gây khó khăn trong việc ăn uống
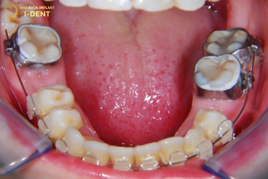
4. Mất răng có niềng được không?
Mất răng vẫn có thể niềng được. Với công nghệ điều trị hiện đại ngày nay, có thể tiến hành niềng răng cho các trường hợp mất răng lâu năm, mất răng cửa, răng hàm mà không gặp nhiều trở ngại. Thậm chí trong một số trường hợp mất răng còn giúp tạo khoảng trống phù hợp trên cung hàm, hỗ trợ răng dịch chuyển về vị trí mong muốn. Cụ thể, bác sĩ dùng mắc cài hoặc khay niềng để kéo răng lân cận vào, lấp đầy khoảng trống do răng bị mất để lại, đồng thời sắp xếp lại vị trí các răng mọc sai lệch.

Mất răng hàm có thể niềng răng được
Tuy nhiên trong một số trường hợp không thể kéo răng lại gần nhau thì buộc phải kết hợp niềng răng với các biện pháp phục hình răng bị mất như trồng răng Implant hoặc làm cầu răng sứ.
Tùy vào tình trạng răng thực tế của bệnh nhân mà bác sĩ sẽ đưa ra phương án điều trị tối ưu nhất. Vì vậy hãy tìm đến các nha khoa niềng răng uy tín để được thăm khám và tư vấn biện pháp khắc phục mất răng phù hợp.
5. Các câu hỏi thường gặp
5.1 Mất răng lâu năm có niềng được không?
Mất răng lâu năm vẫn có thể niềng khi tình trạng xương hàm ổn và không bị mắc các bệnh lý về răng miệng. Tuy nhiên nếu bị tiêu xương hàm do mất răng quá lâu thì không thể áp dụng niềng răng để điều trị nữa. Thay vào đó, bạn có thể chọn phương án trồng răng Implant để cải thiện ăn nhai và thẩm mỹ.
5.2 Mất răng cửa (răng số 2) có niềng được không?
Mất răng số 2 vẫn có thể niềng được. Vì khi niềng răng, các khí cụ sẽ giúp răng dịch chuyển và lấp vào khoảng trống do răng cửa để lại. Nhưng nếu khoảng trống mà răng số 2 để lại quá lớn, niềng răng không thể khắc phục hoàn toàn mà phải áp dụng các phương pháp điều trị khác như trồng răng Implant hoặc cầu răng sứ để đảm bảo hiệu quả.
5.3 Mất răng hàm có niềng răng được không?
Mất răng hàm có thể niềng răng bằng cách sử dụng mắc cài để kéo các răng lân cận lại, lấp đầy khoảng trống mà răng hàm để lại. Tuy nhiên ca niềng sẽ có độ phức tạp cao, bác sĩ cần đánh giá tình trạng các răng xung quanh (đặc biệt là răng khôn) và xương hàm để lập phác đồ điều trị phù hợp. Bởi răng hàm tương đối lớn, có vai trò nghiền nát thức ăn nên khi mất đi sẽ để lại khoảng trống rộng và ảnh hưởng ăn nhai. Trong vài trường hợp, có thể phải cắm minivis để làm điểm neo chặn.
5.4 Mất răng số 3 có niềng được không?
Có thể niềng răng dù bị mất răng số 3. Phụ thuộc số lượng răng số 3 bị mất và tình trạng của các răng lân cận, bác sĩ sẽ đưa ra hướng giải quyết phù hợp. Trong vài trường hợp, cần phải trồng răng Implant để khôi phục các răng đã mất.
5.5 Mất răng số 5 có niềng được không?
Mất răng số 5 vẫn có thể thực hiện niềng răng bình thường. Thậm chí trong nhiều ca niềng, bác sĩ còn chỉ định nhổ răng số 5 để tạo khoảng trống cho răng dịch chuyển. Nhưng nếu bị mất 5 răng, bạn cần được thăm khám cẩn thận để đưa ra phác đồ điều trị tối ưu nhất.
Tóm lại, bị mất răng vẫn có thể niềng răng được nếu thời gian mất răng chưa quá lâu và sức khỏe răng miệng của bạn trong tình trạng ổn định. Mỗi vị trí mất răng sẽ có cách điều trị khác nhau. Cần phải sớm tiến hành điều trị mất răng nếu không sẽ gây các biến chứng không tốt cho sức khỏe răng miệng và sinh hoạt của bệnh nhân.
CHUYÊN SÂU IMPLANT DÀNH CHO NGƯỜI VIỆT
- Cơ sở 1:19V Nguyễn Hữu Cảnh, P.19, Q.Bình Thạnh, TP.Hồ Chí Minh
- Cơ sở 2:193A-195 Hùng Vương, P.9, Quận 5, TP.Hồ Chí Minh
- Cơ sở 3:83 Đường số 3 Khu dân cư Cityland, P.10, Q.Gò Vấp, TP.Hồ Chí Minh