Răng số 5 là răng nào? Hậu quả khi mất răng số 5

Cố vấn chuyên môn:TS.BS. Nguyễn Hiếu Tùng
- Giám đốc Nha khoa I-DENT
- 10 năm tu nghiệp tại Pháp - hơn 10.000 ca Implant thành công
Răng số 5 là răng hàm nhỏ thứ nhất, đóng vai trò quan trọng trong ăn nhai và định hình khớp cắn. Do đó, khi mất răng số 5 hàm trên hay hàm dưới đều gây ra những hậu quả nghiêm trọng làm suy giảm khả năng nghiền thức ăn dẫn đến tiêu hóa kém, xô lệch các răng bên cạnh, tiêu xương hàm, gây mất thẩm mỹ khuôn mặt và làm tăng nguy cơ mắc các bệnh lý răng miệng khác.
1. Răng số 5 là răng nào trên cung hàm?
Răng số 5 là răng hàm nhỏ thứ nhất (còn gọi là răng tiền hàm), răng số 5 nằm ở vị trí thứ 5 tính từ răng cửa giữa trên mỗi cung hàm. Người trưởng thành có 32 răng vĩnh viễn, trong đó răng số 5 có 4 chiếc với 2 răng ở hàm trên và 2 răng ở hàm dưới.
Răng số 5 sở hữu cấu trúc giải phẫu rất đặc trưng với răng số 5 hàm trên có 2 chân răng (chân má và chân vòm miệng), còn răng số 5 hàm dưới chỉ có 1 chân răng duy nhất. Bề mặt nhai của răng số 5 có hình chữ nhật với 2 củ nhai chính (củ má và củ lưỡi), được ngăn cách bởi rãnh giữa chạy từ phía trước ra sau. Đặc biệt, chiều cao trung bình của răng số 5 dao động từ 8-9mm, với bề mặt nhai rộng nên nghiền nát và xé nhỏ thức ăn rất hiệu quả.
Răng số 5 đóng vai trò nghiền nát thức ăn từ dạng khối lớn thành các mảnh nhỏ hơn trước khi chuyển sang răng hàm lớn, đồng thời phân bố lực cắn đều trên toàn bộ cung hàm và hỗ trợ hệ tiêu hóa hoạt động hiệu quả hơn.

Răng số 5 là răng hàm nhỏ thứ nhất trên cung hàm.
2. Mất răng số 5 có nguy hiểm không?
Mất răng số 5 hàm trên hay hàm dưới đều rất nguy hiểm vì gây suy giảm khả năng ăn nhai, xô lệch răng, tiêu xương hàm, mất thẩm mỹ khuôn mặt và tăng nguy cơ bệnh răng miệng.
Nhiều người thường chủ quan khi mất răng số 5 vì cho rằng khoảng trống nhỏ không ảnh hưởng nhiều, nhưng thực tế đây là sai lầm nghiêm trọng. Theo thống kê của WHO, có tới 68% người mất răng số 5 không phục hồi kịp thời đã gặp ít nhất 1 trong 5 biến chứng nghiêm trọng sau chỉ 1-2 năm.
Đặc biệt, tiêu xương hàm bắt đầu diễn ra chỉ sau 3 tháng kể từ khi mất răng, với tốc độ mất 25% thể tích xương trong năm đầu tiên và tiếp tục giảm 1-2% mỗi năm sau đó. Quan trọng hơn, các răng bên cạnh sẽ dịch chuyển về phía khoảng trống, trong khi răng đối diện trồi lên hoặc thụt xuống tạo thành chuỗi biến chứng khó phục hồi nếu kéo dài quá 2-3 năm.

Mất răng số 5 hàm trên hay hàm dưới đều rất nguy hiểm.
3. Hậu quả khi mất răng số 5 hàm trên và hàm dưới
Mất răng số 5 hàm trên hay mất răng số 5 hàm dưới đều để lại những hậu quả nghiêm trọng làm suy giảm khả năng ăn nhai ảnh hưởng xấu đến tiêu hóa, gây xô lệch răng làm mất cân bằng khớp cắn, tiêu xương hàm, mất thẩm mỹ khuôn mặt và tăng nguy cơ mắc các bệnh lý răng miệng như viêm nướu hoặc viêm nha chu.
3.1. Suy giảm khả năng ăn nhai và tiêu hóa kém
Suy giảm khả năng ăn nhai xảy ra do mất răng số 5 làm giảm 30-40% hiệu quả nghiền nát thức ăn. Khi mất răng này buộc người bệnh phải nhai bằng các răng hàm lớn phía sau nhưng các răng hàm lớn hoàn toàn không thể thay thế chức năng của răng số 5, dẫn đến thực ăn không được nghiền nát kỹ trước khi nuốt và gây ra các vấn đề về tiêu hóa nghiêm trọng.
Thức ăn không được nghiền đủ nhỏ sẽ làm tăng gánh nặng cho dạ dày, dẫn đến tiết acid dạ dày tăng cao, gây đầy hơi khó tiêu, trào ngược dạ dày thực quản. Về lâu dài, tình trạng này có thể gây viêm loét dạ dày, viêm tá tràng và thậm chí hội chứng ruột kích thích (IBS).

Suy giảm khả năng ăn nhai.
3.2. Gây xô lệch răng
Răng xô lệch là hậu quả diễn ra do các răng bên cạnh di chuyển về phía khoảng trống của răng số 5, đồng thời răng đối diện mọc dài ra dẫn đến mất cân bằng khớp cắn và ảnh hưởng toàn bộ hệ thống răng miệng.
Sau khi mất răng số 5, răng số 4 (phía trước) và răng số 6 (phía sau) sẽ nghiêng về khoảng trống để lấp đầy chỗ trống. Quá trình này bắt đầu sau 6-12 tháng, với tốc độ di chuyển khoảng 0.5-1mm mỗi năm. Răng số 5 hàm đối diện sẽ dần dần mọc dài xuống vì không còn lực cắn cản trở. Khi răng di chuyển và mọc lệch, khớp cắn không còn đều trên toàn bộ hàm răng dẫn đến một số răng chịu áp lực quá mức làm mất cân đối cung hàm, sai lệch khớp cắn và rối loạn khớp thái dương hàm.
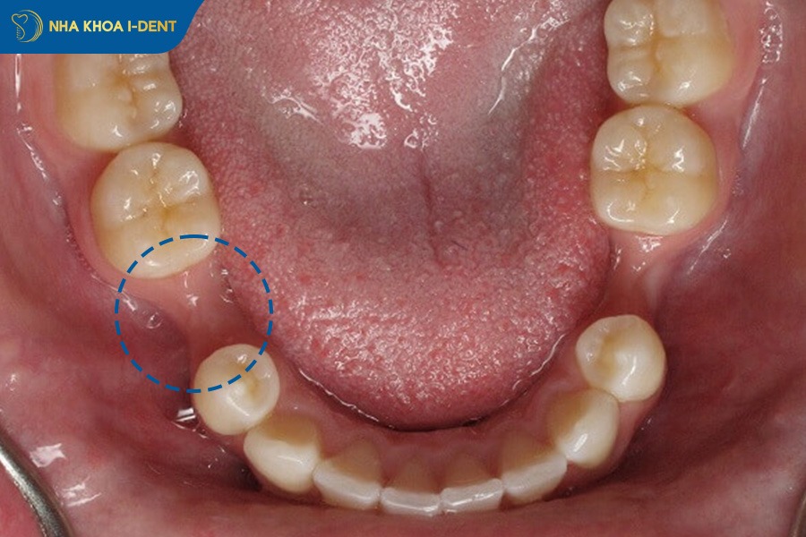
3.3. Tiêu xương hàm
Tiêu xương hàm là biến chứng lâu dài và nguy hiểm nhất khi mất răng số 5, diễn ra do không còn lực tác động từ chân răng lên xương ổ răng, dẫn đến xương tự tiêu hủy dần theo thời gian và gây khó khăn nghiêm trọng cho việc cấy ghép implant sau này.
Trên thực tế, sau khi mất răng số 5 khoảng 3 tháng, xương ổ răng đã bắt đầu tiêu giảm từ 10–15% chiều rộng. Giai đoạn từ 4–12 tháng được xem là thời điểm tiêu xương diễn ra mạnh nhất, có thể làm mất 25–30% thể tích xương. Sau đó, mỗi năm xương hàm tiếp tục tiêu thêm khoảng 1–2%, khiến nền xương ngày càng suy yếu làm cho cấy ghép implant trở nên cực kỳ khó khăn vì cần ghép xương tốn kém.

Tiêu xương hàm tại vị trí mất răng số 5.
3.4. Mất thẩm mỹ khuôn mặt
Dù không nằm ở vị trí răng cửa nhưng mất răng số 5 lâu ngày vẫn có thể ảnh hưởng đến đường nét khuôn mặt. Tiêu xương hàm làm má hóp, vùng miệng kém đầy đặn, khuôn mặt trông già hơn so với tuổi thật. Ngoài ra, khi nói chuyện hoặc cười lớn, khoảng trống mất răng vẫn có thể lộ rõ, gây mất tự tin trong giao tiếp.

Hóp má gây mất thẩm mỹ khuôn mặt.
3.5. Tăng nguy cơ mắc bệnh lý răng miệng
Mất răng số 5 làm tăng nguy cơ mắc bệnh răng miệng diễn ra do khoảng trống của răng số 5 tạo kẽ hở dễ tích tụ thức ăn thừa và vi khuẩn, đồng thời khó vệ sinh sạch sẽ, dẫn đến sâu răng, viêm nướu, viêm nha chu ở các răng lân cận và hôi miệng kéo dài. Nếu không can thiệp kịp thời, các bệnh lý này có thể lan rộng, ảnh hưởng đến sức khỏe răng miệng toàn hàm.
4. Phương pháp phục hình răng số 5 hiệu quả
Hiện nay, có 3 giải pháp phục hình răng số 5 được áp dụng phổ biến gồm cấy ghép Implant (bền vững 20-25 năm, ngăn tiêu xương, chi phí 15-30 triệu), làm cầu răng sứ (nhanh chóng, bền 7-10 năm, chi phí 1-14 triệu) và hàm giả tháo lắp (giá rẻ từ 300 ngàn – 10 triệu, phù hợp người cao tuổi không thể cấy implant).
4.1. Cấy ghép implant răng số 5
Cấy ghép implant là phương pháp phục hình hiện đại và tối ưu nhất khi mất răng số 5. Bác sĩ sẽ đặt một trụ implant bằng titanium vào xương hàm để thay thế chân răng đã mất, sau đó gắn mão răng sứ lên trên, tái tạo lại chiếc răng hoàn chỉnh cả về hình dáng lẫn chức năng.
Ưu điểm nổi bật của implant răng số 5 là khôi phục khả năng ăn nhai gần như răng thật 95%, ngăn chặn hiệu quả tình trạng tiêu xương hàm và không cần xâm lấn các răng kế cận. Ngoài ra, răng implant có độ bền cao, tuổi thọ lâu dài từ 25 năm đến trọn đời và đảm bảo tính thẩm mỹ tự nhiên.
Nhược điểm duy nhất của phương pháp trồng răng implant là chi phí ban đầu cao hơn so với cầu răng sứ và hàm giả tháo lắp. Tuy nhiên, nếu xét về giá trị sử dụng lâu dài, implant lại được đánh giá là giải pháp tiết kiệm và hiệu quả hơn. Răng implant có độ bền cao, khả năng ăn nhai ổn định và không cần thay thế nhiều lần như các phương pháp khác, đồng thời giúp ngăn chặn tiêu xương hàm bảo tồn cấu trúc khuôn mặt và sức khỏe răng miệng về lâu dài.

Trồng implant răng số 5.
4.2. Làm cầu răng sứ thay răng số 5
Cầu răng sứ là phương pháp phục hình răng số 5 bằng cách mài nhỏ hai răng thật kế cận (thường là răng số 4 và răng số 6) để làm trụ nâng đỡ, sau đó gắn dãy mão sứ liền nhau nhằm lấp đầy khoảng trống mất răng.
Ưu điểm của cầu răng sứ là thời gian thực hiện nhanh, chi phí thấp hơn so với implant và khả năng ăn nhai tương đối ổn định. Tuy nhiên, nhược điểm lớn nhất là phải xâm lấn răng thật khỏe mạnh và không ngăn chặn được tình trạng tiêu xương hàm tại vị trí mất răng. Sau một thời gian sử dụng, nếu không chăm sóc tốt thì các răng trụ (răng số 4 và 6) có thể bị suy yếu và phải chụp mão sứ suốt đời.

Làm cầu răng sứ thay răng số 5.
4.3. Làm hàm giả tháo lắp cho răng số 5
Hàm giả tháo lắp là phương pháp phục hình đơn giản, thường được áp dụng cho người lớn tuổi hoặc những trường hợp không đủ điều kiện cấy ghép implant. Phương pháp này sử dụng khung hàm hoặc nền nhựa gắn răng giả để thay thế răng số 5 đã mất.
Ưu điểm của hàm giả tháo lắp là chi phí thấp, dễ thực hiện và thời gian phục hình nhanh. Tuy nhiên, khả năng ăn nhai hạn chế, dễ gây vướng víu, lỏng lẻo và rơi ra khi sử dụng lâu dài và không có tác dụng ngăn tiêu xương hàm. Do đó, đây chỉ được xem là giải pháp phục hình răng số 5 tạm thời.

Làm hàm giả tháo lắp cho răng số 5.
5. Những trường hợp chỉ định nhổ răng số 5
Không phải mọi trường hợp răng số 5 gặp vấn đề đều cần nhổ bỏ. Trên thực tế, bác sĩ= sẽ luôn ưu tiên các phương pháp bảo tồn răng thật tối đa. Tuy nhiên, trong trường hợp răng số 5 bị sâu nặng, bị lung lay, mọc lệch, hoặc nhổ để niềng răng thì việc nhổ răng số 5 là cần thiết nhằm loại bỏ nguy cơ viêm nhiễm, đảm bảo hiệu quả điều trị và duy trì sự ổn định lâu dài cho toàn bộ cung hàm.
- Răng số 5 bị sâu nặng, tổn thương lan rộng xuống tủy hoặc thân răng vỡ lớn, không còn khả năng phục hồi bằng trám răng hay bọc răng sứ.
- Nhổ răng số 5 để niềng răng trong các trường hợp răng hô, móm, chen chúc nặng, cần tạo khoảng trống trên cung hàm để sắp xếp răng về vị trí đúng, giúp quá trình chỉnh nha đạt hiệu quả tối ưu.
- Răng số 5 bị lung lay nhiều do viêm nha chu nặng, tiêu xương quanh răng, không thể cố định hoặc bảo tồn bằng các biện pháp điều trị nha chu thông thường.
- Răng số 5 mọc lệch, mọc sai vị trí, gây cản trở khớp cắn, ảnh hưởng đến chức năng ăn nhai hoặc làm tăng nguy cơ mắc các bệnh lý răng miệng khác.
Tóm lại, răng số 5 đóng vai trò quan trọng trong hệ thống răng miệng, mất răng số 5 gây ra nhiều hậu quả nghiêm trọng từ tiêu xương hàm, răng xô lệch đến ảnh hưởng tiêu hóa và thẩm mỹ. Do đó, khi mất răng số 5, bạn nên phục hồi càng sớm càng tốt bằng phương pháp trồng răng implant, cầu răng sứ hoặc hàm tháo lắp. Hãy tham khảo ý kiến bác sĩ để chọn phương pháp trồng răng đúng đắn nhất cho sức khỏe răng miệng của bạn.
CHUYÊN SÂU IMPLANT DÀNH CHO NGƯỜI VIỆT
- Cơ sở 1:19V Nguyễn Hữu Cảnh, P.19, Q.Bình Thạnh, TP.Hồ Chí Minh
- Cơ sở 2:193A-195 Hùng Vương, P.9, Quận 5, TP.Hồ Chí Minh
- Cơ sở 3:83 Đường số 3 Khu dân cư Cityland, P.10, Q.Gò Vấp, TP.Hồ Chí Minh