
Nhận Biết 7 Dấu Hiệu Tiêu Xương Răng Thường Gặp

Cố vấn chuyên môn:TS.BS. Nguyễn Hiếu Tùng
- Giám đốc Nha khoa I-DENT
- 10 năm tu nghiệp tại Pháp - hơn 10.000 ca Implant thành công
Tiêu xương răng là hệ quả thường gặp sau khi mất răng lâu ngày hoặc do các bệnh lý nha chu gây ra. Một số dấu hiệu tiêu xương răng dễ nhận thấy gồm nướu tụt lộ chân răng, răng lung lay, đau khi nhai, răng xô lệch, má hóp và khuôn mặt trở nên già nua, mất cân đối,.. nhận biết dấu hiệu tiêu xương răng để có hướng khắc phục kịp thời, ngăn ngừa biến chứng và duy trì thẩm mỹ khuôn mặt lâu dài.
1. Tiêu xương răng là gì?
Tiêu xương răng là tình trạng phần xương ổ răng hoặc xương xung quanh chân răng bị suy giảm từ từ về mật độ, số lượng, thể tích và chiều cao. Nguyên nhân tiêu xương răng xuất phát từ bệnh viêm nha chu hoặc mất răng lâu ngày không được phục hình. Quá trình tiêu xương diễn ra âm thầm, không gây đau ngay từ đầu nên nhiều người chỉ phát hiện khi tình trạng đã trở nên nghiêm trọng, thậm chí có thể tiến triển đến mức tiêu xương hàm gây biến dạng khuôn mặt.
Bị tiêu xương răng gây ra các tác động tiêu cực đến thẩm mỹ hoặc ảnh hưởng trực tiếp đến chất lượng cuộc sống của người bệnh, chẳng hạn như:
- Khó ăn nhai và nói chuyện
- Xuất hiện nếp nhăn sớm quanh miệng và môi mỏng đi làm gương mặt trông già hơn
- Thiếu tự tin khi giao tiếp
- Gây đau và khó chịu khi ăn nhai hoặc vệ sinh răng miệng
- Tác động tiêu cực đến quá trình trống răng sau này vì nền xương không đủ thể tích để cấy implant hoặc làm cầu răng sứ.

Tiêu xương răng ảnh hưởng đến thẩm mỹ và sức khỏe răng miệng.
Bệnh nhân có thể dễ dàng nhận thấy những biểu hiện tiêu xương răng ban đầu:
- Sai lệch khớp cắn: Sau khi mất răng, các răng kế cận có xu hướng nghiêng và đổ dồn về khoảng trống mất răng, trong khi răng đối diện lại mọc trồi lên hoặc xuống, làm cho khớp cắn bị lệch. Đồng thời, lực nhai phân bố không đều và các răng còn lại phải hoạt động nhiều hơn làm răng dần yếu đi, dễ lung lay hoặc gãy rụng.
- Tụt nướu: Khi xương ổ răng bị tiêu, phần nướu phía trên không còn được nâng đỡ vững chắc, khiến bờ nướu tụt dần, lộ chân răng và tạo điều kiện cho vi khuẩn xâm nhập gây viêm nha chu, nếu kéo dài, tình trạng này có thể dẫn đến mất thêm răng.
- Khuôn mặt bị hóp, móm hoặc méo: Tiêu xương hàm khiến xương hàm dưới ngắn lại, phần má hóp, da quanh miệng chảy xệ và xuất hiện nhiều nếp nhăn. Gương mặt trở nên móm, lệch và lão hóa nhanh hơn, đặc biệt rõ ở người bị tiêu xương toàn hàm.
2. 7 Dấu hiệu tiêu xương răng thường gặp
Tiêu xương răng không xảy ra ngay lập tức mà diễn tiến âm thầm theo thời gian. Dưới đây là 7 dấu hiệu tiêu xương răng thường gặp để bệnh nhân sớm nhận biết và có hướng điều trị kịp thời.
2.1. Xương tại vị trí mất răng bị thu hẹp về kích thước và chiều cao
Sau khi mất răng, phần xương ổ răng tại vị trí đó không còn nhận được lực nhai tự nhiên khiến xương bắt đầu tiêu dần theo thời gian. Thời gian đầu khi bị mất 1 hoặc nhiều răng mà chưa kịp trồng lại răng mới thì khi há miệng và soi gương sẽ thấy xương của vùng mất răng (vẫn đang được bao phủ bởi mô lợi) đang bị thu hẹp về chiều cao và hoặc chiều trong ngoài.
Tuy nhiên, nếu một thời gian dài không can thiệp thì tình trạng xương bị tiêu nặng, lúc này sẽ thấy một gờ xương nhô cao ở giữa vùng sống hàm, phía phía bên trong và bên ngoài thấp hơn. Còn theo chiều trên dưới, sẽ thấy vùng xương mất răng bị thấp xuống tạo thành mọt lõm trũng sâu so với các vùng xương kế cận.
Những thay đổi này là dấu hiệu cảnh báo tiêu xương răng đang diễn tiến nghiêm trọng. Nếu không được thăm khám và can thiệp kịp thời, phần xương có thể tiêu đến mức không đủ thể tích để trồng răng mới.

Sau khi mất răng, vùng xương ổ răng dần thu hẹp và lõm sâu.
2.2. Xoang hàm hạ thấp ở khu vực mất răng
Dấu hiệu xoang hàm hạ thấp ở khu vực mất răng không thể nhận biết bằng mắt thường mà chỉ phát hiện qua phim chụp X-quang hoặc CT Cone Beam 3D. Khi đó, bác sĩ nha khoa sẽ là người đánh giá chính xác mức độ ảnh hưởng của việc mất răng tại vùng xoang hàm đối với vị trí của xoang. Các răng thường bị mất ở vùng xoang hàm là răng hàm nhỏ và răng hàm lớn.
Hiện tượng xoang hàm hạ thấp đồng nghĩa với việc vùng xương răng liền kề đã bị tiêu. Thời gian mất răng càng lâu thì thể tích xoang càng lớn. Đối với các trường hợp này nếu thực hiện phục hình răng giả có thể sẽ được bác sĩ chỉ định thực hiện thêm thủ thuật nâng xoang.
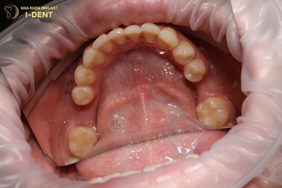
2.3. Nướu sưng đỏ và chảy máu chân răng
Một trong những dấu hiệu sớm của tiêu xương răng là nướu bị sưng, nướu có màu đỏ và dễ chảy máu chân răng khi chải răng hoặc ăn nhai. Nguyên nhân chủ yếu đến từ việc vệ sinh răng miệng chưa đúng cách, khiến mảng bám và cao răng tích tụ lâu ngày, tạo môi trường thuận lợi cho vi khuẩn phát triển và gây viêm. Ngoài ra, viêm nướu còn gây hôi miệng, ảnh hưởng đến giao tiếp và chất lượng cuộc sống.

Nướu sưng đỏ và chảy máu khi chải răng.
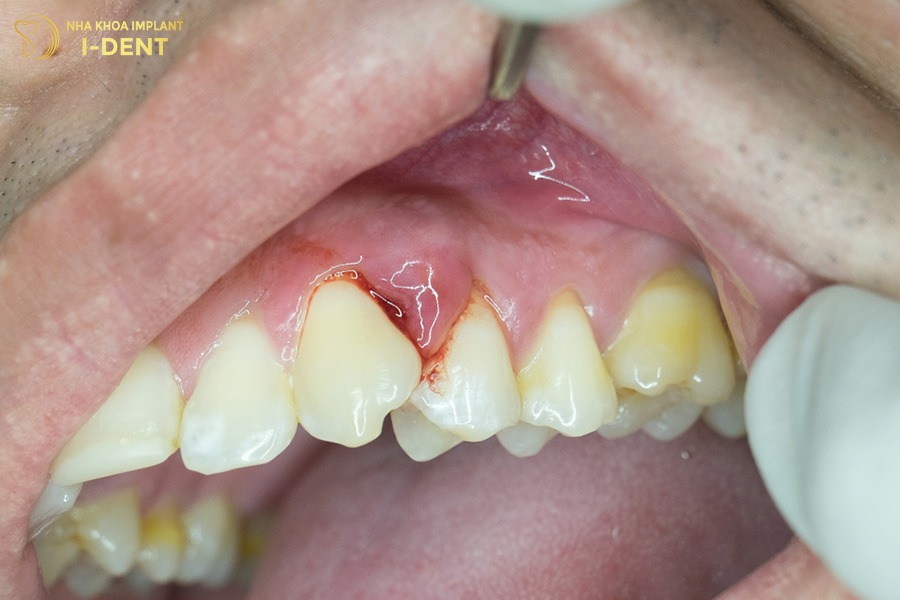
2.4. Nướu tụt và thân răng dài lộ ra
Khi xương ổ răng bị tiêu giảm, phần mô nướu phía trên cũng tụt dần xuống làm cho phần chân răng lộ ra trông dài hơn bình thường. Bên cạnh đó, vi khuẩn có thể xâm nhập sâu vào mô nướu, gây nhiễm trùng và làm xương ổ răng tiêu dần theo thời gian. Nếu không được điều trị thì nướu sẽ tiếp tục tụt sâu hơn, làm tăng nguy cơ viêm nha chu, lung lay răng hoặc mất răng vĩnh viễn. Đây được xem là hiện tượng răng bị tiêu xương ngay cả khi không bị mất răng.

Nướu tụt khiến thân răng trông dài hơn.
2.5. Ê buốt chân răng
Tiêu xương răng làm cho phần chân răng bị lộ ra ngoài, khi đó lớp ngà răng không còn được bảo vệ sẽ trở nên nhạy cảm với các thực phẩm nóng, lạnh, chua hoặc ngọt, gây cảm giác nhói buốt khó chịu khi ăn uống hoặc chải răng. Ngoài ra, vi khuẩn và mảng bám tích tụ quanh cổ răng có thể làm tổn thương thêm mô nướu và men răng khiến tình trạng ê buốt ngày càng trầm trọng. Dấu hiệu ê buốt chân răng có thể xem là hệ quả do bị tiêu xương răng gây ra.
2.6. Răng lung lay, yếu và đau khi nhai
Răng trở nên lung lay hoặc yếu đi là một trong những dấu hiệu rõ ràng nhất của tiêu xương răng. Khi xương ổ răng bị tiêu, răng không còn điểm tựa vững chắc nên bị lung lay gây ra cảm giác đau âm ỉ và ê buốt khi ăn nhai.
Nguyên nhân chủ yếu thường xuất phát từ vệ sinh răng miệng kém khiến mảng bám và vi khuẩn tích tụ quanh chân răng gây viêm nha chu. Quá trình viêm này diễn ra âm thầm trong thời gian dài, phá hủy dần mô nâng đỡ và xương quanh răng. Khi mô xương không còn đủ để giữ răng thì bệnh nhân có thể cảm thấy đau, khó nhai hoặc mất răng hoàn toàn nếu không được điều trị kịp thời.

Răng lung lay, yếu và đau khi nhai.
2.7. Cấu trúc khuôn mặt thay đổi ảnh hưởng thẩm mỹ
Bệnh nhân bị tiêu xương sẽ nhận thấy má hóp lại, khuôn miệng chảy xệ, vùng cằm nhô ra hoặc lõm xuống làm cho khuôn mặt trông già hơn tuổi thật. Trong nhiều trường hợp, quá trình tiêu xương không đồng đều còn khiến khuôn mặt bị lệch nhẹ, các đường nét trở nên mất cân đối và thiếu hài hòa.

Tiêu xương răng làm cho khuôn mặt biến dạng.
3. Nguyên nhân gây tiêu xương răng
Có nhiều nguyên nhân dẫn đến tiêu xương răng:
- Mất răng lâu ngày: Khi răng bị mất mà không được trồng lại, xương hàm mất đi lực nhai kích thích tự nhiên dẫn đến hiện tượng tiêu xương tại vị trí đó.
- Tích tụ cao răng: Cao răng và mảng bám chứa nhiều vi khuẩn gây viêm nướu, tổn thương dây chằng quanh răng và phá hủy cấu trúc xương nâng đỡ.
- Bệnh viêm nha chu: Tình trạng viêm sâu quanh răng làm tiêu dây chằng nha chu và ổ xương răng làm cho răng yếu, lung lay và tiêu xương dần theo thời gian.
- Sử dụng hàm giả tháo lắp hoặc cầu răng sứ: Các phương pháp hàm tháo lắp hay cầu răng sứ chỉ phục hình phần thân răng và không có chân răng giả nên không tạo được lực tác động lên xương hàm làm cho tiêu xương diễn ra nhanh hơn.
- Chấn thương vùng hàm hoặc sai khớp cắn: Lực nhai lệch, va đập mạnh hoặc khớp cắn không đều làm xương chịu lực không đồng đều gây tiêu xương cục bộ.
4. Tiêu xương răng có nguy hiểm không?
Tiêu xương răng là biến chứng nguy hiểm sau khi mất răng mà nhiều bệnh nhân thường chủ quan bỏ qua. Tình trạng tiêu xương răng nếu không được điều trị kịp thời sẽ làm cho xương hàm suy yếu, biến dạng cấu trúc khuôn mặt và đẩy nhanh quá trình lão hóa. Càng để lâu thì việc phục hồi xương và trồng răng mới càng khó khăn hơn.
Một số hậu quả thường gặp khi bị tiêu xương răng kéo dài:
- Mất răng hàng loạt: Răng bên cạnh vị trí mất răng có xu hướng đổ nghiêng, răng đối diện trồi lên. Lâu ngày sẽ dẫn đến sai lệch khớp cắn do lực nhai phân bổ không đều khiến các răng khác yếu dần và dễ rụng hàng loạt.
- Móm mặt và biến dạng gương mặt: Xương hàm bị tiêu làm má hóp, môi mỏng, khuôn mặt mất cân đối và trông bệnh nhân sẽ già hơn so với tuổi thật.
- Giảm khả năng ăn nhai và ảnh hưởng phát âm: Khi xương hàm bị tiêu thì răng không còn vững chắc nên lực nhai giảm. Bệnh nhân gặp khó khăn khi nhai đồ cứng, phát âm không rõ và dễ mắc các bệnh lý tiêu hóa do thức ăn không được nghiền nát kỹ.

Tiêu xương răng suy giảm chức năng ăn nhai và thẩm mỹ nghiêm trọng.
5. Giải pháp phòng ngừa tiêu xương răng
Trồng răng Implant là phương pháp duy nhất có khả năng ngăn chặn quá trình tiêu xương răng. Trụ Implant được cấy trực tiếp vào xương hàm thay thế cho chân răng thật kích thích xương phát triển tự nhiên như khi còn răng thật. Nhờ đó, mật độ và thể tích xương được duy trì ổn định, ngăn ngừa hiện tượng tiêu xương, móm mặt hay biến dạng khuôn mặt về lâu dài. Bên cạnh đó, răng implant còn có độ bền cao và mang lại khả năng ăn nhai và thẩm mỹ tự nhiên tương đương răng thật.
Ngoài ra, để hạn chế tối đa nguy cơ tiêu xương răng, bệnh nhân cần duy trì vệ sinh răng miệng đúng cách, chải răng ít nhất 2 lần/ngày, dùng chỉ nha khoa hoặc máy tăm nước để loại bỏ mảng bám và cao răng. Song song đó, bệnh nhân nên khám răng định kỳ 6 tháng/lần để bác sĩ kiểm tra, phát hiện sớm các dấu hiệu viêm nướu, viêm nha chu hoặc răng lung lay để điều trị kịp thời, giảm nguy cơ tiêu xương và duy trì sức khỏe răng miệng bền vững.
Trên đây là 7 dấu hiệu tiêu xương răng thường gặp giúp bệnh nhân nhận biết sớm những thay đổi bất thường trong xương hàm và răng miệng. Tiêu xương răng nếu không được điều trị kịp thời sẽ gây ảnh hưởng nghiêm trọng đến thẩm mỹ khuôn mặt và sức khỏe răng miệng lâu dài. Vì vậy, khi nhận thấy các dấu hiệu nghi ngờ, bệnh nhân nên đến nha khoa uy tín để được thăm khám, tư vấn và điều trị sớm, tránh để tình trạng trở nên nặng và khó phục hồi.
CHUYÊN SÂU IMPLANT DÀNH CHO NGƯỜI VIỆT
- Cơ sở 1:19V Nguyễn Hữu Cảnh, P.19, Q.Bình Thạnh, TP.Hồ Chí Minh
- Cơ sở 2:193A-195 Hùng Vương, P.9, Quận 5, TP.Hồ Chí Minh
- Cơ sở 3:83 Đường số 3 Khu dân cư Cityland, P.10, Q.Gò Vấp, TP.Hồ Chí Minh