
Niềng Răng Bị Tiêu Xương Phải Làm Sao? Khắc Phục Thế Nào?

Cố vấn chuyên môn:TS.BS. Nguyễn Hiếu Tùng
- Giám đốc Nha khoa I-DENT
- 10 năm tu nghiệp tại Pháp - hơn 10.000 ca Implant thành công
Tiêu chân răng khi niềng răng là điều mà không ai mong muốn. Nhưng trong một số trường hợp bị tiêu xương chân răng do rất nhiều nguyên nhân gây ra. Tiêu xương làm cho khuôn mặt bị biến đổi, má hóp,… khiến bạn mất tự tin khi giao tiếp. Vậy nếu rơi vào trường hợp không may mắn này phải làm sao?
1. Nguyên nhân dẫn đến tiêu xương khi niềng răng
Tác động của tiêu xương răng thường diễn ra sau một thời gian niềng răng. Xương răng, được tạo thành từ muối khoáng sinh học, dễ bị suy giảm về chiều cao, mật độ và thể tích khi chịu tác động bên ngoài. Điều này có thể xảy ra theo chiều dọc hoặc chiều ngang tùy thuộc vào cơ địa của mỗi người.
Sau khoảng 3 tháng niềng răng, sự suy giảm về mật độ xương hàm trở nên rõ rệt. Răng liền kề có thể dần dần di chuyển về vị trí của răng đã bị mất. Trong năm đầu tiên của quá trình niềng răng, một phần xương hàm có thể bị tiêu xương. Khi ấy, bạn sẽ thấy những dấu hiệu như má hóp, nướu bị lõm sâu,…

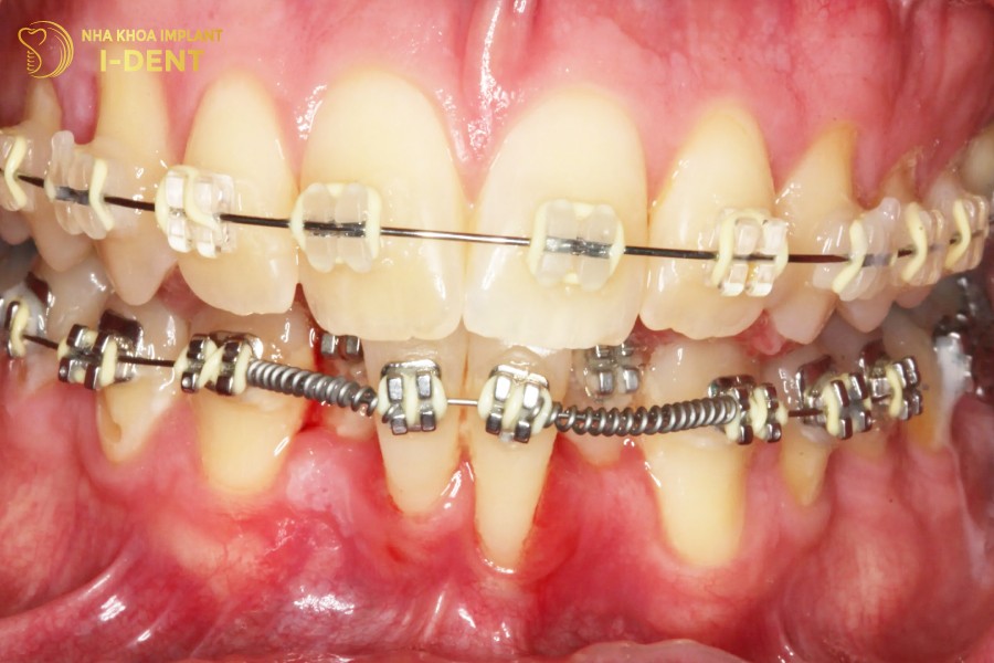
Tiêu xương khi niềng răng
Tuy nhiên, tiêu xương khi niềng răng chỉ xảy ra nếu thực hiện niềng răng tại các cơ sở kém chất lượng. Hoặc do một trong số nguyên nhân sau đây:
- Tay nghề của bác sĩ: Bác sĩ giữ vai trò quan trọng quyết định kết quả niềng răng. Nhưng nếu tay nghề bác sĩ kém, lực siết răng không đồng đều hoặc không phù hợp có thể gây tổn thương gây tiêu xương.
- Bệnh lý răng miệng chưa được điều trị: Viêm nha chu và các bệnh lý khác có thể gây tổn thương cho xương hàm và mô nướu, ảnh hưởng đến quá trình niềng răng.
- Quá trình dịch chuyển răng chậm: Nếu sự dịch chuyển diễn ra chậm, việc bồi thường canxi cho xương hàm cũng chậm, dẫn đến suy giảm mật độ khoáng.
- Chăm sóc răng miệng không đúng cách: Các vấn đề như viêm nha chu, viêm nướu có thể gây tổn thương xương hàm, đặc biệt khi trong quá trình niềng răng.
Để ngăn ngừa tiêu chân răng khi niềng, bạn cần tìm một địa chỉ nha khoa niềng răng uy tín để thực hiện.
2. Niềng răng bị tiêu xương gây hậu quả gì?
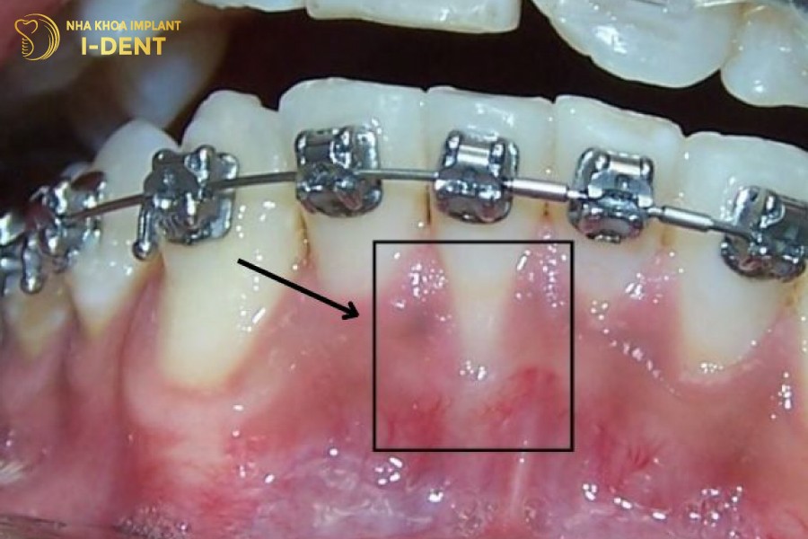
2.1 Tụt nướu (lợi) chân răng
Khi xương hàm bị tiêu đi, dẫn đến việc không còn đủ khả năng hỗ trợ mô nướu. Điều này có thể dẫn đến hiện tượng tụt lợi chân răng. Khi nướu giảm xuống, phần viền nướu trở nên mỏng và làm cho chân răng trở nên rõ ràng hơn so với trạng thái bình thường.

Tụt nướu
2.2 Cấu trúc răng lệch lạc, sai khớp cắn
Khi rơi vào tình trạng bị tiêu xương hàm, những răng ở phía trên thường có thể chuyển hướng về phía bên trong. Điều này có thể làm cho chúng lệch, tạo ra sự không cân đối giữa hàm trên và dưới hoặc dẫn đến tình trạng lệch khớp cắn.

Sai khớp cắn
2.3 Suy giảm chức năng ăn nhai
Tiêu chân răng khi niềng khiến cho sức cắn của răng cũng sẽ giảm, dẫn đến khả năng ăn nhai bị suy giảm đáng kể. Việc này có thể ảnh hưởng tới khả năng hấp thụ chất dinh dưỡng, tạo ra nguy cơ cao hơn về vấn đề dạ dày và tiêu hóa.
2.4 Răng bị lung lay, mất răng
Chân răng bị tiêu khiến cho răng mất đi điểm đỡ răng. Điều này khiến cho răng lung lay khi niềng, mất răng vĩnh viễn.

Mất răng vĩnh viễn khi niềng
3. Phương pháp khắc phục niềng răng bị tiêu xương
Trong trường hợp bị chân xương khi niềng, điều đầu tiên bạn cần làm chính là đến gặp bác sĩ. Bác sĩ sẽ tiến hành đánh giá trực tiếp để xác định mức độ tiêu xương và đề xuất phương pháp khắc phục thích hợp. Có thể sử dụng cách tiếp cận độc lập hoặc kết hợp:
- Ghép xương hàm: Phương pháp này thường sử dụng xương nhân tạo hoặc xương từ cơ thể để ghép vào vùng xương bị tiêu. Khoảng thời gian sau, xương sẽ tái tạo, giúp phục hồi và bảo tồn xương.
- Nâng xoang hàm: Đối với trường hợp xương hàm suy giảm và dần mất độ cao, nâng xoang trở thành lựa chọn. Quy trình có thể là nâng xoang kín hoặc mở, có thể kết hợp cùng phương pháp ghép xương.

Nâng xoang hàm khi tiêu chân răng
4. Cách phòng ngừa tình trạng chân răng khi niềng
4.1 Lựa chọn nha khoa uy tín
Quyết định niềng răng tại một địa chỉ nha khoa uy tín có ảnh hưởng to lớn đến kết quả cuối cùng. Khi lựa chọn một cơ sở nha khoa với đội ngũ bác sĩ giàu kinh nghiệm, cơ sở vật chất hiện đại, bạn có cơ hội trải qua quá trình niềng răng một cách chuẩn mực, theo đúng quy trình niềng răng. Điều này không chỉ đảm bảo sự an toàn mà còn giúp bạn tránh được những rủi ro không cần thiết.

Lựa chọn nha khoa niềng răng uy tín
4.2 Điều trị dứt điểm các bệnh lý răng miệng
Trong một số ít trường hợp việc tiêu chân răng khi niềng xảy ra do chưa điều trị triệt để các bệnh lý răng miệng. Chính vì thế, việc điều trị kỹ thuật các bệnh lý này tại các nha khoa uy tín là rất quan trọng. Điều này không chỉ giúp chuẩn bị tốt cho việc niềng răng, mà còn tạo điều kiện thuận lợi, đảm bảo quá trình niềng diễn ra nhanh chóng và mang lại kết quả tốt nhất cho bạn.
4.3 Kiểm tra răng miệng định kỳ
Việc kiểm tra răng miệng định kỳ rất quan trọng với sức khỏe răng miệng, đặc biệt là trong giai đoạn niềng răng. Bạn nên thực hiện kiểm tra răng miệng định kỳ hàng năm hoặc theo hướng dẫn của bác sĩ nha khoa để phát hiện sớm và điều trị các vấn đề về răng miệng, từ việc loại bỏ mảng bám đến xử lý sâu răng.Điều này cũng giúp duy trì nụ cười tươi tắn và ngăn ngừa các vấn đề nghiêm trọng hơn trong tương lai.
4.4 Bổ sung dinh dưỡng cần thiết cho cơ thể
Trong giai đoạn niềng răng, việc ăn uống có thể gây khó khăn do răng cảm thấy đau nhức. Tuy nhiên, để đảm bảo sức khỏe tốt nhất, việc bổ sung đủ dinh dưỡng là vô cùng quan trọng. Canxi đóng vai trò không thể phủ nhận trong việc tái tạo xương hàm, đặc biệt quan trọng cho quá trình bồi đắp và phát triển của răng. Bạn có thể bổ sung canxi bằng các loại thực phẩm như sữa, sữa chua, hạt giống, hoặc các loại rau xanh để hỗ trợ sức khỏe xương hàm của bạn trong quá trình niềng răng.

Bổ sung dinh dưỡng cần thiết cho cơ thể
4.5 Vệ sinh răng miệng đúng cách
Việc giữ vệ sinh răng miệng rất quan trọng. Điều này không chỉ đảm bảo vệ sạch răng mà còn giúp bạn phòng ngừa vi khuẩn hại cho sức khỏe nướu.
- Chải răng đúng cách: Sử dụng bàn chải mềm hoặc siêu mềm và kem đánh răng chứa fluoride. Di chuyển bàn chải theo các đường nghiêng 45 độ so với nướu, chải nhẹ nhàng để không làm tổn thương men răng. Đừng quên chải ngược lên trên mặt trong của răng.
- Chải răng ít nhất hai lần mỗi ngày: Buổi sáng sau khi thức dậy và buổi tối trước khi đi ngủ. Nếu có thể, chải răng sau mỗi lần ăn để loại bỏ thức ăn còn dính trên răng.
- Sử dụng chỉ nha khoa: Dùng chỉ nha khoa hoặc sợi vải giữa răng hàng ngày để loại bỏ mảng bám và thức ăn ở giữa răng mà bàn chải không thể tiếp cận được.
- Nước súc miệng: Sử dụng nước súc miệng có chứa fluoride để diệt khuẩn và giúp ngăn chặn sự hình thành của vi khuẩn gây sâu răng.
Vệ sinh răng miệng đúng cách không chỉ giúp duy trì sức khỏe răng miệng mà còn mang lại kết quả niềng răng tốt nhất.

Tăm chỉ nha khoa và nước súc miệng chuyên dụng cho niềng răng
CHUYÊN SÂU IMPLANT DÀNH CHO NGƯỜI VIỆT
- Cơ sở 1:19V Nguyễn Hữu Cảnh, P.19, Q.Bình Thạnh, TP.Hồ Chí Minh
- Cơ sở 2:193A-195 Hùng Vương, P.9, Quận 5, TP.Hồ Chí Minh
- Cơ sở 3:83 Đường số 3 Khu dân cư Cityland, P.10, Q.Gò Vấp, TP.Hồ Chí Minh