
Niềng Răng Có Cần Phải Nhổ Răng Khôn Không?

Cố vấn chuyên môn:TS.BS. Nguyễn Hiếu Tùng
- Giám đốc Nha khoa I-DENT
- 10 năm tu nghiệp tại Pháp - hơn 10.000 ca Implant thành công
Trường hợp niềng răng cần nhổ răng khi răng mọc nằm ngang đâm vào má hoặc nhổ để tạo khoảng trống để giúp răng dịch chuyển. Bạn nên tiến hành thăm khám và chụp phim để bác sĩ có thể đưa ra chẩn đoán chính xác. Trong một số trường hợp đặc biệt răng khôn không cần phải nhổ bỏ khi niềng như răng mọc thẳng, cung hàm đủ rộng hoặc bác sĩ cần kéo răng số 8 để thay các răng bị mất.
1. Niềng răng có cần nhổ răng khôn không?
Niềng răng không nhất định phải nhổ răng, tùy thuộc vào trường hợp cụ thể là răng mọc lệch hay không, hoặc cần nhổ để tạo khoảng trống di chuyển răng.
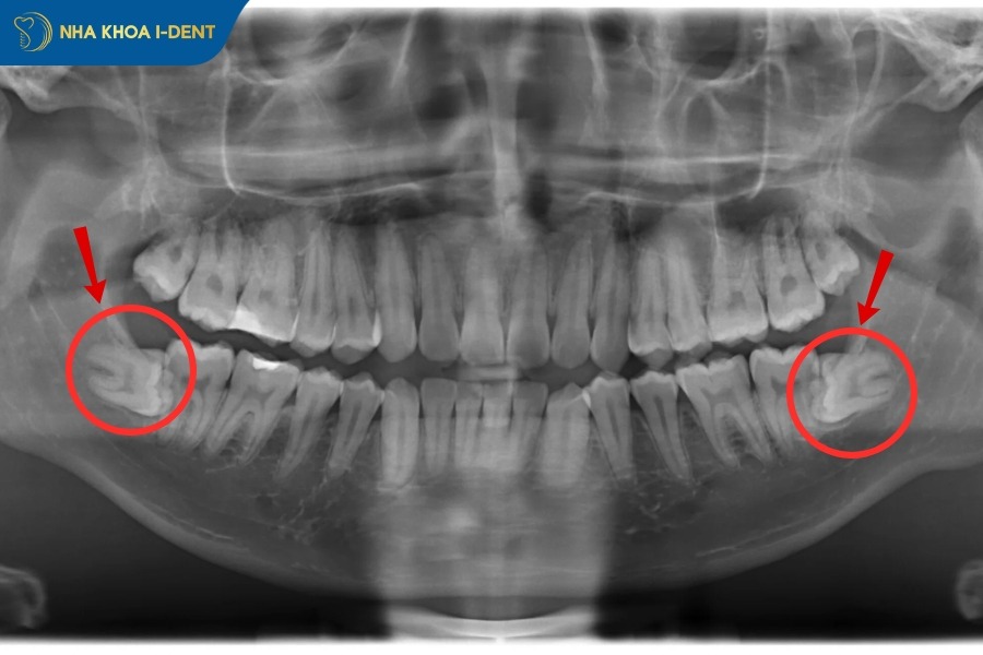
1.1 Răng khôn mọc nằm ngang, lệch ra đâm vào má
Trường hợp răng khôn mọc lệch, đâm thẳng vào má hay các răng kề cạnh, hoặc răng mọc nằm ngang một góc 90 độ bắt buộc phải nhổ răng khi niềng. Do răng khôn mọc lệch hoặc nằm ngang sẽ có xu hướng đâm trực tiếp vào răng số 7 và tạo áp lực liên tục lên các răng bên cạnh, gây đau nhức, viêm nướu, sâu răng số 7 cho nên cần nhổ răng số 8 để bảo vệ răng số 7.
Đặc biệt nếu răng mọc ngang 90 độ nằm hoàn toàn trong cung hàm sẽ tác động đến lực kéo của mắc cài và dây cung niềng răng, làm giảm quá hiệu quả điều trị và kéo dài thời gian niềng.

Nhổ răng khôn mọc nằm ngang, đâm vào các răng bên cạnh
1.2 Niềng răng cần nhổ răng khôn để tạo khoảng trống
Cần nhổ răng khôn để tạo khoảng trống khi niềng răng, vì một số bệnh nhân có kích thước xương hàm nhỏ hơn bình thường hoặc các răng có kích thước lớn hơn so với diện tích của cung hàm. Việc nhổ răng khôn nhằm mục đích có thêm diện tích cho việc thể sắp xếp, di chuyển các răng về phía sau dễ dàng hơn.
Bên cạnh đó vì răng khôn mọc ở vị trí trong cùng của hàm nên khi nhổ răng vẫn đảm bảo được tính thẩm mỹ. Đồng thời, nhổ răng khôn sẽ tránh phải niềng răng nhổ răng số 4 hoặc số 5 ở giữa cung hàm, vì những răng hàm nhỏ này dễ thấy và có vai trò đảm nhận chức năng quan trọng trong việc nghiền thức ăn.

Niềng răng cần nhổ răng khôn để tạo khoảng trống
1.3 Răng khôn bị sâu hoặc viêm nha chu
Răng khôn bị sâu hoặc viêm nha chu thì cần nhổ răng trước khi niềng, vì vi khuẩn từ răng khôn bị sâu có thể lan sang các răng bên cạnh, dẫn đến sâu răng số 7 và các răng khác.
Hơn nữa, nếu phải nhổ răng khôn bị sâu răng hoặc viêm nhiễm trong quá trình niềng răng thì sẽ làm kéo dài thêm thời gian niềng, vì bạn sẽ phải tạm dừng điều chỉnh niềng trong 2 – 4 tuần để vết thương do nhổ răng lành lại.
Tuy nhiên, vẫn có trường hợp niềng răng bác sĩ sẽ cân nhắc không chỉ định nhổ. Ví dụ nếu răng khôn mọc thẳng, đúng vị trí, không có dấu hiệu bị sâu răng, viêm nướu ảnh hưởng đến các răng khác, cung hàm đủ rộng để dàn đều răng và có thể dễ dàng vệ sinh thì không cần nhổ răng khôn và có thể giữ lại.

Cần nhổ răng khôn bị sâu hoặc viêm nha chu
2. Lợi ích nhổ răng khôn khi niềng răng
Khi tiến hành niềng răng các nha sĩ sẽ chú ý và thường đưa ra chỉ định nhổ răng khôn vì mang lại các lợi ích như sau:
2.1 Giúp tạo khoảng trống cho răng hàm di chuyển
Nhổ răng khôn trước khi niềng sẽ giúp giải phóng không gian trên cung hàm, tạo ra khoảng trống để sắp xếp lại các răng một cách khoa học và thẩm mỹ. Vì răng khôn có mặt nhai lớn và chiếm nhiều diện dịch trên cung hàm.
Bác sĩ sẽ tiến hành co kéo khí cụ chỉnh nha và dàn đều các răng vào tận cùng góc hàm. Lực kéo từ dây cung và khay niềng giúp răng dịch chuyển về phía sau một cách dễ dàng hơn, đúng vị trí theo dự tính, tạo khoảng cách đều đẹp cho toàn bộ răng.

Nhổ răng khôn để có không gian kéo răng về sau
2.2 Phòng ngừa các bệnh lý, bảo vệ tốt sức khỏe răng miệng
Răng khôn nằm ở vị trí trong cùng của hàm nên rất khó để vệ sinh và chải răng sạch sẽ dễ gây sâu răng, về lâu dài ảnh hưởng xấu đến tủy và men răng. Đặc biệt, trường hợp răng khôn chỉ mọc một phần sẽ khiến nướu sưng đau nên nhiều người không vệ sinh kỹ, dễ tích tụ thức ăn và vi khuẩn phát triển, dẫn đến viêm nướu gây đau nhức, mùi hôi miệng khó chịu cần phải điều trị làm cản trở quá trình niềng răng. Cho nên nhổ răng khôn khi niềng răng sẽ phòng ngừa hiệu quả các vấn đề bệnh lý răng miệng.

Nhổ răng số 8 khi niềng phòng ngừa các vấn đề bệnh lý
2.3 Nhổ răng khôn giúp bảo vệ kết quả niềng răng
Cần nhổ răng khôn để bảo vệ toàn bộ kết quả niềng răng và giữ được hàm răng đều đẹp. Nếu răng khôn bắt đầu mọc và đẩy mạnh từ phía sau khi đã niềng răng xong, sẽ làm đẩy tất cả các răng dịch chuyển, có xu hướng đẩy dồn về phía trước, răng bị xô lệch, không còn thẳng hàng.
3. Cần lưu ý gì khi niềng răng phải nhổ răng khôn?
Nhổ răng khôn niềng răng là một tiểu phẫu nhỏ nhưng nếu thực hiện sai kỹ thuật có thể gây ra nhiều biến chứng nguy hiểm cho răng miệng. Vì răng có vị trí trong cùng, phía dưới răng lại có nhiều dây thần kinh, xương hàm,… và khi thực hiện nhổ bỏ sai cách sẽ gây tổn thương đến dây thần kinh, nguy hiểm hơn là nhiễm trùng máu.
Hơn nữa, nếu răng khôn mọc ngầm, mọc lệch thì mức độ phức tạp càng cao, đòi hỏi chuyên môn và kinh nghiệm của bác sĩ khắt khe hơn. Do đó, lựa chọn nha khoa nhổ răng khôn uy tín, chất lượng để đảm bảo bác sĩ tay nghề cao, thiết bị hỗ trợ hiện đại đề phòng ngừa tối đa các biến chứng nguy hiểm sau khi nhổ răng khôn.
Quá trình chăm sóc sau khi nhổ đóng vai trò quan trọng, để lỗ nhổ răng khôn nhanh chóng phục hồi hãy tuân thủ các chỉ định của bác sĩ về uống thuốc đúng giờ, ưu tiên thức ăn mềm, đủ chất dinh dưỡng, nghỉ ngơi đầy đủ và nói chuyện, cười đùa nhẹ nhàng trong thời gian này. Chú ý tuân thủ nghiêm các hướng dẫn nha sĩ về chăm sóc và vệ sinh răng miệng.

Ưu tiên lựa chọn bác sĩ có chuyên môn giỏi để nhổ răng khôn
4. Những câu hỏi thường gặp
4.1 Nhổ răng khôn khi niềng răng có đau không?
Niềng răng nhổ răng khôn (răng số 8) có thể gây đau hoặc ê buốt nhẹ trong 1-2 ngày sau tiểu phẫu, mức độ đau sẽ phụ thuộc vào cơ địa của mỗi người, tình trạng của răng khôn và trình độ của bác sĩ. Tuy nhiên, với công nghệ gây tê tiên tiến và kỹ thuật hiện đại, quá trình nhổ răng khôn diễn ra nhẹ nhàng, an toàn và không đau đớn như bạn tưởng tượng.
4.2 Mọc răng khôn trong quá trình niềng có phải nhổ bỏ không?
Khi mọc răng khôn trong quá trình niềng, bác sĩ sẽ suy xét tình trạng răng khôn, nếu răng khôn mọc lệch, mọc ngầm, chèn ép đến các răng xung quanh thì bắt buộc phải loại bỏ để bảo vệ kết quả niềng răng và sức khỏe răng miệng. Trong trường hợp răng khôn mọc thẳng và không gây ảnh hưởng gì thì nha sĩ sẽ cân nhắc việc giữ lại.
Tóm lại, không phải tất cả trường hợp niềng răng đều cần nhổ răng khôn, điều này phụ thuộc vào tình trạng răng miệng của mỗi người. Do đó, để xác định chính xác có cần nhổ răng khôn hay không, bạn nên đến nha khoa uy tín để được bác sĩ thăm khám và tư vấn. Hãy liên hệ Nha khoa I-Dent để được hỗ trợ tư vấn miễn phí.
CHUYÊN SÂU IMPLANT DÀNH CHO NGƯỜI VIỆT
- Cơ sở 1:19V Nguyễn Hữu Cảnh, P.19, Q.Bình Thạnh, TP.Hồ Chí Minh
- Cơ sở 2:193A-195 Hùng Vương, P.9, Quận 5, TP.Hồ Chí Minh
- Cơ sở 3:83 Đường số 3 Khu dân cư Cityland, P.10, Q.Gò Vấp, TP.Hồ Chí Minh