
Răng Hô Nhẹ Là Gì? Có Nên Niềng Răng Hô Nhẹ?

Cố vấn chuyên môn:TS.BS. Nguyễn Hiếu Tùng
- Giám đốc Nha khoa I-DENT
- 10 năm tu nghiệp tại Pháp - hơn 10.000 ca Implant thành công
Răng hô nhẹ là tình trạng sai lệch khớp cắn nhẹ, cụ thể răng hàm trên mọc hơi lệch ra phía trước so với cung hàm dưới, nhưng ở mức độ không quá nghiêm trọng. Răng hô nhẹ hoàn toàn nên niềng bởi việc điều trị sớm giúp cải thiện thẩm mỹ khuôn mặt, khắc phục rối loạn khớp cắn và bảo vệ sức khỏe răng miệng lâu dài. Niềng răng hô nhẹ không bắt buộc phải nhổ răng tùy vào mức độ hô, đa số trường hợp hô nhẹ đã có đủ không gian để bác sĩ dịch chuyển răng mà không cần tạo khoảng trống bằng nhổ, đặc biệt khi áp dụng các kỹ thuật chỉnh nha hiện đại.
1. Răng hô nhẹ là như thế nào?
Răng hô nhẹ (sai lệch khớp cắn loại II mức độ nhẹ) là tình trạng răng hàm trên nhô ra phía trước so với răng hàm dưới một chút (khoảng 2 – 4 mm), trục răng nghiêng, khiến khớp cắn bị sai lệch ở mức độ nhỏ. Đây là một dạng sai lệch khớp cắn hạng II khá phổ biến ở mọi lứa tuổi, ít ảnh hưởng đến chức năng ăn nhai nhưng khiến khuôn mặt mất cân đối, đặc biệt là góc nghiêng.
Răng hô nhẹ xảy ra do nhiều nguyên nhân tác động, các nha sĩ phân loại thành 2 nhóm chính: hô do răng và hô do hàm. Dưới đây là các nguyên nhân phổ biến nhất khiến răng bị hô:
- Yếu tố di truyền (nguyên nhân chính chiếm 60 – 70%): Nếu bố mẹ, ông bà hoặc người thân trong gia đình có người bị răng hô, bạn cũng có nguy cơ bị di truyền lại cấu trúc xương hàm hoặc răng.
- Thói quen xấu từ nhỏ: Đây là nguyên nhân lớn thứ 2, đặc biệt ở trẻ 2 – 6 tuổi (giai đoạn xương hàm đang phát triển mạnh), trẻ hay mút ngón tay cái, lưỡi đẩy răng cửa mỗi khi nuốt, nằm nghiêng một bên quá lâu. Những thói quen này nếu duy trì trên 6 tháng sẽ làm thay đổi vị trí răng và xương hàm.
- Xương hàm và răng phát triển bất thường: Hàm trên phát triển quá mạnh hoặc hàm dưới phát triển kém có thể do thiếu dinh dưỡng làm xương hàm phát triển không đều.

Các tình trạng răng hô nhẹ.
2. Răng hô nhẹ có nên niềng không?
Răng hô nhẹ nên niềng răng nếu bạn muốn cải thiện thẫm mỹ và cải thiện khớp cắn. Có nên niềng răng hô nhẹ hay không còn phụ thuộc vào nhu cầu thẩm mỹ của từng người. Trong nhiều trường hợp, răng hô nhẹ khiến nụ cười kém hài hòa, khuôn mặt thiếu cân đối hoặc gây khó khăn khi nhai nuốt. Lúc này, niềng răng sẽ là giải pháp giúp khắc phục nhược điểm, nâng cao tính thẩm mỹ và đảm bảo sức khỏe răng miệng về lâu dài.
Ngoài ra, niềng răng hô nhẹ giúp phòng ngừa và bảo vệ sức khỏe răng miệng toàn diện về lâu dài. Đặc biệt, đối với trẻ ở trong giai đoạn từ 6 – 12 tuổi, nếu trẻ bị hô mà không được điều trị thì khi trưởng thành có khả năng răng mọc lệch, hô nặng hơn.
Tuy nhiên, bệnh nhân cần lưu ý mức độ hô có thể tăng dần theo thời gian, gây ảnh hưởng cả thẩm mỹ lẫn khớp cắn. Điều này còn khiến việc niềng răng hô trở nên khó khăn và tốn kém hơn rất nhiều. Do đó khi nhận thấy các dấu hiệu hô nhẹ, bạn nên thăm khám và tham khảo ý kiến bác sĩ để có kế hoạch điều trị kịp thời.
Để nhận biết răng có đang bị hô nhẹ hay không, bạn hãy quan sát xem răng có những biểu hiện này hay không:
- Răng cửa hàm trên hơi chìa ra ngoài, không thẳng đều với khuôn mặt.
- Khi cắn chặt, khớp cắn có sự lệch nhẹ, răng trên phủ răng dưới nhiều hơn bình thường.
- Nụ cười trông kém hài hòa, miệng có xu hướng hơi trễ. Khi nhìn nghiêng, thấy môi trên nhô nhẹ hơn mũi và cằm thì tức là bạn đang bị răng hô nhẹ.
- Ở một số trường hợp, môi trên khó khép kín hoàn toàn hoặc khi cười dễ lộ lợi ở mức nhẹ.
Nếu có những biểu hiện trên, bạn bị răng hô nhẹ. Hãy đến nha khoa niềng răng uy tín để được bác sĩ thăm khám và đưa ra phương pháp điều trị phù hợp.

Trường hợp răng hô nặng, khớp cắn sâu mới phải nhổ răng
3. Niềng răng hô nhẹ có phải nhổ răng không?
Niềng răng hô nhẹ không bắt buộc phải nhổ răng trong mọi trường hợp. Với tình trạng hô nhẹ do nghiêng trục răng, cung hàm còn đủ không gian hoặc bệnh nhân đang ở độ tuổi xương phát triển, bác sĩ hoàn toàn có thể lên phác đồ niềng mà không cần nhổ răng. Tuy nhiên, nếu hô nhẹ đi kèm chen chúc nghiêm trọng hoặc khớp cắn sâu thì cần can thiệp nhổ răng để đạt hiệu quả tốt nhất.
Nhiều trường hợp sai lệch nhẹ, bác sĩ thường ưu tiên sử dụng phương pháp di xa toàn hàm để tránh phải nhổ răng. Tuy nhiên nếu khoảng trống không đủ hoặc sau khi đóng khoảng răng vẫn còn hô thì sẽ tiến hành nhổ răng số 4 để tạo khoảng trống kéo lùi răng về vị trí cân đối.
Bên cạnh răng số 4, răng khôn cũng thường được nhổ bỏ do dễ mọc lệch ở vị trí khuất, chèn ép răng số 7, gây khó vệ sinh và làm tăng nguy cơ viêm lợi, sâu răng, hôi miệng. Việc loại bỏ răng khôn giúp quá trình niềng răng diễn ra thuận lợi và duy trì kết quả ổn định lâu dài.
Bạn có thể tham khảo thêm video chia sẻ về Niềng răng có phải nhổ răng không của Bác sĩ CKI Trần Thị Hải Yến – Nha khoa I-Dent:
4. Các phương pháp niềng răng hô nhẹ
Các phương pháp niềng răng có thể điều trị dứt điểm tình trạng hô nhẹ: niềng răng mắc cài kim loại, niềng răng mắc cài sứ và niềng răng invisalign. Mỗi loại sẽ có ưu nhược điểm riêng mà bạn cần nắm rõ để lựa chọn phương pháp phù hợp nhất với nhu cầu của bản thân.
4.1 Niềng răng mắc cài kim loại
Niềng răng mắc cài kim loại là phương pháp chỉnh nha phổ biến nhất hiện nay. Bằng cách kết hợp những mắc cài kim loại và dây cung, bác sĩ sẽ điều chỉnh răng từ từ về vị trí mong muốn. Phương pháp này giúp bạn thoát khỏi tình trạng răng hô nhẹ một cách dễ dàng và hiệu quả.
Ưu điểm:
- Chi phí hợp lý: Giá niềng răng mắc cài kim loại thấp nhất trong các loại niềng răng.
- Hiệu quả cao với răng hô nhẹ: Mắc cài kim loại có lực kéo mạnh và ổn định, giúp răng hô nhẹ nhanh chóng dịch chuyển về vị trí chuẩn, cải thiện khớp cắn.
- Rút ngắn thời gian điều trị: Nhờ lực tác động ổn định, phương pháp này thường cho kết quả nhanh hơn so với một số loại niềng khác.
- Độ bền chắc cao: Hệ thống mắc cài kim loại bền chắc, ít gặp gặp tình trạng hư hỏng trong quá trình niềng răng.
Nhược điểm:
- Tính thẩm mỹ thấp: Mắc cài kim loại dễ nhìn thấy, có thể gây mất tự tin khi cười hoặc giao tiếp.
- Gây đau và khó chịu: Trong thời gian đầu mới niềng và khi siết niềng, bạn sẽ phải chịu đau đớn do lực tác động lên răng bị thay đổi. Tuy nhiên tình trạng này sẽ kéo dài không lâu. Ngoài ra, dây cung và mắc cài có thể cọ xát vào môi, má gây trầy xước hoặc loét.
- Hạn chế trong ăn uống: Bệnh nhân cần kiêng một số loại thực phẩm cứng hoặc dai để tránh bị bung mắc cài.

Niềng răng hô nhẹ bằng mắc cài kim loại.
4.2 Niềng răng mắc cài sứ
Niềng răng mắc cài sứ là phương pháp chỉnh nha sử dụng mắc cài được làm từ chất liệu sứ y khoa cao cấp, có màu trắng trong hoặc gần giống màu răng thật. Nhờ vậy, khi đeo sẽ ít bị lộ hơn so với mắc cài kim loại, mang lại tính thẩm mỹ cao mà vẫn đảm bảo hiệu quả dịch chuyển răng và điều chỉnh khớp cắn. Cơ chế hoạt động của mắc cài sứ tương tự như mắc cài kim loại, chỉ khác biệt về chất liệu và tính thẩm mỹ.
Ưu điểm:
- Thẩm mỹ cao: Mắc cài có màu gần giống răng thật nên khó bị phát hiện từ xa.
- An toàn và thân thiện: Mắc cài được làm từ sứ y tế lành tính, không gây kích ứng mô mềm trong khoang miệng, hạn chế tình trạng loét hay trầy xước khi niềng.
Nhược điểm:
- Độ bền kém: Do đặc tính giòn của sứ, mắc cài dễ bị nứt, vỡ hoặc bung ra nếu gặp va chạm mạnh.
- Có thể gây khó chịu: Kích thước mắc cài sứ thường lớn hơn một chút so với mắc cài kim loại, đôi khi gây cảm giác cộm trong miệng.
- Chi phí và thời gian điều trị: Giá thành của mắc cài sứ cao hơn so với niềng mắc cài kim loại. Đồng thời thời gian chỉnh nha cũng có thể kéo dài hơn do độ bền và lực kéo không mạnh bằng mắc cài kim loại.

Niềng răng hô nhẹ bằng mắc cài sứ.
4.3 Niềng răng trong suốt Invisalign
Niềng răng trong suốt Invisalign là phương pháp chỉnh nha hiện đại sử dụng các khay nhựa trong suốt, thay thế hoàn toàn cho mắc cài và dây cung. Mỗi khay được thiết kế riêng theo cấu trúc răng của từng người và cần thay định kỳ theo hướng dẫn bác sĩ. Khay được làm từ nhựa ý tế, có thể tháo lắp linh hoạt nên rất tiện lợi trong sinh hoạt hằng ngày. Niềng khay trong suốt phù hợp với những trường hợp răng hô nhẹ đến trung bình.
Ưu điểm:
- Tính an toàn cao: Khay Invisalign được làm từ nhựa y tế chuyên dụng, lành tính với cơ thể và thích hợp cho người nhạy cảm hoặc dị ứng kim loại.
- Thoải mái khi sử dụng: Thiết kế mỏng, nhẵn và ôm sát răng giúp hạn chế đau, loét nướu hay tổn thương mô mềm. Cảm giác khó chịu thường chỉ xuất hiện nhẹ trong vài ngày đầu sau khi thay khay.
- Đảm bảo thẩm mỹ: Nhờ đặc điểm trong suốt, khay niềng gần như vô hình khi đeo, tạo sự tự tin tối đa trong giao tiếp và làm việc.
- Thuận tiện vệ sinh: Khay có thể tháo ra khi ăn uống hoặc chải răng, giúp vệ sinh răng miệng dễ dàng, giảm nguy cơ hôi miệng hay mắc bệnh nha chu.
Nhược điểm:
- Chi phí cao: So với các phương pháp niềng răng khác, Invisalign thường có mức giá cao hơn nhiều bởi những công nghệ độc quyền được áp dụng.
- Hạn chế trong các ca phức tạp: Phương pháp này chỉ phù hợp với tình trạng răng hô nhẹ hoặc sai lệch ở mức độ vừa. Trường hợp hô nặng, chen chúc nhiều hoặc lệch khớp cắn nghiêm trọng nên niềng mắc cài để đạt kết quả tối ưu.
- Yêu cầu tính kỷ luật cao: Hiệu quả phụ thuộc vào việc đeo khay đủ 20 – 22 giờ mỗi ngày. Nếu tháo ra quá lâu hoặc quên thay khay đúng lịch, kết quả chỉnh nha có thể bị ảnh hưởng.

Niềng răng hô nhẹ bằng khay trong suốt.
5. Chi phí niềng răng hô nhẹ bao nhiêu tiền?
Giá niềng răng hô nhẹ dao động từ 35.000.000 – 110.000.000 VNĐ, tùy thuộc vào phương pháp niềng và mức độ sai lệch của răng hô. Cụ thể, niềng răng mắc cài kim loại tiêu chuẩn có giá dao động từ 35.000.000 – 45.000.000 VNĐ/ 2 hàm, niềng răng mắc cài sứ tiêu chuẩn dao động từ 45.000.000 – 55.000.000 VNĐ/ 2 hàm, niềng răng trong suốt Invisalign có giá dao động từ 50.000.000 – 110.000.000 VNĐ/ 2 hàm.
Dưới đây là bảng giá niềng răng tại Nha khoa I-Dent:
| Loại niềng răng | Mức giá niềng |
|---|---|
| Mắc cài kim loại tiêu chuẩn cấp độ 1 | 35.000.000VNĐ |
| Mắc cài kim loại tiêu chuẩn cấp độ 2 | 45.000.000 VNĐ |
| Mắc cài kim loại tự buộc/nắp đậy cấp độ 1 | 40.000.000 VNĐ |
| Mắc cài kim loại tự buộc/nắp đậy cấp độ 2 | 50.000.000 VNĐ |
| Mắc cài sứ tiêu chuẩn cấp độ 1 | 45.000.000 VNĐ |
| Mắc cài sứ tiêu chuẩn cấp độ 2 | 55.000.000 VNĐ |
| Mắc cài sứ tự buộc/nắp đậy cấp độ 1 | 50.000.000 VNĐ |
| Mắc cài sứ tự buộc/nắp đậy cấp độ 2 | 60.000.000 VNĐ |
| Invisalign Express | 50.000.000 VNĐ |
| Invisalign Lite ( <=14 khay) | 75.000.000 VNĐ |
| Invisalign Moderate (15-26 khay) | 110.000.000 VNĐ |
*Nha khoa I-Dent miễn phí thăm khám và chụp phim CT 3D.
Giá niềng răng hô nhẹ tùy vào mức độ sai lệch răng, răng hô nhẹ thường mức độ sai lệch sẽ ít, nên được phân vào cấp độ 1 và cấp độ 2. Bệnh nhân cần biết chính xác tình trạng răng nên đến nha khoa thăm khám.
| Mức độ điều trị | Tình trạng |
|---|---|
| Cấp độ 1 |
Ví dụ: Hô nhẹ do răng, răng cửa xoay nhẹ hoặc mọc lệch nhẹ, răng cửa có khe hở giữa (thưa nhẹ). |
| Cấp độ 2 |
Ví dụ: Hô do răng (nhổ 4 răng để sắp xếp), răng chen chúc mức vừa, cắn sâu (deep bite) không quá nghiêm trọng. |
Chương trình ưu đãi duy nhất tháng 4/2026 đang được áp dụng khi đăng ký Form tư vấn:

Bảng giá ưu đãi niềng răng mắc cài tháng 4.
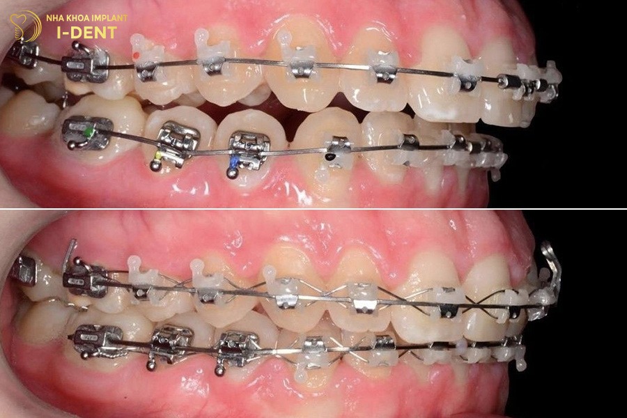
6. Hình ảnh trước và sau khi niềng răng nhẹ tại Nha khoa I-Dent
Với đội ngũ bác sĩ giàu kinh nghiệm và hệ thống trang thiết bị hiện đại, Nha khoa I-Dent đã thực hiện thành công hơn 8.000 ca niềng răng, với tỉ lệ hài lòng đạt 99%. Đặc biệt, những trường hợp răng hô nhẹ đều đạt kết quả tối ưu, mang lại hàm răng cân đối và nụ cười tự tin cho bệnh nhân. Dưới đây là hình ảnh trước và sau niềng răng hô nhẹ tại Nha khoa I-Dent:

Sau khi niềng răng tại Nha khoa I-Dent, tình trạng răng hô và thưa được cải thiện rõ rệt.

Phác đồ điều trị tại Nha khoa I-Dent khắc phục rõ rệt tình trạng răng hô của bệnh nhân.

Kết quả sau khi niềng răng hô nhẹ tại Nha khoa I-Dent của bệnh nhân.
Răng hô nhẹ nên niềng răng do đây là giải pháp tối ưu giúp bạn khắc phục khuyết điểm răng hô hiệu quả và an toàn, nếu bệnh nhân không điều trị sớm có thể ảnh hưởng lâu dài đến thẩm mỹ và khớp cắn. Tại Nha khoa I-Dent, bạn sẽ được thăm khám, chẩn đoán chính xác và lên phác đồ điều trị cá nhân hóa bởi đội ngũ bác sĩ chỉnh nha giàu kinh nghiệm. Vì vậy hãy liên hệ ngay với chúng tôi để được nhận tư vấn miễn phí.
CHUYÊN SÂU IMPLANT DÀNH CHO NGƯỜI VIỆT
- Cơ sở 1:19V Nguyễn Hữu Cảnh, P.19, Q.Bình Thạnh, TP.Hồ Chí Minh
- Cơ sở 2:193A-195 Hùng Vương, P.9, Quận 5, TP.Hồ Chí Minh
- Cơ sở 3:83 Đường số 3 Khu dân cư Cityland, P.10, Q.Gò Vấp, TP.Hồ Chí Minh