
Niềng Răng Loại Nào Tốt Nhất? Nên Chọn Loại Nào?

Cố vấn chuyên môn:TS.BS. Nguyễn Hiếu Tùng
- Giám đốc Nha khoa I-DENT
- 10 năm tu nghiệp tại Pháp - hơn 10.000 ca Implant thành công
Nên niềng răng loại nào phù hợp nhất với tình trạng răng miệng, nhu cầu cá nhân và điều kiện tài chính của bệnh nhân. Hiện nay có nhiều loại niềng răng khác nhau như niềng răng mắc cài kim loại, niềng răng mắc cài sứ, niềng răng mắc cài tự đóng, niềng răng mắc cài mặt trong, niềng răng trong suốt,… Mỗi loại sẽ có những ưu điểm và nhược điểm riêng nên bệnh nhân cần suy nghĩ kỹ trước khi lựa chọn.
1. Những loại niềng răng tốt nhất hiện nay?
Niềng răng là phương pháp chỉnh nha sử dụng các khí cụ niềng như dây cung, mắc cài, khay niềng để tác động lực lên răng, kéo chỉnh răng từ từ về vị trí chuẩn trên cung hàm. Niềng răng có thể khắc phục đa dạng các vấn đề sai lệch như răng hô, răng móm, răng khấp khểnh, răng thưa, khớp cắn chéo, khớp cắn hở,…
Với sự phát triển trong lĩnh vực y tế, thị trường nha khoa hiện nay cung cấp nh
1.1 Niềng răng mắc cài kim loại
Niềng răng mắc cài kim loại là loại niềng răng được nhiều bệnh nhân lựa chọn. Phương pháp này hoạt động bằng cách sử dụng mắc cài làm bằng kim loại không gỉ gắn lên mặt trước của răng. Sau đó bác sĩ tiến hành luồn dây cung vào rãnh mắc cài rồi cố định chúng bằng thun niềng. Lực kéo từ dây cùng sẽ được truyền đến răng thông qua các mắc cài, từ đó răng được điều chỉnh dần dần về vị trí chuẩn trên cung hàm.
Ưu điểm:
- Niềng răng mắc cài có chi phí thấp nhất trong các loại niềng răng trên thị trường. Tuy nhiên giá của loại niềng này có thể thay đổi tùy vào chất liệu làm mắc cài.
- Kỹ thuật niềng đơn giản.
- Mắc cài có độ bền cao nên lực tác động lên răng mạnh và ổn định. Vì vậy phương pháp này mang đến hiệu quả chỉnh nha cao trong thời gian ngắn.
- Phần thun niềng có nhiều màu sắc hoặc không màu, phù hợp với sở thích đa dạng của bệnh nhân.
Nhược điểm:
- Tính thẩm mỹ không cao do phần mắc cài và dây cung kim loại dễ bị lộ ra bên ngoài.
- Nếu ăn uống không cẩn thận có thể gây bung mắc cài, tuột dây cung.
- Phần mắc cài làm từ kim loại không phù hợp cho những bệnh nhân dị ứng kim loại hoặc có mô mềm nhạy cảm. Trong thời gian đầu mới đeo sẽ cảm thấy khó chịu, dễ gặp tình trạng tăng tiết nước bọt.
- Dễ làm trầy xước khoang miệng cùng mô nướu.

Niềng răng mắc cài kim loại
1.2 Niềng răng mắc cài sứ, pha lê
Niềng răng mắc cài sứ là phương pháp sử dụng hệ thống mắc cài cùng dây cung tương tự như niềng răng mắc cài kim loại nhưng mắc cài sẽ được chế tạo từ sứ hoặc một số chất liệu vô cơ. Với niềng răng mắc cài pha lê, vật liệu làm mắc cài là pha lê Titan hoặc Crystal pha lê trong suốt.
Ưu điểm:
- Mắc cài sứ có màu trắng ngà giống với màu răng thật, còn mắc cài pha lê có độ trong suốt cao. Do vậy, loại mắc cài từ 2 chất liệu này mang đến tính thẩm mỹ cao, khó nhận biết nếu không quan sát kỹ.
- Chất liệu sứ cùng pha lê đảm bảo an toàn với sức khỏe người dùng.
- Nguyên lý hoạt động tương tự niềng mắc cài kim loại, hết hợp với thun niềng có độ đàn hồi cao nên mang đến hiệu quả chỉnh nha cao tương tự.
Nhược điểm:
- Phương pháp này có mức giá trung bình, cao so với các loại niềng kim loại.
- Thời gian niềng răng bị kéo dài hơn niềng răng truyền thống.
- Phần mắc cài dễ bị vỡ nếu gặp va đập mạnh nên tăng nguy cơ tổn thương mô mềm.
- Mắc cài to nên gây cảm giác cộm, cấn.
- Mắc cài dễ bị ố, vàng nếu vệ sinh không kỹ hoặc sử dụng nhiều thức uống có màu.

Niềng răng mắc cài sứ
1.3 Niềng răng mắc cài tự đóng
Niềng răng mắc cài tự đóng là loại niềng được cải tiến từ niềng răng mắc cài kim loại. Mắc cài tự đóng có cấu tạo nắp trượt tự động, có thể đậy lại và cố định dây cung mà không cần dùng đến thun niềng. Nhờ vậy, dây cung có thể trượt tự do, liên tục trong rãnh mắc cài, giảm ma sát.
Ưu điểm:
- Quá trình đeo niềng và siết niềng diễn ra nhanh, gọn hơn.
- Dây cung ít bị tuột hay biến dạng do đã được giữ chắc trong rãnh mắc cài.
- Lực ma sát được giảm đến mức tối thiểu, giúp quá trình dịch chuyển của răng diễn ra liên tục, nhẹ nhàng, ổn định và ít đau đớn hơn.
- Tần suất điều chỉnh dây cung giảm, đồng thời không cần phải thay thun niềng.
Nhược điểm:
- Giá niềng mắc cài tự động tương đối cao.
- Vì có phần nắp đậy tự động nên mắc cài dày và gây cộm cấn.
- Đòi hỏi kỹ thuật niềng phức tạp nên phải được thực hiện bởi bác sĩ có tay nghề và trình độ chuyên môn cao.

Niềng răng mắc cài tự đóng (tự động)
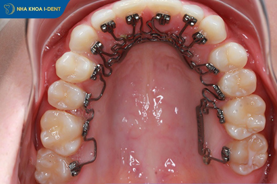
1.4 Niềng răng mắc cài mặt trong
Niềng răng mắc cài mặt trong có cơ chế hoạt động tương tự với niềng răng mắc cài kim loại. Tuy nhiên vị trí gắn mắc cài và đi dây cung sẽ ở mặt trong của răng thay vì bề mặt ngoài. Phần mắc cài có thể được chế tạo từ kim loại không gỉ hoặc sứ.
Ưu điểm:
- Hệ thống mắc cài cùng dây cung được giấu ở mặt trong nên đảm bảo tuyệt đối tính thẩm mỹ, phù hợp với những bệnh nhân phải làm các công việc cần giao tiếp như giáo viên, MC, ca sĩ, diễn viên,…
Nhược điểm:
- Chi phí điều trị cao.
- Vị trí lắp đặt mắc cài nên dễ bị giắt thức ăn thừa vào vào, gây khó khăn khi vệ sinh răng miệng cùng khí cụ.
- Đòi hỏi bác sĩ phải có tay nghề tốt vì niềng răng mắc cài mặt trong rất khó thực hiện.
- Thời gian chỉnh nha kéo dài.

Niềng răng mắc cài mặt trong
1.5 Niềng răng trong suốt
Niềng răng trong suốt còn được gọi là niềng răng không mắc cài, là phương pháp chỉnh nha hiện đại nhất hiện nay. Thay vì sử dụng hệ thống mắc cài cùng dây cung phức tạp, loại niềng răng này dùng các khay niềng được chế tạo từ nhựa y tế trong suốt để điều chỉnh vị trí của răng về vị trí mong muốn. Có nhiều loại khay niềng trong suốt trên thị trường, chẳng hạn như Invisalign, 3D Clear, eCligner, ClearCorrect,…
Ưu điểm:
- Khay niềng có độ trong suốt cao nên đảm bảo thẩm mỹ cho người dùng.
- Máng niềng được thiết kế riêng cho từng bệnh nhân nên quá trình dịch chuyển răng diễn ra liên tục, chính xác. Do đó hiệu quả điều trị cao và rút ngắn thời gian điều trị từ 3 – 6 tháng so với các loại niềng răng khác.
- Khay niềng không góc cạnh, mỏng nhẹ nên không gây cộm cấn khi đeo, ít gây đau đớn.
- Tháo lắp dễ dàng nên dễ vệ sinh răng miệng cùng khay.
Nhược điểm:
- Phương pháp này có chi phí điều trị cao nhất trong các loại niềng, đao động từ 45.000.000 – 130.000.000 đồng.
- Cần chọn nha khoa có đầy đủ trang thiết bị hiện đại mới đảm bảo hiệu quả chỉnh nha.
- Bệnh nhân cần tự giác tuân thủ thời gian đeo khay và thay khay của bác sĩ.

Niềng răng trong suốt
2. Nên niềng răng loại nào?
Nên niềng răng loại nào tốt nhất sẽ phụ thuộc vào tình trạng răng miệng và mong muốn, nhu cầu của từng đối tượng khách hàng. Khách hàng cần lựa chọn loại niềng phù hợp để đảm bảo hiệu quả điều trị và chi phí hợp lý vì niềng răng là quá trình chỉnh nha diễn ra trong thời gian dài và có giá cao. Niềng răng là kỹ thuật chỉnh nha giúp điều chỉnh các răng về đúng vị trí, nhưng cần được thực hiện trong khoảng thời gian dài trung bình từ 2-3 năm và chi phí tái khám, điều chỉnh, thay dây cung cũng khá tốn kém.
Ngoài ra, không có loại niềng răng tốt nhất hay tệ nhất. Vì tương ứng với mỗi loại niềng răng sẽ có ưu điểm và nhược điểm riêng. Cần tìm hiểu kỹ và tìm đến nha sĩ để được tư vấn lựa chọn phương pháp phù hợp với trường hợp của bản thân.
Tương ứng với mỗi phương pháp niềng sẽ có một thế mạnh riêng khi đánh giá theo từng tiêu chí:
- Hiệu quả sau niềng răng: Tất cả các loại mắc cài đều đạt hiệu quả chinh nha cao, đưa răng về đúng vị trí mong muốn.
- Chi phí hợp lý: Niềng răng mắc cài kim loại truyền thống có chi phí thấp hơn so với niềng răng không mắc cài.
- Tính thẩm mỹ: Niềng răng khay trong suốt, niềng răng mắc cài sứ và niềng răng mặt trong không lộ như mắc cài truyền thống.
- Thuận tiện cho vệ sinh, ăn uống: niềng răng khay trong suốt cho khả năng tháo lắp linh hoạt khi cần thiết.

Lựa chọn loại niềng răng phù hợp nhất với nhu cầu điều trị
Niềng răng là giải pháp hiệu quả giúp điều trị các dạng sai lệch răng cùng khớp cắn, bảo vệ sức khỏe răng miệng và mang đến nụ cười tự tin cho người niềng. Tuy nhiên để quá trình niềng răng hiệu quả, cần chọn loại niềng răng phù hợp với tình trạng răng miệng, nhu cầu cá nhân và khả năng tài chính. Mỗi loại niềng răng cũng có những ưu và nhược điểm riêng biệt nên bệnh nhân cần cân nhắc kỹ trước khi lựa chọn.
CHUYÊN SÂU IMPLANT DÀNH CHO NGƯỜI VIỆT
- Cơ sở 1:19V Nguyễn Hữu Cảnh, P.19, Q.Bình Thạnh, TP.Hồ Chí Minh
- Cơ sở 2:193A-195 Hùng Vương, P.9, Quận 5, TP.Hồ Chí Minh
- Cơ sở 3:83 Đường số 3 Khu dân cư Cityland, P.10, Q.Gò Vấp, TP.Hồ Chí Minh