
Phủ Sứ Nano Là Gì? Giá Bao Nhiêu? Có Tốt Không?

Cố vấn chuyên môn:TS.BS. Nguyễn Hiếu Tùng
- Giám đốc Nha khoa I-DENT
- 10 năm tu nghiệp tại Pháp - hơn 10.000 ca Implant thành công
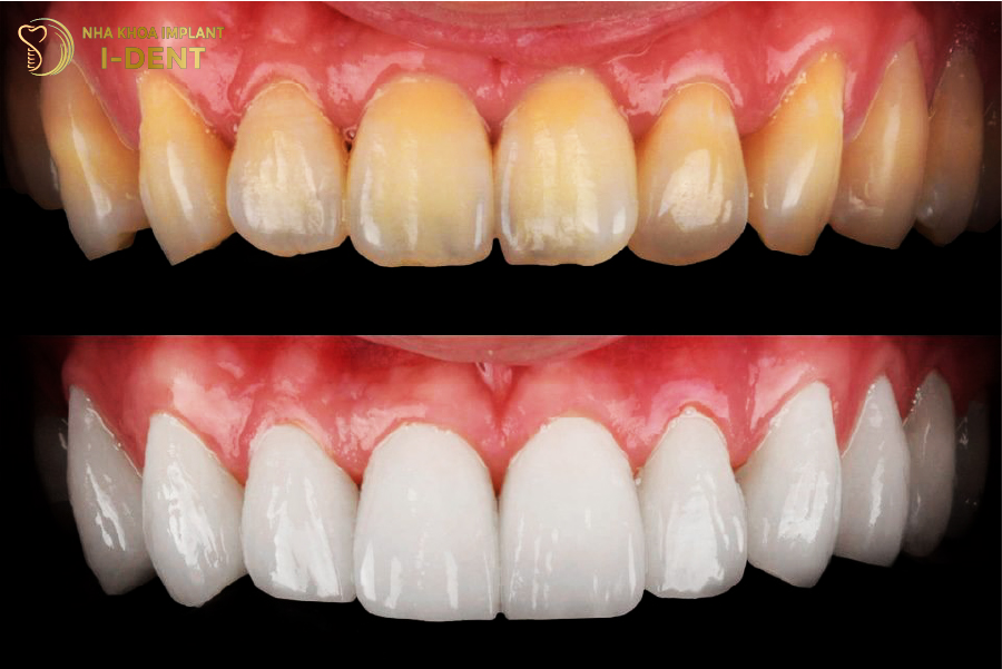
Răng ố vàng, xỉn màu gây mất thẩm mỹ, ảnh hưởng nhiều đến công việc và cuộc sống. Vì thế, nhiều người vì ngại mài răng nên đã không chọn kỹ thuật bọc sứ mà thay vào đó là phủ sứ nano. Nhưng thực tế, phương án này có tốt hay không? Hãy cùng phân tích trong bài viết sau.
1. Phủ sứ nano là gì?
Phủ sứ nano là dùng một loại vật liệu gọi là “sứ nano” phủ lên bề mặt răng để che đi các khuyết điểm như răng bị ố, bề mặt răng lồi lõm, răng khuyết, mẻ, thưa nhẹ… Chất liệu này có màu sắc, độ bóng gần giống như răng thật.
Phủ sứ nano thực chất thuộc kỹ thuật dán răng sứ Veneer. Đây là phương pháp sử dụng một mảnh sứ siêu mỏng chỉ khoảng 0.3 – 0.5mm để dán lên răng nhằm che đi những khuyết điểm của răng. Mão sứ sẽ được chế tác bởi công nghệ nano nên đảm bảo về độ cứng lẫn màu sắc của răng.
Bởi sự tiện lợi này mà phương án phủ sứ nano ngày càng được nhiều người tin dùng và chọn lựa. Tuy nhiên, bạn vẫn nên xem xét về uy tín và chất lượng của nha khoa trước khi quyết định thực hiện. Điều này sẽ giúp bạn tránh được những biến chứng xấu ảnh hưởng đến sức khỏe.

Phủ sứ nano
2. Dán răng sứ Nano giá bao nhiêu?
Tuy phương án dán sứ Nano được khá nhiều người biết đến, nhưng nếu so với các phương án phủ sứ khác như phủ sứ Veneer thì Nano vẫn có phần hạn chế hơn. Vì thế, cũng không có quá nhiều nha khoa thực hiện dịch vụ này. Nên mức chi phí cũng sẽ chênh lệch tại các nha khoa. Dán răng sứ Nano giá dao động trong khoảng 3.000.000VNĐ/răng – 5.000.000VNĐ/răng.
Tuy nhiên, lại có nhiều nơi phủ trắng răng nano giá chỉ vài triệu một hàm hoặc ưu đãi lên đến 50% hay 80%. Với mức giá này chắc chắn sẽ không đảm bảo được chất lượng phôi sứ cũng như tay nghề bác sĩ hay trang thiết bị tại nha khoa. Ngoài việc không đảm bảo được tính thẩm mỹ cho răng, còn có thể gây ra nhiều biến chứng như: Nhiễm trùng vùng nướu, răng sứ bị đổi màu, tổn thương răng thật,…
Ngoài ra, khi thực hiện phủ sứ nano tại những địa chỉ kém chất lượng bạn sẽ không được tham gia chế độ bảo hành răng sứ từ nhà sản xuất. Mọi vấn đề xảy ra khi sử dụng đều không được giải quyết.

Dán răng sứ nano giá bao nhiêu?
3. Phủ trắng răng nano có tốt không?
Phủ trắng răng nano mang lại nhiều ưu điểm như:
- Độ bền lên đến 15 năm tùy từng loại răng sứ. Bên cạnh đó, bạn cũng sẽ được hưởng chế độ bảo hành tương tự tùy từng hãng.
- Cải thiện tốt các khuyết điểm của răng như: Răng ố vàng, nhiễm màu, men răng bị bào mòn,…
- Màu sắc và kích thước răng sứ nano có thể tùy chỉnh dựa trên nhu cầu của khách hàng.
Tuy mang đến nhiều ưu điểm nhưng răng sứ nano vẫn còn tồn tại nhiều nhược điểm như sau:
- Không thể phục hình các trường hợp răng xỉn màu quá nặng hoặc răng bị thưa, móm, lệch lạc nặng,…
- Nếu không biết cách chăm sóc, răng sứ nano sẽ bị rơi rớt hoặc mẻ vỡ khi sử dụng, bởi độ cứng chắc của răng sứ nano chỉ đạt mức trung bình.
Vậy phủ trắng răng nano có tốt không? Câu trả lời sẽ tùy thuộc vào nhu cầu và điều kiện kinh tế của nhiều người. Nếu bạn là một người đòi hỏi một hàm răng vừa bền chắc, vừa thẩm mỹ thì nên tìm một dòng răng sứ khác, bởi có thể răng sứ nano sẽ không đáp ứng đủ yêu cầu của bạn.

Cải thiện tốt các khuyết điểm của răng như: Răng ố vàng, nhiễm màu, men răng bị bào mòn
4. Những loại phủ sứ khác tại Nha khoa I-DENT
Tại nha khoa I-DENT có thực hiện đầy đủ dịch vụ bọc sứ và dán sứ Veneer. Nha khoa I-DENT luôn mang đến cho khách hàng những dịch vụ tốt nhất, vì thế tại đây sẽ không có phủ sứ nano mà thay vào đó là những dòng răng sứ khác chất lượng hơn. Một số loại nổi bật có thể kể đến như: Veneer Emax Press của Veneer Emax, Veneer Lisi Press, Veneer Lisi Press Ultra Thin,… trong đó Veneer Emax là lựa chọn phổ biến nhờ tính thẩm mỹ và độ bền cao.
Toàn bộ răng sứ tại I-DENT đều được nhập khẩu từ Mỹ và Đức. Đảm bảo mang lại chất lượng tốt nhất cho khách hàng. Bạn hoàn toàn có thể yên tâm về nguồn gốc và xuất xứ của các loại răng sứ. Bởi 100% khách hàng đều được hưởng chế độ bảo hành răng sứ chính hãng từ nhà sản xuất. Nếu trong quá trình sử dụng có xảy ra vấn đề, nha khoa I-DENT sẽ tận tâm tư vấn và kiểm tra lại cho khách hàng.
| LOẠI RĂNG | CHI PHÍ |
|---|---|
| Veneer Emax CAD (Ivoclar – Đức) |
6.000.000 VNĐ/ Răng (Bảo hành 5 năm) |
| Veneer Emax Press (Ivoclar – Đức) |
8.000.000 VNĐ/Răng
6.400.000 VNĐ/Răng (Bảo hành 5 năm) |
| Veneer Lisi Press (GC – Mỹ) |
10.000.000 VNĐ/ Răng (Bảo hành 5 năm) |
| Veneer Lisi Press Ultra Thin (GC – Mỹ) |
12.000.000 VNĐ/Răng
9.600.000 VNĐ/Răng (Bảo hành 5 năm) |
| Thẩm mỹ răng sứ toàn hàm | Giảm 25% cho cho tất cả loại răng toàn sứ |
Bảng giá các loại dán sứ phổ biến khác tại I-DENT
CHUYÊN SÂU IMPLANT DÀNH CHO NGƯỜI VIỆT
- Cơ sở 1:19V Nguyễn Hữu Cảnh, P.19, Q.Bình Thạnh, TP.Hồ Chí Minh
- Cơ sở 2:193A-195 Hùng Vương, P.9, Quận 5, TP.Hồ Chí Minh
- Cơ sở 3:83 Đường số 3 Khu dân cư Cityland, P.10, Q.Gò Vấp, TP.Hồ Chí Minh