
Viêm Lợi Sau Khi Bọc Răng Sứ Do Đâu? Cách Khắc Phục

Cố vấn chuyên môn:TS.BS. Nguyễn Hiếu Tùng
- Giám đốc Nha khoa I-DENT
- 10 năm tu nghiệp tại Pháp - hơn 10.000 ca Implant thành công
Bọc răng sứ bị viêm lợi là tình trạng nướu sưng đỏ, chảy máu và đau nhức, nguyên nhân chính là do bác sĩ thực hiện sai kỹ thuật và vệ sinh răng chưa đúng. Khi bệnh nhân gặp tình trạng viêm nướu như trên thì nên đến gặp bác sĩ và thực hiện điều trị khắc phục kịp thời tránh các biến chứng nguy hiểm.
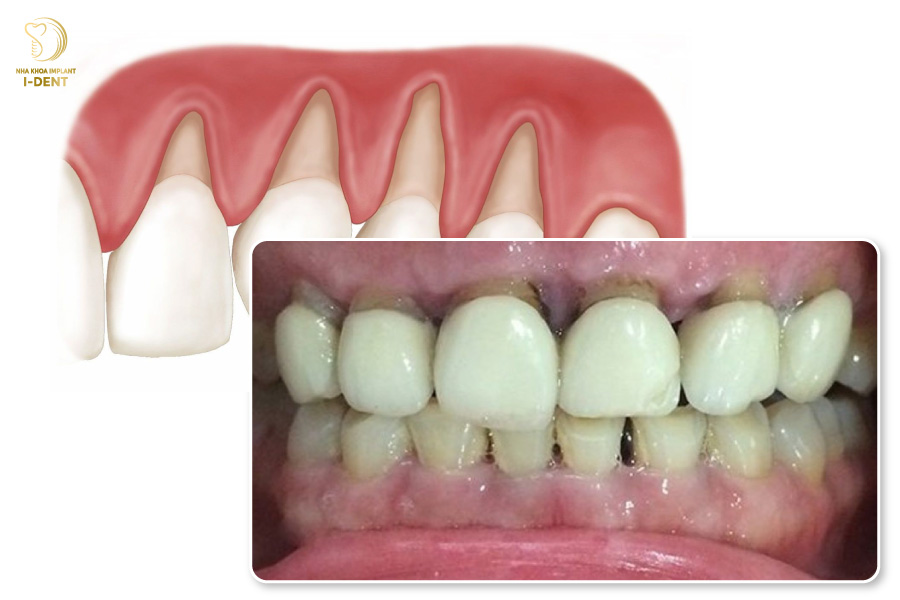
1. Dấu hiệu bọc răng sứ bị viêm lợi
Dấu hiệu nhận biết bọc răng sứ bị viêm lợi thường vùng nướu bị sưng to và tấy đỏ, cụ thể:
- Vùng nướu bị sưng to lên, tấy đỏ, có mùi hội. Một số trường hợp viêm chân răng bọc sứ nặng hơn sẽ xuất hiện ổ mủ có màu trắng đục.
- Nướu dễ chảy máu, đặc biệt là khi đánh răng. Mức độ ngày càng nghiêm trọng hơn theo thời gian.
- Vị trí tiếp xúc giữa mô lợi và răng sứ bị đau nhức và mất thẩm mỹ.
- Miệng có mùi hôi khó chịu.
Tình trạng bọc răng sứ bị viêm lợi gây ảnh hưởng lớn đến giao tiếp và sinh hoạt hằng ngày. Nếu không điều trị sớm, tình trạng này sẽ gây tụt nướu, lộ chân răng, tiêu xương, răng lung lay và thậm chị là gãy rụng ảnh hưởng chức năng nhai.

Tụt nướu, lộ chân răng gây mất thẩm mỹ
2. Nguyên nhân bọc răng sứ bị viêm lợi, sưng nướu
Nhiệm vụ chính của lợi là bám quanh cổ tăng để tạo hàng rào vững chắc ngăn cản vi khuẩn và các tác nhân gây hại tấn công mô nha chu, từ đó bảo vệ tổ chức quanh răng khỏi viêm nhiễm. Tuy nhiên, trong quá trình làm răng sứ có nhiều nguyên nhân khiến lợi bị viêm nhiễm, làm hàng rào bảo vệ bị suy yếu và vi khuẩn dễ dàng xâm nhập. Cụ thể:
- Làm răng sứ bị viêm lợi là do răng sứ được chế tác ra có kích thước không chính xác, dẫn đến tình trạng răng sứ bị cộm, hở,…
- Bác sĩ thiếu trình độ và tay nghề yếu dẫn đến nhiều thiếu sót trong quá trình bọc răng sứ như không điều trị dứt điểm bệnh lý, mài răng quá sâu làm xâm phạm đến vùng nướu,… Từ đó tạo điều kiện cho vi khuẩn xâm nhập, phá hủy tổ chức quanh răng và gây viêm lợi sau khi bọc răng sứ.
- Bác sĩ không làm sạch kỹ chất gắn kết còn dư sau khi lắp răng sứ, tạo điều kiện cho vi khuẩn tích tụ, dẫn đến nhiễm trùng và có thể gây viêm chân răng bọc sứ.
- Bệnh nhân không vệ sinh răng miệng sạch sẽ sau khi gắn răng sứ, khiến vi khuẩn tích tụ và gây ra viêm nướu.
- Bệnh nhân dị ứng với thành phần nào đó trong răng sứ cũng có thể dẫn đến tình trạng bọc răng sứ bị viêm lợi.

Bọc răng sứ bị viêm lợi, sưng đỏ do sai kỹ thuật
3. Cách khắc phục bọc răng sứ bị viêm lợi
Khi gặp tình trạng viêm lợi sau khi bọc răng sứ bệnh nhân nên đến gặp bác sĩ ngay để được điều trị. Dựa trên nguyên nhân và mức độ nghiêm trọng của bệnh, bác sĩ sẽ chỉ định các phương án điều trị bọc răng sứ thẩm mỹ như sau:
3.1. Sử dụng thuốc theo chỉ định bác sĩ
Nếu tình trạng viêm lợi sau khi bọc răng sứ không quá nghiêm trọng thì bác sĩ có thể chỉ định bệnh nhân chăm sóc tại nhà hoặc điều trị không xâm lấn bằng thuốc giảm đau không kê đơn như Acetaminophen hoặc Ibuprofen. Bệnh nhân nên tuân theo chỉ dẫn của bác sĩ cũng như không tự mua thuốc bên ngoài và tự điều trị.
3.2. Cạo vôi răng
Với bệnh nhân viêm nướu không quá nặng, bác sĩ sẽ cạo vôi răng và làm sạch mảng bám để loại bỏ môi trường sống của vi khuẩn. Sau một thời gian thì tình trạng viêm nhiễm sẽ cải thiện.
3.3. Bọc lại răng sứ mới
Trong trường hợp không thể sử dụng thuốc, thì bác sĩ sẽ bọc lại răng sứ cho bệnh nhân. Khi bọc lại, phần răng sứ và chân răng khít với nhau giúp lợi không ảnh hưởng nên không bị viêm nhiễm.
3.4. Điều trị xâm lấn bằng phẫu thuật
Nếu làm răng sứ bị viêm lợi ở mức độ nặng thì sẽ điều trị xâm lấn và nếu nghiêm trọng hơn thì bác sĩ sẽ cắt nướu cho bệnh nhân.
Cắt nướu:
Cắt nướu được thực hiện khi tình trạng viêm xương ổ răng dẫn đến viêm nướu kéo dài. Bác sĩ sẽ tiến hành làm sạch phần lợi bị viêm và cắt bỏ một phần lợi, điều này làm hạn chế tối đa sự tiếp xúc giữa lợi và mão răng sứ để tránh viêm lợi.
Phẫu thuật ghép lợi:
Phẫu thuật ghép lợi được thực hiện khi viêm lợi quá nghiêm trọng và phá vỡ khoảng sinh học. Bác sĩ sẽ cắt bỏ phần răng sứ cũ, sau đỏ di dời và tái sinh khoảng sinh học. Sau 20-30 ngày khi khoảng sinh học ổn định thì bác sĩ bọc răng sứ lại cho người bệnh.
3.5. Chăm sóc nướu đúng cách khi làm răng sứ bị viêm lợi
Nếu bệnh nhân làm răng sứ bị viêm lợi do chưa chăm sóc răng miệng đúng cách thì cần lưu ý chăm sóc:
- Bệnh nhân cần dùng bàn chải nhỏ mềm để đánh răng ít nhất 2 lần/ngày sau bữa ăn để làm sạch vụn thức ăn. Thời gian chải răng từ 5 phút trở lên để đảm bảo răng miệng sạch sẽ.
- Bệnh nhân nên sử dụng thêm chỉ nha khoa, máy tăm nước và nước súc miệng để loại bỏ sạch sẽ mảnh vụn thức ăn trong kẽ răng.

Làm lại răng sứ mới để khắc phục triệt để tình trạng sưng viêm
4. Cách giảm sưng nướu sau bọc sứ tại nhà
Để răng bọc sứ giảm sưng nướu thì bệnh nhân có thể dùng nước muối súc miệng. Thực hiện bằng cách pha ½ thìa muối với nước ấm, sau đó ngậm và súc miệng trong 30 giây rồi nhổ ra và súc miệng lại bằng nước sạch. Thực hiện 2-3 lần mỗi ngày.
Bệnh nhân có thể dùng thảo dược có tính chống viêm nướu và giảm đau răng như: hoa cúc, nghệ và gừng. Thực hiện bằng cách ngâm thảo dược với nước nóng, đợi nguội rồi dùng để súc miệng và sau đó súc lại với nước sạch.
Bệnh nhân nên hạn chế ăn thực phẩm quá cứng, dính hoặc quá ngọt để giảm kích ứng răng và tránh không ăn thức ăn quá nóng hoặc quá lạnh, chỉ ăn thức ăn vừa đủ ấm để tránh ảnh hưởng răng và nướu.
5. Lưu ý khi bọc răng sứ phòng ngừa viêm lợi
Để tránh tình trạng bọc răng sứ bị đau nướu cùng nhiều biến chứng khác đối với sức khỏe răng miệng sau khi bọc răng sứ, khách hàng cần lưu ý những điều sau:
Điều quan trọng hàng đầu chính là lựa chọn một địa chỉ nha khoa làm răng sứ, uy tín, đảm bảo đáp ứng đầy đủ tiêu chuẩn của Sở Y tế. Cách tốt nhất là khách hàng nên đến thăm khám trực tiếp tại nha khoa để xem xét cơ sở vật chất cũng như trao đổi cụ thể với bác sĩ trước khi quyết định có bọc răng sứ hay không.

Lựa chọn nha khoa uy tín để đảm bảo bọc răng sứ an toàn
Đồng thời, bác sĩ thực hiện phải là người có đầy đủ bằng cấp, chứng chỉ hành nghề và nhiều năm kinh nghiệm. Bác sĩ cần lên kế hoạch điều trị chính xác và tiến hành bọc sứ nhanh chóng, an toàn.
Ngoài ra, răng sứ được sử dụng phải đảm bảo về nguồn gốc, xuất xứ và đến từ những thương hiệu uy tín. Đặc biệt phải có thẻ bảo hành chính hãng đi kèm để bệnh nhân có thể tra cứu thông tin bảo hành trên website chính hãng.
Cuối cùng, sau khi hoàn tất quy trình bọc sứ, khách hàng phải tuân thủ theo các hướng dẫn chăm sóc răng miệng từ bác sĩ để giữ gìn răng sứ lẫn răng thật một cách tốt nhất, không để xảy ra tình trạng bọc sứ bị đau nướu.
Tóm lại, tình trạng bọc răng sứ bị viêm lợi xảy ra do nhiều nguyên nhân nhưng chủ yếu đến từ tay nghề bác sĩ và chế độ chăm sóc không tốt sau bọc sứ. Trong trường hợp mắc phải viêm lợi khi bọc răng sứ, bạn hãy đến ngay nha khoa để được bác sĩ kiểm tra, xác định nguyên nhân và điều trị kịp thời.
CHUYÊN SÂU IMPLANT DÀNH CHO NGƯỜI VIỆT
- Cơ sở 1:19V Nguyễn Hữu Cảnh, P.19, Q.Bình Thạnh, TP.Hồ Chí Minh
- Cơ sở 2:193A-195 Hùng Vương, P.9, Quận 5, TP.Hồ Chí Minh
- Cơ sở 3:83 Đường số 3 Khu dân cư Cityland, P.10, Q.Gò Vấp, TP.Hồ Chí Minh