
Niềng răng xong có bị chạy lại không? Cách khắc phục

Cố vấn chuyên môn:TS.BS. Nguyễn Hiếu Tùng
- Giám đốc Nha khoa I-DENT
- 10 năm tu nghiệp tại Pháp - hơn 10.000 ca Implant thành công
Niềng răng xong vẫn có thể bị chạy lại nếu không đeo hàm duy trì hoặc đeo hàm duy trì sai cách. Vì răng sau khi niềng vẫn chưa kịp ổn định hoàn toàn trong xương hàm nên cần đeo hàm duy trì để cố định răng và khi mất đi lực cố định này răng sẽ dễ dịch chuyển dẫn đến sai lệch lại vị trí ban đầu. Do đó, để răng không bị chạy lại bạn cần đeo hàm duy trì theo chỉ định của bác sĩ.
1. Niềng răng xong có bị chạy lại không?
Răng có thể bị chạy lại sau khi niềng là hiện tượng hoàn toàn bình thường và có thể kiểm soát được. Nguyên nhân dẫn đến tình trạng này do không đeo hàm duy trì hoặc đeo sai cách. Vì sau khi tháo niềng các mô xương và mô mềm quanh chân răng vẫn chưa ổn định ngay mà cần thời gian để tái cấu trúc và thích nghi với vị trí răng mới nên trong giai đoạn này không có biện pháp hỗ trợ giữ răng như đeo hàm duy trì thì lực co kéo tự nhiên của mô quanh răng sẽ làm răng dịch chuyển sai lệch lại vị trí cũ.
Thực tế, khoảng 70% ca chỉnh nha có khả năng gặp phải tình trạng răng bị chạy lại sau khi tháo niềng, điều này cho thấy việc duy trì vị trí răng sau niềng cũng quan trọng không kém giai đoạn siết răng.
Hiện tượng niềng răng xong răng bị chạy lại được gọi là chạy răng (hay di răng) là tình trạng răng tiếp tục di chuyển làm thay đổi vị trí đã được sắp xếp ổn định trước đó. Nếu không được kiểm soát kịp thời thì răng bị chạy lại sau khi tháo niềng sẽ gây xô lệch, nghiệp vẹo hoặc sai khớp cắn làm yếu mô nâng đỡ năng và ảnh hưởng đến thẩm mỹ khuôn mặt.
Một số dấu hiệu cho thấy răng đang bị chạy lại:
- Xuất hiện khe hở giữa các răng.
- Tình trạng hô, móm hoặc răng khấp khểnh tái phát.
- Răng bị nghiêng hoặc xoay nhẹ so với vị trí ban đầu.
- Cảm giác căng tức khi đeo hàm duy trì.
- Trước và sau niềng răng, khớp cắn thay đổi và cảm giác hai hàm không còn khớp như trước.

Răng sau niềng bị chạy ảnh hưởng lớn đến sức khỏe răng miệng.
2. Nguyên nhân răng bị chạy sau tháo niềng?
Răng bị chạy lại sau khi tháo niềng thường xuất phát từ 4 nguyên nhân chính như không đeo hàm duy trì hoặc đeo sai cách, tay nghề bác sĩ chưa tốt, răng khôn mọc ngầm hoặc mọc chen lấn và các thói quen xấu trong sinh hoạt hằng ngày.
2.1 Không đeo hàm duy trì hoặc đeo sai cách
Hiện tượng tháo niềng răng bị chạy lại phần lớn là do bệnh nhân không đeo hàm duy trì hoặc sử dụng sai cách. Trước đó răng được neo giữ nhờ các khí cụ chỉnh nha mới có thể giữ được vững chắc nên sau khi tháo niềng phải cần thêm một khoảng thời gian mang hàm duy trì để giúp mô xương và nướu được ổn định. Vì vậy nếu không đeo hàm duy trì đủ thời gian hoặc đeo sai cách thì răng dễ bị xê dịch trở lại.

Răng bị chạy lại sau khi tháo niềng do không đeo hàm duy trì hoặc đeo sai cách.
2.2 Tay nghề của bác sĩ kém
Tay nghề và kinh nghiệm của bác sĩ là yếu tố quyết định lớn đến sự thành công của một ca niềng răng. Trong suốt quy trình niềng răng, bác sĩ sẽ là người lập phác đồ điều trị và tính toán chính xác hướng, tốc độ cũng như mức độ dịch chuyển của răng.
Nếu bác sĩ thiếu chuyên môn hoặc kinh nghiệm, rất dễ xảy ra các sai sót như chẩn đoán không đúng, đánh giá sai tình trạng xương hàm hay điều chỉnh lực siết quá mạnh hoặc quá nhẹ khiến răng dịch chuyển không đúng quỹ đạo. Nghiêm trọng hơn, khi khớp cắn chưa đạt chuẩn nhưng bác sĩ đã quyết định tháo niềng thì lực ăn nhai hàng ngày sẽ tác động lên răng và làm chúng chạy lệch trở lại.

Tay nghề bác sĩ kém khiến cho kết quả niềng răng không thể duy trì lâu dài.
2.3. Răng khôn mọc ngầm hoặc mọc chen lấn
Răng khôn mọc ngầm, mọc lệch hoặc đâm ngang là một trong những yếu tố dễ khiến răng bị chạy lại sau khi tháo niềng. Khi răng khôn phát triển trong tình trạng thiếu khoảng trống sẽ tạo ra lực đẩy mạnh lên các răng phía trước. Lực đẩy này diễn ra âm thầm nhưng liên tục làm ảnh hưởng đến hướng dịch chuyển tự nhiên của răng và khiến những răng đã được sắp xếp thẳng hàng xô lệch trở lại.

Răng khôn mọc ngầm làm răng bị chạy lại sau khi tháo niềng.
2.4 Thói quen xấu
Các thói quen như nghiến răng, cắn bút, đẩy lưỡi, nhai một bên, thở bằng miệng, mút tay hoặc cắn móng tay,… đều có thể tạo lực tác động liên tục lên răng và làm cho răng dịch chuyển theo thời gian. Khi không còn mắc cài hoặc khay niềng trong suốt để kiểm soát lực thì những thói quen này tạo ra lực tác động liên tục làm răng dịch chuyển sai vị trí mà bệnh nhân không nhận ra.
3. Cách khắc phục răng bị chạy sau khi niềng
Để khắc phục răng bị chạy lại sau khi tháo niềng bệnh nhân cần kết hợp đeo hàm duy trì đúng cách, nhổ bỏ răng khôn mọc ngầm và tái khám định kỳ để bác sĩ theo dõi các thay đổi nhỏ trong quá trình răng ổn định. Dưới đây là những cách khắc phục hiệu quả mà bác sĩ khuyến nghị:
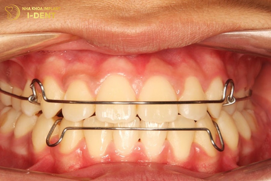
3.1. Sử dụng hàm duy trì
Bạn cần sử dụng hàm duy trì để khắc phục răng bị chạy sau khi niềng vì hàm duy trì là giải pháp quan trọng nhất giúp cố định răng và giữ răng ở đúng vị trí đã được sắp xếp ngăn răng dịch chuyển trở lại do lực co kéo tự nhiên của mô xương và mô mềm.

Đeo hàm duy trì đúng cách để giữ răng không bị dịch chuyển.
3.2 Đeo hàm duy trì đúng cách
Trường hợp răng chỉ mới chạy ít trong thời gian đầu sau khi tháo niềng thì bác sĩ sẽ lấy dấu mẫu hàm chế tác hàm duy trì để giữ răng về đúng vị trí và sớm ổn định trong xương hàm. Sau khi có hàm duy trì bệnh nhân cần đeo hàm liên tục 24 giờ đầu tiên để cố định răng, sau đó thời gian đeo sẽ được rút ngắn dần ở những giai đoạn tiếp theo, chuyển sang đeo buổi tối hoặc giảm tần suất do bác sĩ chỉ định cho đến khi răng đã cố định hoàn toàn và không còn dấu hiệu chạy răng.
3.3. Niềng răng lại lần 2
Nếu niềng răng bị chạy lại nhiều ở mức độ sai lệch nghiêm trọng thì có thể bệnh nhân phải thực hiện niềng lần 2 để khắc phục. Lúc này, người bệnh cần phải tìm đến một nha khoa niềng răng uy tín, với đội ngũ bác sĩ chuyên môn cao, có nhiều kinh nghiệm và tay nghề giỏi để phòng ngừa vấn đề điều chỉnh lực sai cách dẫn đến răng chạy lại sau khi tháo niềng.
3.4. Nhổ bỏ răng khôn mọc ngầm
Nếu răng chạy lại do răng khôn mọc ngầm gây áp lực lên răng hàm lớn và răng cửa thì bác sĩ sẽ chỉ định nhổ răng khôn để loại bỏ nguyên nhân làm chạy răng. Việc nhổ răng khôn càng sớm càng hạn chế tổn thương và ngăn tái phát chạy răng về sau. Sau khi nhổ răng khôn, bác sĩ sẽ đánh giá lại mức độ di răng và kết hợp đeo hàm duy trì để giữ răng ổn định trong quá trình xương hàm thích nghi.
Tùy theo tình trạng răng và mật độ xương hàm của từng bệnh mà mà bác sĩ chỉ định thời gian đeo hàm duy trì khác nhau:
- Trong 3–6 tháng đầu người bệnh cần đeo hàm duy trì từ 12–20 giờ/ngày.
- Trong 6 tháng tiếp theo bệnh nhân chỉ cần đeo hàm duy trì chủ yếu được đeo vào ban đêm khi ngủ.
- Khi đã đeo hàm duy trì liên tục đủ 12 tháng, bác sĩ khuyến khích tiếp tục đeo 3–4 ngày mỗi tuần và chủ yếu vào ban đêm để đảm bảo răng được ổn định lâu dài và hạn chế nguy cơ chạy lại.
3.5. Tái khám định kỳ
Tái khám định kỳ giúp bác sĩ theo dõi các thay đổi nhỏ trong quá trình răng ổn định, từ đó điều chỉnh hàm duy trì hoặc phát hiện và xử lý kịp thời các vấn đề như tiêu chân răng, lệch khớp cắn hay răng khôn mọc sai vị trí. Bạn nên thăm khám nha khoa định kỳ 3–6 tháng/lần để răng giữ được trạng thái ổn định lâu dài và hạn chế tối đa tình trạng chạy răng sau niềng.

Tái khám định kỳ giúp bác sĩ theo dõi những thay đổi nhỏ và xử lý kịp thời.
4. Cách ngăn ngừa răng bị chạy lại sau khi tháo niềng
Để ngăn ngừa tình trạng răng sau khi niềng bị chạy, bạn nên chú ý một số vấn đề sau:
- Đeo hàm duy trì đúng chỉ định: Đeo hàm duy trì đúng cách và đúng thời gian theo chỉ định của bác sĩ. Không nên vì cảm thấy vướng víu hay bất tiện mà tự ý bỏ đeo vì sẽ làm răng mất lực cố định và dễ xô lệch trở lại.
- Vệ sinh và chăm sóc răng miệng đúng cách: Vệ sinh răng miệng kỹ lưỡng mỗi ngày, đánh răng ít nhất 2 lần/ngày với bàn chải lông mềm và kem đánh răng có chứa Fluor. Dùng thêm chỉ nha khoa và nước súc miệng để ngăn ngừa mảng bám tích tụ gây viêm nướu làm ảnh hưởng đến độ ổn định của răng sau niềng.
- Loại bỏ các thói quen xấu: Những thói quen như đẩy lưỡi, mút tay, cắn móng tay… có thể tạo lực tác động lên răng khiến răng yếu dần và dễ chạy lại nên cần loại bỏ các thói quen này để bảo vệ kết quả niềng lâu dài.
- Chú ý chế độ ăn uống: Hạn chế các thức ăn dai, cứng, dẻo… nên ưu tiên những đồ mềm, dễ nhai nuốt để không gây áp lực lớn lên răng. Bổ sung thực phẩm chứa nhiều vitamin và khoáng chất như trứng, sữa cùng các chế phẩm từ sữa (bơ, phô mai,..), các loại rau củ và trái cây tươi.
- Tái khám định kỳ: Khám răng định kỳ 6 tháng/lần để bác sĩ cạo vôi làm sạch răng và kiểm tra mức độ ổn định của hàm răng, kiểm soát tốt sức khỏe răng miệng.

Chăm sóc răng miệng kỹ lưỡng để hạn chế răng chạy lại sau khi tháo niềng.
5. Câu hỏi thường gặp
5.1. Đeo hàm duy trì bao lâu thì răng ổn định?
Bạn cần đeo hàm duy trì liên tục trong khoảng 12 tháng đầu tiên để răng ổn định. Trong 3-6 tháng đầu bạn cần đeo hàm duy trì 20-22 giờ/ngày để răng ổn định và thích nghi với vị trí mới. Sau đó giảm dần xuống còn đeo chủ yếu vào ban đêm khi ngủ, tùy vào sự ổn định của răng và chỉ định của bác sĩ.
5.2. Niềng răng chạy nhanh có tốt không?
Niềng răng chạy nhanh không tốt vì có thể gây ra nhiều biến chứng nguy hiểm cho răng và xương hàm như mất răng, tiêu xương ổ răng, tổn thương mô nướu làm răng lung lay và ảnh hưởng xấu đến kết quả niềng răng về lâu dài. Bạn nên tuân thủ đúng lộ trình của bác sĩ để đảm bảo hiệu quả niềng và sức khỏe răng miệng.
Tóm lại, niềng răng xong vẫn có thể bị chạy lại do nhiều nguyên nhân như không đeo hàm duy trì đúng cách, răng khôn mọc lệch hoặc phác đồ điều trị chưa phù hợp. Để khắc phục tình trạng này, bạn nên đeo hàm duy trì đúng chỉ định, nhổ răng khôn khi cần thiết và tái khám định kỳ theo lịch hẹn. Nếu phát hiện răng có dấu hiệu di chuyển thì bạn nên đến nha khoa uy tín để được bác sĩ kiểm tra và đưa ra giải pháp phù hợp.
CHUYÊN SÂU IMPLANT DÀNH CHO NGƯỜI VIỆT
- Cơ sở 1:19V Nguyễn Hữu Cảnh, P.19, Q.Bình Thạnh, TP.Hồ Chí Minh
- Cơ sở 2:193A-195 Hùng Vương, P.9, Quận 5, TP.Hồ Chí Minh
- Cơ sở 3:83 Đường số 3 Khu dân cư Cityland, P.10, Q.Gò Vấp, TP.Hồ Chí Minh