
Viêm Tủy Răng Có Mủ: Dấu Hiệu, Nguyên Nhân Và Cách Điều Trị

Cố vấn chuyên môn:TS.BS. Nguyễn Hiếu Tùng
- Giám đốc Nha khoa I-DENT
- 10 năm tu nghiệp tại Pháp - hơn 10.000 ca Implant thành công
Viêm tủy răng có mủ là bệnh lý răng miệng nguy hiểm, được các bác sĩ nha khoa cảnh báo phải điều trị càng sớm càng tốt, nếu không nguy cơ mất răng vĩnh viễn rất cao. Vậy bệnh lý này bắt nguồn từ những nguyên nhân nào? Có dấu hiệu gì đặc trưng và cách xử lý ra sao? Hãy cùng tìm hiểu cụ thể trong bài viết sau đây nhé!
1. Bệnh viêm tủy răng có mủ là như thế nào?
Răng có cấu tạo gồm 3 lớp là men răng, ngà răng và tủy răng. Trong đó, tủy răng là phần quan trọng nhất, đảm nhiệm vai trò dẫn truyền các xung thần kinh và cung cấp dinh dưỡng cho răng. Do đó, khi tủy bị tổn thương sẽ mang đến cảm giác đau đớn và gây ra nhiều biến chứng nguy hiểm.
Viêm tủy răng có mủ là một trong những tổn thương tủy nghiêm trọng. Đây là tình trạng tủy răng bị vi khuẩn xâm nhập, tấn công và gây nhiễm trùng, tạo thành ổ áp xe ở quanh chân răng. Người bệnh lúc này sẽ cảm thấy đau nhức vô cùng dữ dội.

Viêm tủy răng xuất hiện mủ gây đau dữ dội và kéo dài
Những dấu hiệu viêm tủy răng có mủ dễ nhận biết như:
- Những cơn đau nhức răng dữ dội liên tục xảy ra, kéo dài thành từng cơn.
- Cơn đau răng lan đến cả vùng hàm, đầu, cổ… khiến người bệnh không thể nghỉ ngơi.
- Răng nhạy cảm với đồ ăn, đặc biệt là thực phẩm nóng, lạnh.
- Phần nướu xung quanh chân răng bị sưng đỏ. Dùng tay ấn vào sẽ có cảm giác mềm và đau nhức.
- Xuất hiện mủ chảy chân răng và khoang miệng có mùi hôi khó chịu.
- Sốt trên 38 độ, nổi hạch ở góc hàm, cơ thể mệt mỏi.
Viêm tủy răng ở giai đoạn nặng nếu không điều trị kịp thời sẽ gây ra nhiều biến chứng nguy hiểm khác như: Chết tủy răng, hoại tử tủy, viêm xương hàm, mất răng vĩnh viễn.

Người bệnh sốt cao, sưng ở vùng má có răng bị viêm tủy
2. Nguyên nhân dẫn đến bệnh viêm tủy răng có mủ
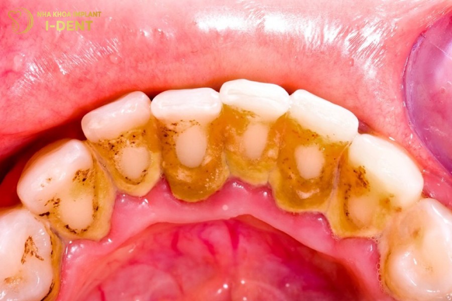
Tình trạng viêm tủy răng có mủ liên quan mật thiết đến vấn đề vệ sinh răng miệng. Khi mảng bám trên răng không được làm sạch sẽ tích tụ ngày càng nhiều, vi khuẩn có điều kiện sinh sôi tấn công gây hại cho răng. Men răng bị bào mòn, làm lộ ngà răng, tăng nguy cơ viêm nhiễm tủy răng.
Ngoài việc vệ sinh răng miệng kém, còn nhiều nguyên nhân khác dẫn đến tình trạng viêm tủy răng có mủ có thể kể đến như:
- Bị viêm nướu răng kéo dài không được điều trị gây viêm nha chu, lâu dần viêm nhiễm phát triển nặng gây viêm tủy răng có mủ.
- Răng bị sâu nặng, không được kiểm soát làm tủy bị viêm nhiễm, dần dần hình thành ổ mủ quanh chân răng do vi khuẩn phát triển ồ ạt.
- Ăn uống không khoa học, ăn nhiều đồ ngọt, đồ chua, nước có ga, rượu bia,… làm men răng cứng bị bào mòn, lâu dần tổn thương ngà răng rồi đến tủy răng.
- Chấn thương răng miệng do tai nạn hoặc ảnh hưởng từ các kỹ thuật nha khoa thực hiện không an toàn. Chẳng hạn như trám răng, bọc sứ, niềng răng… tại các nha khoa không chất lượng.

Mảng bám vôi răng là nguyên nhân hàng đầu gây viêm tủy răng
3. Điều trị viêm tủy răng có mủ hiệu quả và triệt để
Để điều trị viêm tủy răng có mủ, bác sĩ sẽ tách biệt khu vực bị nhiễm trùng, làm giảm triệu chứng đau nhức và loại bỏ ổ viêm bằng các cách sau:
- Phẫu thuật dẫn lưu áp xe nhằm rút mủ ra khỏi vị trí bị áp xe, giúp tổn thương mau lành hơn. Tiến hành lấy các dị vật trong nướu nếu có.
- Cạo vôi răng để loại bỏ mảng bám, vi khuẩn gây hại.
- Trường hợp tủy bị tổn thương nặng sẽ phải điều trị tủy. Bác sĩ sẽ loại bỏ hoàn toàn phần tủy viêm và trám bít ống tủy bằng vật liệu chuyên dụng. Sau đó bọc sứ để bảo vệ răng thật được tốt nhất.
- Trường hợp tủy răng có mủ quá nghiêm trọng, không thể điều trị bảo tồn răng thật thì bác sĩ buộc phải chỉ định nhổ răng.

Tùy vào mức độ viêm tủy, bác sĩ sẽ đưa ra phương án điều trị khác nhau
Viêm tủy răng có mủ là một bệnh lý răng miệng nguy hiểm, nếu không chữa trị kịp thời có thể gây ra nhiều hệ lụy nghiêm trọng khác cho sức khỏe răng miệng nói riêng và cơ thể nói chung. Do đó, ngay khi phát hiện các dấu hiệu bất thường của răng miệng, người bệnh nên nhanh chóng tới nha khoa để bác sĩ kiểm tra và thăm khám tổng quát.
CHUYÊN SÂU IMPLANT DÀNH CHO NGƯỜI VIỆT
- Cơ sở 1:19V Nguyễn Hữu Cảnh, P.19, Q.Bình Thạnh, TP.Hồ Chí Minh
- Cơ sở 2:193A-195 Hùng Vương, P.9, Quận 5, TP.Hồ Chí Minh
- Cơ sở 3:83 Đường số 3 Khu dân cư Cityland, P.10, Q.Gò Vấp, TP.Hồ Chí Minh