
Bị Nhiễm Trùng Khi Bọc Răng Sứ: Nguyên Nhân Và Cách Khắc Phục

Cố vấn chuyên môn:TS.BS. Nguyễn Hiếu Tùng
- Giám đốc Nha khoa I-DENT
- 10 năm tu nghiệp tại Pháp - hơn 10.000 ca Implant thành công
Bất kỳ ai sau khi bọc răng sứ cũng mong muốn có được hàm răng đều đẹp, chắc khỏe. Tuy nhiên, bởi một số nguyên nhân đã dẫn đến tình trạng nhiễm trùng răng sứ gây đau nhức, khó chịu và kéo theo nhiều biến chứng nguy hiểm. Vậy biện pháp để xử lý tình trạng này như thế nào? Hãy cùng tìm hiểu trong bài viết ngay sau đây.
1. Biểu hiện bị nhiễm trùng khi bọc răng sứ
Bọc răng sứ là phương án được sử dụng phổ biến và rất nhiều người ưa chuộng. Bởi khả năng khắc phục hiệu quả tình trạng răng mắc khuyết điểm về mặt chức năng hoặc thẩm mỹ. Mang đến cho khách hàng hàm răng đều đẹp và trắng sáng hơn.
Tuy nhiên, thực tế không phải ca bọc sứ nào cũng thành công. Không ít khách hàng đã gặp phải biến chứng nhiễm trùng sau khi làm răng sứ, với những biểu hiện dễ nhận thấy như sau:
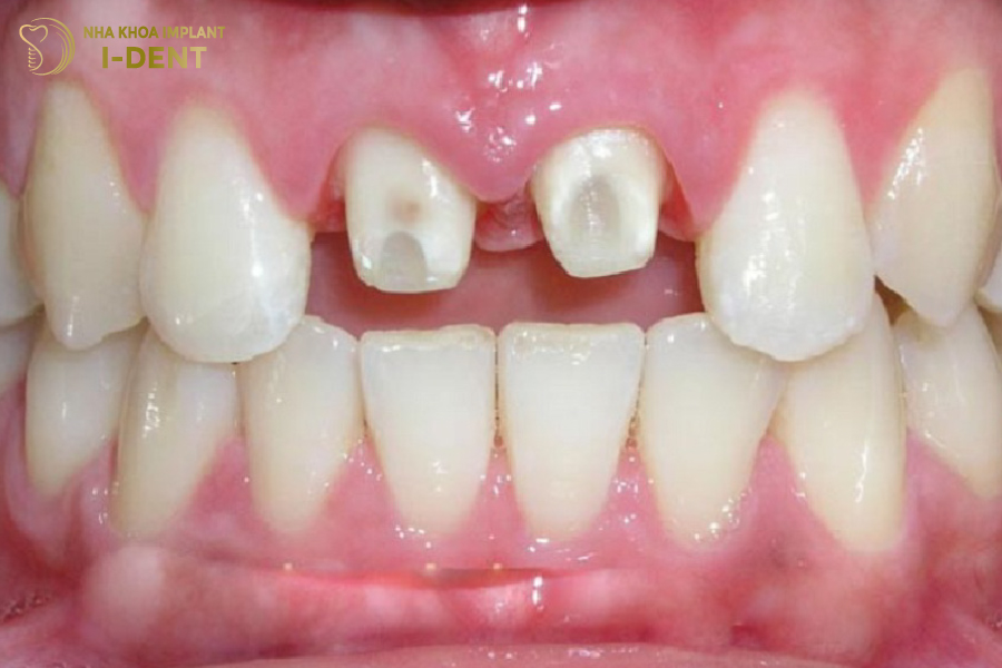
- Vùng nướu lợi có biểu hiện sưng và tấy đỏ.
- Vùng tiếp xúc giữa răng sứ với nướu và chân răng đau nhức, khó chịu. Đặc biệt nặng nề hơn khi nhai, cắn thức ăn.

Vùng lợi giữa răng sứ và nướu sưng đỏ do nhiễm trùng
- Chân răng chảy máu dù chỉ tác động nhẹ.
- Hơi thở có mùi hôi khó chịu.
Một số triệu chứng nghiêm trọng hơn như:
- Có mủ tích tụ đầu chân răng.
- Sốt, sưng hạch bạch huyết.
- Răng sứ lung lay, không chắc chắn.
- Cứng hàm, khó há miệng hoặc ăn uống.
2. Nguyên nhân gây nhiễm trùng khi bọc răng sứ
Nhiễm trùng khi bọc răng sứ có thể liên quan đến nhiều nguyên nhân khác nhau. Trong đó có 05 nguyên nhân phổ biến sau đây:
2.1 Bác sĩ thực hiện sai kỹ thuật
Đây là nguyên nhân hàng đầu dẫn đến tình trạng nhiễm trùng răng sứ. Với bác sĩ không có chuyên môn và tay nghề kém, sẽ dễ xảy ra nhiều sai sót trong quá trình bọc sứ như:
- Vệ sinh khoang miệng không sạch sẽ, tạo điều kiện cho vi khuẩn phát triển và tấn công răng gây nhiễm trùng.
- Mài răng sai tỷ lệ làm tổn thương nướu, ngà răng và ống tủy. Từ đó tăng nguy cơ nhiễm trùng răng sau khi bọc sứ.

Bác sĩ tay nghề kém có thể mài răng sai tỷ lệ, gây tổn thương ngà răng
- Tác động mạnh đến nướu, làm nướu bị kích ứng và dễ nhiễm trùng.
- Lắp răng sứ vào răng thật đã mài không sát khít, tạo ra kẽ hở là môi trường thuận lợi cho thức ăn tồn đọng và vi khuẩn sinh sôi gây sâu răng, viêm nướu, viêm tủy… Dẫn đến nhiễm trùng, thậm chí áp xe răng.
2.2 Mài răng xâm phạm vào khoảng sinh học
Khoảng sinh học (barier) bảo vệ xung quanh răng và có khả năng ngăn chặn sự tấn công của vi khuẩn đến những cấu trúc quan trọng như ngà răng, ống tủy… Nếu quá trình mài răng xâm phạm đến khoảng sinh học, sẽ kích thích phát triển một barier mới. Tuy nhiên, sự xuất hiện của barier mới thường kèm theo tình trạng tụt nướu và tiêu xương, gây hiện tượng nhiễm trùng chân răng.
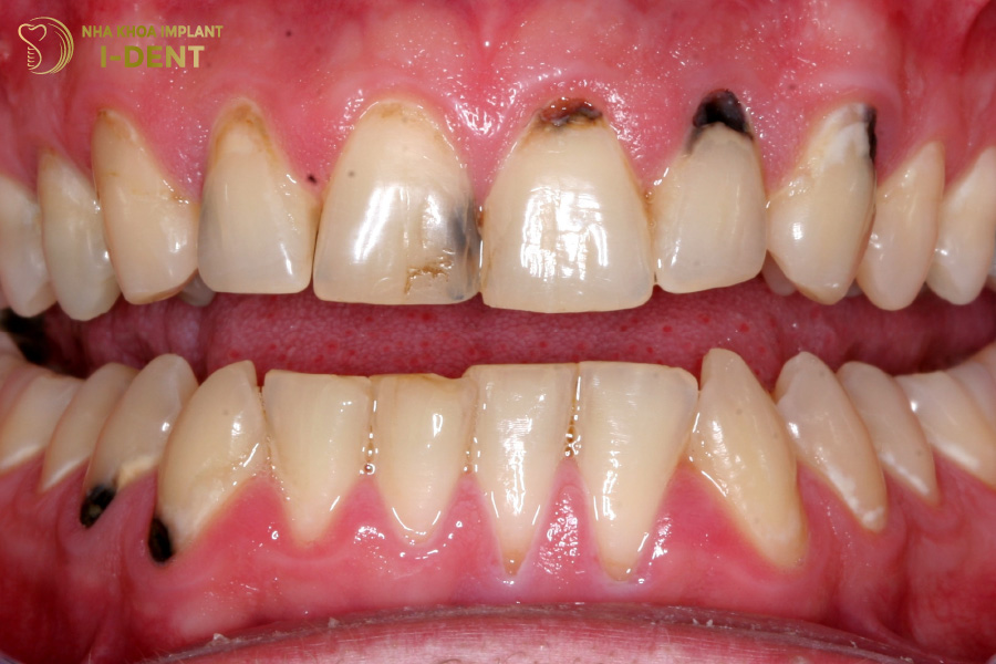
2.3 Mão răng sứ sai kích thước
Sử dụng mão sứ có kích thước không phù hợp với răng thật thì trong quá trình ăn uống sẽ làm gia tăng áp lực lên chân răng và dây thần kinh. Điều này có thể dẫn đến tình trạng viêm nhiễm.

Răng sứ không khớp với răng thật, tạo điều kiện cho vi khuẩn tấn công và gây viêm nhiễm
2.4 Bệnh lý răng miệng
Việc chưa điều trị dứt điểm các bệnh lý như sâu răng, viêm lợi, viêm nha chu… sẽ không đảm bảo được môi trường vô khuẩn trước khi bọc sứ. Nên lúc chụp mão sứ lên sẽ tạo điều kiện cho vi khuẩn phát triển bên trong. Dẫn tới nhiễm trùng và đau nhức dai dẳng.
Ngoài ra, một ổ sâu răng mới có thể hình thành và phát triển âm thầm. Khi tiến triển nặng sẽ ảnh hưởng đến tủy răng, gây nhiễm trùng.
2.5 Chăm sóc răng sứ không kỹ lưỡng
Tình trạng bị nhiễm trùng khi bọc răng sứ có thể liên quan đến việc vệ sinh răng không kỹ lưỡng. Dẫn tới tích tụ vụn thức ăn và hình thành những mảng bám chứa đầy vi khuẩn bám trên răng. Sau một thời gian phát triển, vi khuẩn có thể xâm nhập sâu bên trong và khiến răng bọc sứ bị nhiễm trùng.
3. Các cách khắc phục răng bọc sứ bị nhiễm trùng
Khi có dấu hiệu nhiễm trùng răng sứ, khách hàng cần phải đến nha khoa thăm khám càng sớm càng tốt, mới có thể ngăn chặn những biến chứng nguy hiểm hơn.
Tại nha khoa, các bác sĩ có chuyên môn sẽ kiểm tra và chỉ định phương pháp điều trị phù hợp với tình trạng răng của từng khách hàng:
- Cắt lợi, làm sạch ổ viêm nhiễm:
Trường hợp nhiễm trùng do phần khung răng sứ nằm sâu trong lợi và làm tổn thương đến lợi thì bác sĩ sẽ chỉ định cắt lợi để nạo sạch ổ viêm. Bởi nếu không can thiệp cắt lợi, viêm nhiễm có thể lan rộng gây tiêu xương ổ răng và kéo theo mất răng.

Cắt lợi và làm sạch ổ viêm để khắc phục tình trạng nhiễm trùng răng sứ
- Cấy ghép lợi:
Cấy ghép lợi thường được chỉ định trong trường hợp răng sứ bị nhiễm trùng nghiêm trọng do xâm phạm quá nhiều đến khoảng sinh học. Đồng thời răng sứ không thể sử dụng được nữa.
Bác sĩ sẽ tiến hành ghép mô nướu nhằm tái tạo lại hình dạng cho nướu răng, ngăn tụt nướu, tiêu xương và phục hồi khoảng sinh học quanh răng. Thông thường, khách hàng sẽ được ghép lợi kết hợp bọc lại răng sứ để điều trị dứt điểm nhiễm trùng.
- Bọc lại răng sứ mới:
Nếu bọc răng sứ bị nhiễm trùng do nguyên nhân từ bác sĩ thực hiện sai kỹ thuật, thì phải tháo răng sứ trước đó ra để điều trị nhiễm trùng. Sau đó bọc lại mão sứ mới.
Bị nhiễm trùng khi bọc răng sứ chủ yếu xuất phát từ các nguyên nhân như bác sĩ thực hiện sai kỹ thuật, mão răng không phù hợp và vệ sinh răng không đúng cách. Tình trạng này dẫn tới nhiều vấn đề nghiêm trọng, thậm chí là mất răng. Vì vậy, khách hàng cần đến nha khoa ngay khi răng miệng có những biểu hiện bất thường.
CHUYÊN SÂU IMPLANT DÀNH CHO NGƯỜI VIỆT
- Cơ sở 1:19V Nguyễn Hữu Cảnh, P.19, Q.Bình Thạnh, TP.Hồ Chí Minh
- Cơ sở 2:193A-195 Hùng Vương, P.9, Quận 5, TP.Hồ Chí Minh
- Cơ sở 3:83 Đường số 3 Khu dân cư Cityland, P.10, Q.Gò Vấp, TP.Hồ Chí Minh