
Nhược Điểm Của Bọc Răng Sứ? Có Nguy Cơ Tiềm Ẩn Nào?

Cố vấn chuyên môn:TS.BS. Nguyễn Hiếu Tùng
- Giám đốc Nha khoa I-DENT
- 10 năm tu nghiệp tại Pháp - hơn 10.000 ca Implant thành công
Bọc răng sứ là phương pháp nha khoa cải thiện thẩm mỹ và chức năng ăn nhai của răng. Tuy nhiên, nhược điểm bọc răng sứ là: cần mài răng thật nên có nguy cơ gây ê buốt răng, tuổi thọ răng không dài, chi phí làm răng cao,… Để hạn chế các nhược điểm này thì bạn cần hiểu rõ nguyên nhân của chúng để biết cách phòng tránh và bọc răng sứ an toàn.
1. Nhược điểm của việc bọc răng sứ
Nhược điểm của bọc răng sứ bao gồm: cần mài răng thật nên có nguy cơ xâm lấn sâu gây ê buốt răng, tuổi thọ răng sứ không dài bằng răng thật, chi phí bọc răng sứ cao, có thể gặp biến chứng nếu bị sai kỹ thuật, việc ăn nhai thực phẩm cứng bị hạn chế và dễ mắc bệnh lý răng miệng.
1.1 Mài răng làm xâm lấn răng thật
Khi mài răng để bọc sứ, nếu bác sĩ mài răng vượt quá giới hạn khoảng sinh học (là chiều cao của biểu mô bám dính và mô liên kết, thường cao 2mm) thì răng thật sẽ bị tổn thương, từ đó gây ê buốt kéo dài và có thể ảnh hưởng tủy răng. Bên cạnh đó, mài răng quá nhiều có nguy cơ khiến răng bị nhiễm trùng, dễ nứt gãy hoặc thậm chí là mất răng.

Khi làm răng sứ phải mài đi men răng thật cũng là nhược điểm của bọc răng sứ
1.2 Tuổi thọ không cao như răng thật
Tuổi thọ trung bình của răng sứ kéo dài 5 – 15 năm hoặc 20 năm tùy vào vật liệu, kỹ thuật bọc và điều kiện chăm sóc. Trong khi đó răng thật có thể tồn tại cả đời nếu không bị tổn thương nghiêm trọng. Ngoài ra, răng sứ còn dễ bị nứt vỡ và giảm tuổi thọ nếu phải ăn nhai đồ quá cứng, bị tác động mạnh hoặc do thói quen sinh hoạt. Và sau khi hết thời gian sử dụng răng sứ thì bạn cần đến nha khoa làm lại răng khác.

Nhược điểm của bọc răng sứ – Răng sứ không thể duy trì tuổi thọ vĩnh viễn
1.3 Chi phí bọc răng sứ cao
Chi phí bọc răng sứ trung bình từ 1.000.000 – 2.500.000 VNĐ/răng đối với răng sứ kim loại và từ 4.000.000 – 12.000.000 VNĐ/răng đối với răng toàn sứ. Chi phí bọc răng sứ còn tùy thuộc vào nha khoa, tay nghề bác sĩ, số lượng răng cần bọc,… Đây là chi phí khá cao nên một số bạn không đủ điều kiện bọc răng sứ, chưa kể trường hợp bọc răng sứ không đạt hiệu quả tốt thì phải tốn thêm chi phí bọc sứ lại từ đầu.
1.4 Gặp biến chứng nếu bọc răng sứ sai kỹ thuật
Nếu bác sĩ làm sai kỹ thuật bọc răng sứ thì bạn có thể gặp biến chứng như: viêm nướu, hôi miệng, sâu răng, ê buốt, lệch khớp cắn, răng sứ nứt vỡ và viêm tủy. Những biến chứng này nếu nhẹ thì có thể khắc phục nhưng nếu biến chứng nặng và không chữa trị kịp thời thì bạn có thể bị mất răng vĩnh viễn.

Răng sứ kém chất lượng rất dễ bị vỡ, mẻ khi ăn nhai
1.5. Việc ăn nhai thực phẩm cứng bị hạn chế
Răng sứ có độ cứng cao nhưng lại thiếu độ đàn hồi nên khá giòn và dễ nứt vỡ khi ăn thực phẩm cứng. Vì vậy, người bọc răng cần hạn chế ăn nhai thực phẩm cứng để tránh làm hỏng răng. Ngoài ra, việc hạn chế ăn nhai các món cứng có thể làm giảm khả năng nhai nghiền thức ăn, về lâu dài có thể ảnh hưởng quá trình tiêu hóa và khả năng hấp thụ dinh dưỡng của bạn.
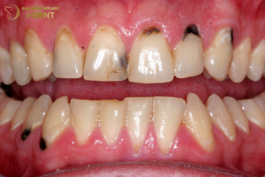
1.6. Dễ mắc bệnh lý răng miệng sau khi bọc sứ
Răng sứ sau một thời gian sử dụng có thể bị bong keo làm hở viền nướu, từ đó giúp vi khuẩn xâm nhập vào sâu răng thật và phá hủy các mô bên trong gây sâu răng, viêm tủy răng, viêm nướu,…

Nguy cơ hư hại răng thật sau khi bọc sứ tại nha khoa không chất lượng
Qua các nhược điểm trên thì có thể thấy bọc răng sứ chỉ tối ưu trong trường hợp làm răng riêng lẻ, răng bị bể vỡ mảng lớn nhằm khôi phục chức năng răng và tính thẩm mỹ. Với các khuyết điểm răng khác thì bạn có thể tham khảo các giải pháp khác phù hợp hơn ngoài bọc răng sứ.
2. Những nguy cơ tiềm ẩn sau khi bọc răng sứ
Nguy cơ tiềm ẩn sau khi bọc răng sứ có thể gặp nếu điều trị tại nha khoa kém uy tín:
- Răng sứ ăn nhai bị cộm, cấn vì lắp răng sứ sai khớp cắn, thiết kế răng sứ không đúng hoặc mài răng bị lệch trục.
- Răng thật bị ê buốt, đau nhức vì cùi răng bị mài quá sâu và gắn răng sai kỹ thuật.
- Răng bị đen viền nướu gây mất thẩm mỹ vì sử dụng răng sứ kim loại nên sau một thời gian thì kim loại bị oxy hóa gây đổi màu. Bạn có thể lắp răng sứ toàn sứ để loại bỏ nguy cơ này.
- Chân răng bị hở, giắt thức ăn sau thời gian sử dụng vì bác sĩ gắn keo kém chất lượng khiến keo dễ bị hở và làm lộ chân răng. Vụn thức ăn sẽ giắt vào khe hở này gây khó vệ sinh.
- Nguy cơ răng sứ dễ vỡ, nứt gãy vì răng sứ có độ cứng cao nhưng thiếu tính đàn hồi nên dễ vỡ, nứt khi có lực tác động mạnh.
- Dễ mắc bệnh viêm nướu, hôi miệng vì răng sứ bọc sai kỹ thuật tạo khe hở giữa răng và nướu. Thức ăn giắt vào khe hở này gây khó vệ sinh, lâu dần vi khuẩn tích tụ gây viêm nướu và hôi miệng.
- Hư hại răng thật, mất răng vĩnh viễn: Nếu vi khuẩn xâm nhập vào tủy răng sẽ khiến viêm tủy và tệ hơn là mất răng.

Nha khoa phải có đầy đủ máy móc để vô trùng
3. Giải pháp nào thay thế bọc răng sứ tối ưu?
Giải pháp tối ưu để thay thế bọc răng sứ là dán răng sứ Veneer hoặc niềng răng tùy vào vấn đề răng miệng và nhu cầu người dùng. Nếu răng khỏe và chỉ bị ố vàng hay nhiễm màu nặng thì có thể dán sứ Veneer để thay thế bọc răng sứ. Nếu răng lệch lạc, hô hoặc móm thì dùng niềng răng thay vì bọc sứ.
- Trường hợp răng khỏe và muốn cải thiện thẩm mỹ: Dán sứ Veneer để cải thiện màu sắc và hình dáng răng thật. Đây là phương pháp tối ưu giúp bảo tồn răng thật ở mức tối đa và hạn chế hạn chế vấn đề liên quan đến mài răng, bệnh lý răng miệng,…
- Trường hợp răng lệch lạc, hô hoặc móm: Niềng răng giúp khắc phục tình trạng này mà vẫn bảo tồn tối đa răng thật, duy trì tuổi thọ và sức khỏe của răng thật. Nếu khách hàng muốn niềng răng nhưng vẫn đảm bảo tính thẩm mỹ cao thì dùng niềng răng trong suốt Invisalign.
Nhìn chung, bọc răng sứ giúp cải thiện thẩm mỹ và chức năng ăn nhai nhưng có nhiều nhược điểm như: răng thật dễ bị ảnh hưởng, tuổi thọ răng không cao, chi phí lớn và nguy cơ biến chứng nếu làm sai kỹ thuật. Do đó, trước khi bọc răng sứ thì bạn nên cân nhắc vấn đề răng miệng và nhu cầu để chọn phương pháp thẩm mỹ đúng đắn. Quan trọng hơn, bạn cần chọn nha khoa uy tín có bác sĩ tay nghề giỏi để đảm bảo an toàn khi bọc răng sứ nói riêng và làm thẩm mỹ răng nói chung.
CHUYÊN SÂU IMPLANT DÀNH CHO NGƯỜI VIỆT
- Cơ sở 1:19V Nguyễn Hữu Cảnh, P.19, Q.Bình Thạnh, TP.Hồ Chí Minh
- Cơ sở 2:193A-195 Hùng Vương, P.9, Quận 5, TP.Hồ Chí Minh
- Cơ sở 3:83 Đường số 3 Khu dân cư Cityland, P.10, Q.Gò Vấp, TP.Hồ Chí Minh