
Dán Răng Sứ Veneer Có Tốt Không? Review Dán Sứ Veneer

Cố vấn chuyên môn:TS.BS. Nguyễn Hiếu Tùng
- Giám đốc Nha khoa I-DENT
- 10 năm tu nghiệp tại Pháp - hơn 10.000 ca Implant thành công
Dán sứ Veneer ngày càng phổ biến và được nhiều người lựa chọn nhằm cải thiện các khuyết điểm trên răng của mình. Tuy nhiên, có nên dán răng sứ? chúng ta cùng tìm hiểu nhé.
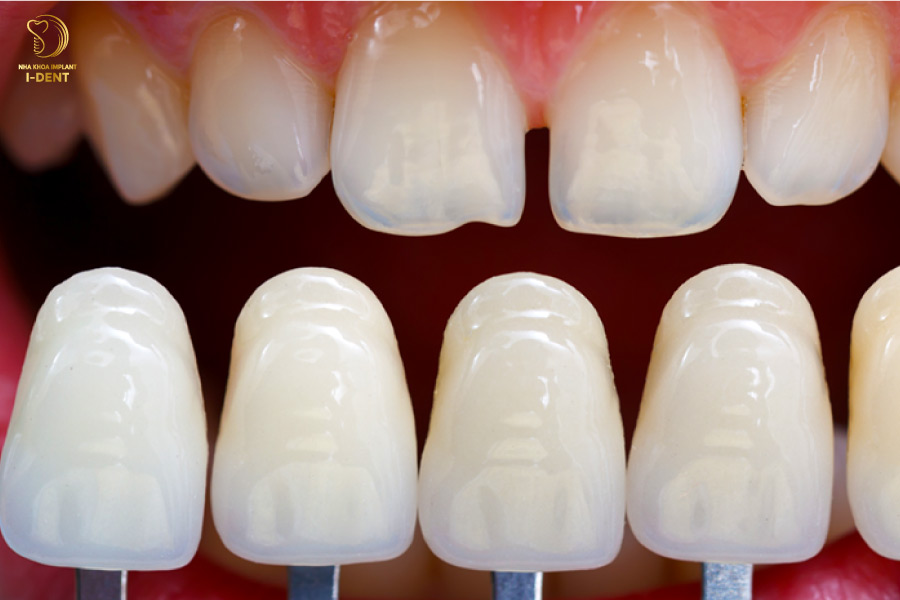
1. Răng dán sứ Veneer là gì?
Dán sứ Veneer là một kỹ thuật trong phục hình răng sứ thẩm mỹ, không cần mài răng hoặc mài siêu mỏng chỉ từ 0.3 – 0.5mm của nha khoa hiện đại với miếng dán sứ veneer đa dạng màu sắc và siêu mỏng, đảm bảo khách hàng sở hữu nụ cười đều đẹp, trắng sáng.
Kỹ thuật dán sứ Veneer du nhập vào Việt Nam khoảng 10 năm trước và trở thành xu hướng trong khoảng 3-4 năm gần đây. Đây là một kỹ thuật nha khoa khó và cần được thực hiện bởi bác sĩ với tay nghề cao, để đảm bảo quá trình dán sứ tỉ mỉ diễn ra thành công.
Để dán được mặt dán sứ mỏng khoảng 0.3-0.5mm lên răng thật, bác sĩ sẽ phải mài nhám mặt răng ở phía trước, sau đó dùng keo dán chuyên dụng để gắn vào. Nhờ vậy, mặt dán sứ hoàn toàn cứng chắc. Nếu thực hiện mặt dán sứ Veneer không mài răng thì mặt sứ không có độ bám, dễ bị rơi ra trong quá trình ăn nhai.
Tuy nhiên bạn vẫn cần lưu ý rằng, mặt dán sứ Veneer sẽ dễ bong tróc nếu như bạn tác động lực quá mạnh hoặc chăm sóc răng miệng không kỹ.

Dán sứ Veneer
Thông thường, những bạn có hàm răng đã khá đều mà gặp phải tình trạng xỉn màu, gãy vỡ nhẹ hoặc hơi thưa,… thì có thể áp dụng dán sứ Veneer để cải thiện. Nhưng nếu răng thưa, lệch lạc, sứt mẻ… quá nặng thì không thể sử dụng phương án này mà nên bọc răng sứ.
2. Dán răng sứ có tốt không?
Dán răng sứ có tốt không? Câu trả lời là có bởi việc áp dụng phương pháp dán răng sứ làm thay đổi hình dáng, màu sắc, kích thước của răng, giúp răng đều và đẹp hơn. Bên cạnh đó, màu sắc của sứ veneer khá tự nhiên nên sẽ giúp bạn cảm thấy tự tin hơn khi mỉm cười.
Dán sứ Veneer không mài răng là phương pháp phục hình thẩm mỹ cho răng khá phổ biến hiện nay. Thế nhưng, vẫn còn khá nhiều người ngần ngại có nên bọc răng sứ Veneer hay không, hay có nguy hiểm khi dán sứ Veneer…. Trước tiên, để biết được làm răng sứ veneer có tốt không thì bạn hãy nhìn vào những ưu điểm của phương án này rồi quyết định có nên làm răng sứ veneer hay không:
2.1 Ít tác động đến răng thật
Nhiều trường hợp muốn hàm răng của mình thẩm mỹ hơn nên dự định sẽ bọc răng sứ. Tuy nhiên sau khi tìm hiểu lại không muốn thực hiện, bởi cách làm này xâm lấn răng thật quá nhiều, khiến nó trở nên yếu đi và dễ bị vi khuẩn tấn công. Từ đó dẫn đến nhiều bệnh lý răng miệng, thậm chí là gây mất răng.
Nếu như với các biện pháp bọc răng sứ, bác sĩ cần phải mài răng khá nhiều nhưng với dán răng sứ thì chỉ mài một lớp rất mỏng, không gây tổn hại đến bề mặt của răng, ít gây ra tình trạng tủy bị chết và hầu như không phải chữa tủy. Vì vậy, một phương án không cần mài răng hoặc mài răng ở mặt ngoài rất ít sẽ được nhiều người quan tâm nhiều hơn. Trong các phương án làm răng thẩm mỹ, dán sứ Veneer đáp ứng được tiêu chí này. Răng thật được bảo tồn một cách tối đa mà không bị ảnh hưởng, xâm lấn.

Dán sứ Veneer không mài răng hoặc mài răng rất ít nên rất tốt cho răng thật
2.2 Không đau, không ê buốt
Do không mài răng hoặc mài răng rất ít, nên bạn hoàn toàn không thấy đau hoặc ê buốt giống như khi bọc răng sứ. Trừ khi tay nghề bác sĩ kém, mài nhám mặt răng không đúng tỷ lệ hoặc dán sứ xâm phạm quá mức vào vùng nướu nên mới dẫn đến tình trạng đau và ê buốt răng.
2.3 Tiết kiệm thời gian
Dán sứ Veneer được thực hiện khá nhanh chóng và có thể thấy được kết quả ngay sau đó. Đồng thời, bạn có thể ăn nhai bình thường chỉ sau khoảng 2 giờ dán sứ khi keo dán đã khô cứng.
Vậy dán sứ Veneer có bền không? Miếng dán sứ có thể chịu lực cao, cứng chắc và khó gãy vỡ. Thế nên, bạn hoàn toàn yên tâm khi sử dụng mà không lo miếng dán gặp vấn đề.
Theo nghiên cứu, tuổi thọ mặt dán sứ Veneer có thể lên đến 10 năm, nên bạn có thể tiết kiệm chi phí và thời gian khi không cần lui tới nha khoa sửa chữa thay thế.
2.4 Tự nhiên như răng thật
Rất nhiều khách hàng phản hồi rằng, sau khi dán sứ Veneer thì vẫn ăn nhai và cảm nhận được thức ăn như bình thường. Hơn nữa, miếng dán sứ được chế tác phù hợp với hình dáng răng của mỗi người nên trông rất tự nhiên. Bên cạnh đó, mặt dán sứ có màu hoàn toàn giống với răng thật nên mang tính thẩm mỹ cao. Thế nên người đối diện sẽ khó nhận ra đó là răng giả.
Đồng thời, do không có thành phần kim loại nên miếng dán sứ toàn sứ không bị đổi màu theo thời gian.
2.5 Mức chi phí hợp lý
Mức chi phí để thực hiện cho dán sứ Veneer hiện nay rất hợp lý. Tại Nha khoa I-DENT, bạn có thể sử dụng dịch vụ này với giá 6.000.000 VND/ Răng.
2.6 Độ bền cao
Dán sứ veneer có bền không là thắc mắc khá phổ biến. Theo các chuyên gia nha khoa, mặt dán veneer có tuổi thọ trung bình 10 – 15 năm nếu được thực hiện bởi phòng nha có thiết bị hiện đại, bác sĩ có tay nghề cao và bạn chăm sóc răng tốt.

Dán sứ Veneer tại Nha khoa I-DENT
3. Review về dán sứ Veneer
Nhiều khách hàng đã thực hiện dán sứ Veneer thành công và ưng ý với dịch vụ này. Sau khi dán sứ Veneer, nhiều người đã trở nên tự tin hơn khi giao tiếp, không còn ngại ngùng, tự ti về một hàm răng xỉn màu hay hở kẽ nữa.
Hãy cùng nhìn hình ảnh trước và sau khi dán sứ Veneer ngay dưới đây.

Trước và sau khi dán sứ Veneer
Chị Vân Anh (Thành phố Hồ Chí Minh) chia sẻ: “Đặc thù công việc của mình là hay đi gặp khách nhiều lắm, mà màu răng không được trắng khiến mình rất ngại. Sau khi tìm hiểu thì mình biết đến dán sứ Veneer có thể khắc phục được tình trạng răng này, mình nhanh chóng thực hiện và rất vừa ý”.

Răng gãy vỡ nhẹ có thể khắc phục được nhờ dán sứ Veneer
Còn hình ảnh trên đây là của anh Tín (Thành phố Hồ Chí Minh): “Do tai nạn hy hữu mà chiếc răng cửa của mình bị vỡ nhẹ. May nhờ có dán sứ Veneer mà hàm răng của mình quay trở lại đều đẹp như ban đầu”.
CHUYÊN SÂU IMPLANT DÀNH CHO NGƯỜI VIỆT
- Cơ sở 1:19V Nguyễn Hữu Cảnh, P.19, Q.Bình Thạnh, TP.Hồ Chí Minh
- Cơ sở 2:193A-195 Hùng Vương, P.9, Quận 5, TP.Hồ Chí Minh
- Cơ sở 3:83 Đường số 3 Khu dân cư Cityland, P.10, Q.Gò Vấp, TP.Hồ Chí Minh