
Niềng Răng Bao Lâu Thì Răng Dịch Chuyển? Sự Khác Biệt Như Thế Nào?

Cố vấn chuyên môn:TS.BS. Nguyễn Hiếu Tùng
- Giám đốc Nha khoa I-DENT
- 10 năm tu nghiệp tại Pháp - hơn 10.000 ca Implant thành công
Niềng răng là quá trình dịch chuyển răng về đúng vị trí mong muốn, theo kế hoạch điều trị của bác sĩ. Quá trình này cần thời gian và phụ thuộc nhiều vào tình trạng răng miệng của mỗi người. Vậy răng dịch chuyển như thế nào khi niềng răng? Bài viết dưới đây sẽ giúp bạn giải đáp câu hỏi này!
1. Niềng răng bao lâu thì răng bắt đầu dịch chuyển?
Niềng răng là phương pháp sử dụng các khí cụ như mắc cài, dây cung niềng răng, máng trong suốt, band niềng răng… và bắt vít niềng răng để tạo lực lực xiết trên răng, kéo răng dịch chuyển về vị trí mong muốn. Ở mỗi giai đoạn niềng răng, bác sĩ sẽ là người kiểm soát tỷ lệ dịch chuyển, đảm bảo đúng phác đồ điều trị được đưa ra trước khi tiến hành niềng răng.
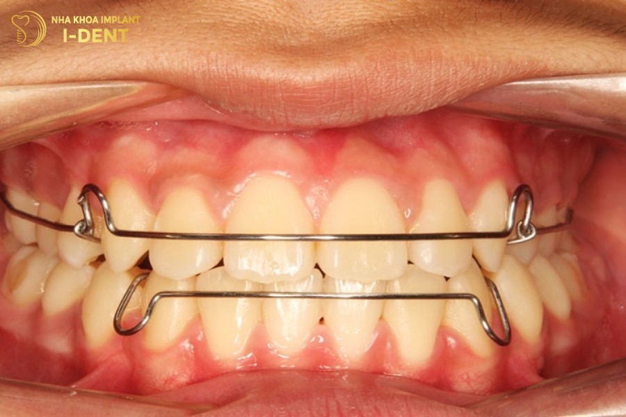
Vậy niềng răng bao lâu thì răng bắt đầu dịch chuyển? Thời điểm niềng răng sẽ bắt đầu từ khi gắn mắc cài và đeo khí cụ, sự thay đổi sẽ diễn ra ở ngay giai đoạn này (2 – 6 tháng đầu). Khi đó, bạn sẽ nhận thấy rõ ràng răng đang dịch chuyển, đặc biệt là ở các trường hợp răng khấp khểnh, lệch lạc nặng.

Răng sẽ bắt đầu dịch chuyển ngay giai đoạn 2 – 6 tháng đầu sau khi gắn mắc cài
Thông thường, thời gian để hoàn tất một ca niềng răng sẽ mất trung bình 18 – 24 tháng. Đối với các trường hợp niềng răng phức tạp hơn như: niềng răng hô, móm, lệch khớp cắn… có mức độ sai lệch nặng thì thời gian có thể kéo dài hơn từ 3 – 4 năm.
2. Những yếu tố ảnh hưởng đến thời gian dịch chuyển của răng
2.1 Độ tuổi niềng răng
Độ tuổi càng lớn thì thời gian niềng răng sẽ càng lâu, bởi gặp nhiều khó khăn hơn trong việc điều trị. Cụ thể độ tuổi tốt nhất để niềng răng là từ 7 – 14 tuổi. Tại giai đoạn này xương và răng của trẻ vẫn còn trong quá trình phát triển, nên có thể dịch chuyển nhanh hơn. Thời gian thực hiện cũng ngắn hơn.
Bước qua độ tuổi trên, khi trưởng thành, xương và răng đã phát triển hoàn thiện, trở nên cứng chắc và rất khó dịch chuyển.
2.2 Sức khỏe răng miệng
Nếu mắc phải các bệnh lý như sâu răng, viêm nha chu, viêm tủy răng,… thì thời gian niềng cũng kéo dài hơn các trường hợp có răng khỏe mạnh. Bởi bác sĩ phải điều trị dứt điểm các bệnh lý này rồi mới tiến hành niềng răng cho bệnh nhân.

Nếu phải điều trị các bệnh lý răng miệng sẽ kéo dài thời gian niềng răng
2.3 Mức độ sai lệch của hàm răng
Nếu hàm răng của bạn bị lệch lạc nặng, hô/móm nhiều hoặc sai lệch về khớp cắn khác thì thời gian có thể sẽ kéo dài hơn so với các trường hợp răng sai lệch nhẹ.
2.4 Phương pháp niềng răng
Mỗi phương pháp niềng răng sẽ có ưu nhược điểm riêng, tùy thuộc vào nhu cầu của mỗi người để lựa chọn phương pháp phù hợp. Mặc dù thế không phải phương pháp nào cũng có cùng thời gian niềng răng. Thông thường, niềng răng mắc cài kim loại sẽ thực hiện điều chỉnh răng nhanh hơn so với mắc cài sứ hoặc khay niềng trong suốt.
2.5 Kinh nghiệm và tay nghề của bác sĩ
Bác sĩ là người quyết định phác đồ chỉnh nha dựa trên dự đoán hướng dịch chuyển của răng. Vì vậy, nếu bác sĩ là người có chuyên môn cao, nhiều năm kinh nghiệm thì sẽ hiểu tình trạng răng, dự đoán đúng hướng răng dịch chuyển và đưa ra phác đồ điều trị chính xác. Nhờ vậy, thời gian niềng sẽ rút ngắn và hiệu quả cũng tốt hơn.

Bác sĩ có chuyên môn và kinh nghiệm sẽ giúp răng dịch chuyển nhanh chóng
2.6 Cách chăm sóc răng niềng
Thời gian dịch chuyển răng cũng bị ảnh hưởng bởi quá trình chăm sóc răng miệng. Bạn cần tuân thủ hướng dẫn của bác sĩ về cách vệ sinh răng hằng ngày để hạn chế các rủi ro không mong muốn, làm chậm trễ thời gian niềng.
2.7 Lịch khám răng
Lịch tái khám định kỳ đều rất quan trọng. Việc tới đủ các buổi khám răng sẽ giúp bác sĩ theo dõi tiến trình niềng răng có diễn ra đúng theo phác đồ điều trị hay không, và có những điều chỉnh kịp thời.
2.8 Chế độ ăn uống
Khi đã quen được với mắc, nhiều người thường trở về thói quen ăn uống cũ, ăn uống các thức ăn cứng, dai. Điều này làm ảnh hưởng đến quá trình niềng do có thể gây rớt mắc cài hoặc lệch lạc dây cung, gây mất hiệu quả trong thời gian đeo niềng.

Chế độ ăn uống cũng ảnh hưởng tới thời gian niềng răng
3. Răng di chuyển như thế nào khi niềng?
Răng di chuyển như thế nào khi niềng? Thông thường, các giai đoạn dịch chuyển của răng sẽ diễn ra như sau:
3.1 Giai đoạn 1: Sắp xếp đều các răng trên hàm từ 2 – 6 tháng
Trong những tháng đầu tiên sau khi gắn khí cụ niềng, bạn sẽ cảm thấy rõ được áp lực của mắc cài và dây cung tác động lên răng. Đây cũng là giai đoạn thấy được sự thay đổi của răng lớn nhất, đặc biệt là trường hợp răng khấp khểnh bạn có thể nhìn thấy sự di chuyển răng rõ rệt nhất.
Đây cũng là giai đoạn quan trọng để có thể nhìn thấy được việc dàn răng, các răng sẽ được dịch chuyển theo phác đồ điều trị mà bác sĩ đã lên cho bạn.
Trường hợp các răng có sự di chuyển bất thường, bạn cần đến ngay nha khoa để bác sĩ có thể kịp thời can thiệp.

Răng sẽ dịch chuyển nhanh nhất trong khoảng 6 tháng đầu tiên
3.2 Giai đoạn 2: Điều chỉnh trục các răng từ khoảng 3 – 6 tháng tiếp theo
Ở giai đoạn này, răng của bạn sẽ có tốc độ di chuyển chậm hơn. Lúc này, cung hàm cũng đã được điều chỉnh trở nên cân đối hơn. Các trường hợp răng hô, răm móm sẽ thấy sự cải thiện ở cung hàm nhiều hơn, cấu trúc xương hàm thay đổi, thon gọn và khớp cắn cũng dần đúng vị trí hơn.
Một số trường hợp răng mọc quá chen chúc, trong giai đoạn này sẽ làm phần răng cửa đưa ra ngoài. Tuy nhiên, đây cũng là giai đoạn bác sĩ sẽ có sự điều chỉnh phác đồ cho phù hợp với tình trạng răng cũng như tốc độ di chuyển răng.
3.3 Giai đoạn 3: Điều chỉnh toàn bộ khớp cắn từ 6 – 9 tháng sau đó.
Sau quá trình di chuyển của răng, thì tại giai đoạn này, răng đã gần như hoàn thiện. Khớp cắn cơ bản đã về đúng vị trí, cung hàm và vị trí sắp xếp của răng cũng trở nên hài hòa hơn.
3.4 Giai đoạn 4: Duy trì sự ổn định của các răng, kéo dài từ 6 – 9 tháng cuối cùng.
Ở giai đoạn cuối này, hàm răng đã được sắp xếp tương đối hoàn thiện, tuy nhiên sau một quá trình dài răng di chuyển, thì vẫn cần thời gian để duy trì sự ổn định ở vị trí mới này của răng.

Ở giai đoạn cuối, các khí cụ niềng sẽ giữ cho răng ổn định ở vị trí mới
4. Cách nhận biết răng dịch chuyển khi niềng
Khi niềng răng, việc nhận biết răng dịch chuyển là điều quan trọng để đảm bảo quá trình điều trị diễn ra đúng cách. Một số dấu hiệu bạn có thể theo dõi như sau:
- Khoảng trống giữa răng: Nếu bạn cảm thấy có khoảng trống giữa các răng bắt đầu xuất hiện, đây là dấu hiệu cho thấy răng đang dịch chuyển.
- Đau răng: Cảm giác đau nhức sau khi điều niềng là điều bình thường và có thể chỉ ra sự dịch chuyển của răng.
- Niềng trở nên rộng hơn: Nếu bạn cảm thấy các khí cụ niềng rộng hơn so với lúc mới đeo, điều này có thể là do răng đang dịch chuyển.
Nếu bạn muốn theo dõi sự thay đổi, hãy chụp ảnh vào đầu mỗi tháng và so sánh chúng, bạn sẽ nhận thấy rõ sự khác biệt thực tế.
Như vậy, bài viết trên đây đã giải đáp cho bạn về thắc mắc “niềng răng bao lâu thì răng bắt đầu dịch chuyển”, hy vọng sẽ giúp bạn hiểu thêm về quá trình niềng răng và có sự chuẩn bị tốt nhất cho mình.
CHUYÊN SÂU IMPLANT DÀNH CHO NGƯỜI VIỆT
- Cơ sở 1:19V Nguyễn Hữu Cảnh, P.19, Q.Bình Thạnh, TP.Hồ Chí Minh
- Cơ sở 2:193A-195 Hùng Vương, P.9, Quận 5, TP.Hồ Chí Minh
- Cơ sở 3:83 Đường số 3 Khu dân cư Cityland, P.10, Q.Gò Vấp, TP.Hồ Chí Minh