
Niềng Răng Vẩu Mất Bao Lâu? Giá Bao Nhiêu Tiền?

Cố vấn chuyên môn:TS.BS. Nguyễn Hiếu Tùng
- Giám đốc Nha khoa I-DENT
- 10 năm tu nghiệp tại Pháp - hơn 10.000 ca Implant thành công
Răng vẩu là một trong những khiếm khuyết răng miệng thường gặp khiến cho nụ cười trở nên kém xinh hơn. Bên cạnh đó, nếu để lâu dài còn ảnh hưởng đến khớp cắn. Vậy có bao giờ bạn tự hỏi, nguyên nhân răng vẩu và niềng răng vẩu hết bao nhiêu tiền? Bài viết sau đây sẽ cung cấp đến bạn những thông tin tổng quan nhất về niềng răng vẩu.
1. Răng vẩu là gì?
Răng hô vẩu thường là tình trạng hàm răng trên bị đẩy ra ngoài hơn so với hàm dưới, điều này không chỉ làm ảnh hưởng đến thẩm mỹ mà còn gây ảnh hưởng rất nhiều đến tình trạng sức khỏe răng miệng và nhiều khía cạnh khác trong cuộc sống hàng ngày. Chẳng hạn như gây khó chịu khi ăn nhai, gương mặt thiếu đi sự cân đối, mất đi sự tự tin khi cười nói hay giao tiếp, khó khăn trong việc vệ sinh răng miệng,… Nếu tình trạng răng vẩu không được điều chỉnh kịp thời có thể tác động đến cấu trúc xương hàm, gây ra đau đớn ở khớp thái dương hàm và ảnh hưởng đến phát âm.

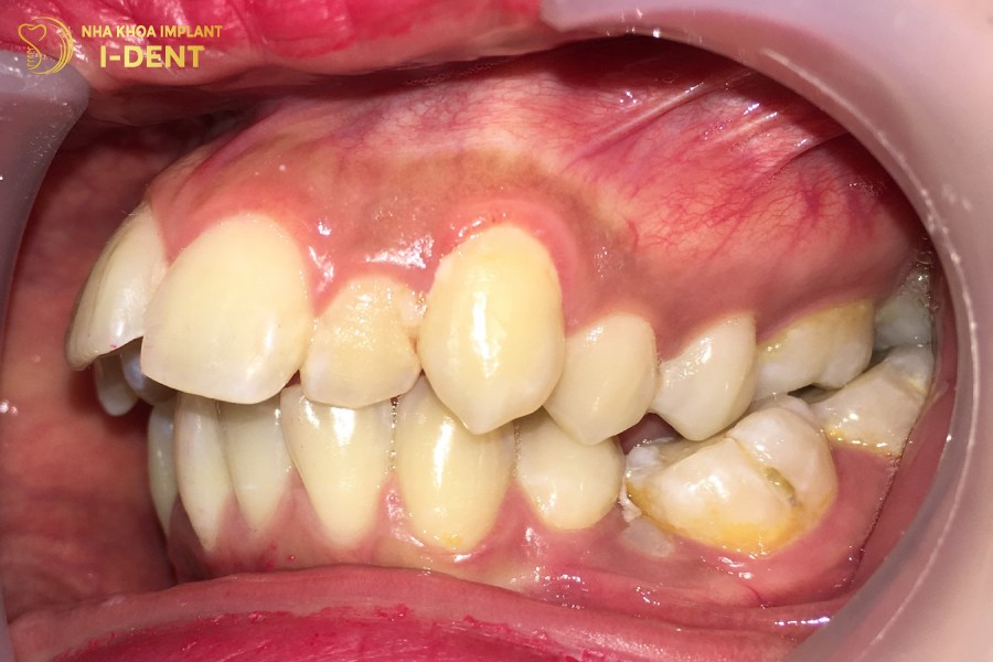
Hình dạng răng vẩu
2. 3 dạng răng vẩu thường gặp
Để tìm ra được phương án điều chỉnh cụ thể, đầu tiên phải xác định được dạng răng vẩu gặp phải. Răng vẩu có thể rơi vào 3 dạng sau đây:
2.1 Vẩu do răng
Trường hợp vẩu do răng xảy ra khi răng hàm phía trên mọc chìa ra ngoài quá nhiều làm cho hai hàm không khớp nhau, tạo ra tình trạng răng hô. Thường, những trường hợp này xảy ra ở nhóm răng cửa, khi chúng mọc ra một cách không đúng hướng so với vị trí thẳng đứng.

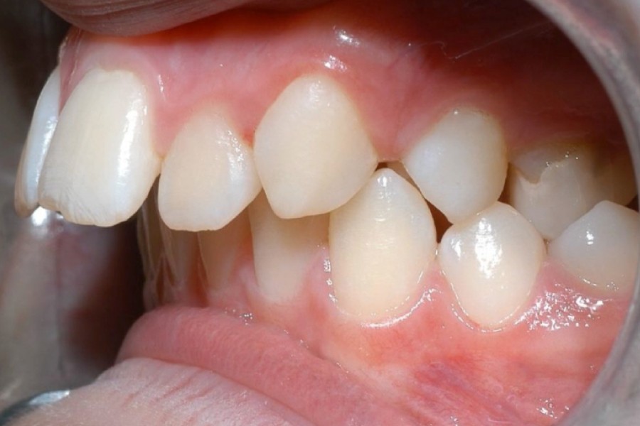
Hình ảnh vẩu do răng
2.2 Vẩu do xương hàm
Răng vẩu do xương hàm là tình trạng phức tạp hơn so với vẩu do răng. Ở tình trạng này, răng đều và mọc đúng vị trí, tuy nhiên do xương hàm trên hoặc hàm dưới phát triển không bình thường, khiến bị lệch ra khỏi cấu trúc khuôn mặt

Hình ảnh vẩu do xương hàm
2.3 Vẩu do răng và xương hàm
Vẩu do răng và xương hàm là tình trạng phức tạp nhất. Người bị vẩu dạng này vừa có răng chếch ra ngoài, vừa có xương phát triển quá mức.

Hình ảnh vẩu do răng và xương hàm
3. Tác hại của răng bị vẩu
3.1 Mất thẩm mỹ
Răng vẩu thường tạo ra cảm giác nhô ra phía trước, làm cho bạn cảm thấy thiếu tự tin trong việc giao tiếp và chụp hình. Ảnh hưởng này có thể lan tỏa sang cuộc sống hàng ngày cũng như vào môi trường làm việc của bạn.
3.2 Ăn nhai khó khăn
Răng vẩu không chỉ gây mất thẩm mỹ còn dẫn đến việc khớp cắn không đều, làm cho quá trình cắn và nhai thức ăn trở nên khó khăn. Hậu quả của điều này có thể ảnh hưởng đến hệ tiêu hóa như dạ dày và đường ruột nếu tình trạng này kéo dài.
3.3 Nguy cơ cao mắc các bệnh lý về răng miệng
Tình trạng răng vẩu tạo ra khó khăn trong việc vệ sinh răng miệng, tiềm ẩn nguy cơ cho việc phát triển các vấn đề sức khỏe răng miệng như hôi miệng, sâu răng, viêm nướu và viêm nha chu.
4. Niềng răng vẩu hết bao nhiêu tiền?
Để giải đáp cho câu hỏi niềng răng vẩu giá bao nhiêu tiền? Bạn cần phải đến nha khoa uy tín để các bác sĩ kiểm tra nguyên nhân. Trong trường hợp nếu răng vẩu đến từ nguyên nhân là do hàm thì bạn cần thực hiện gọt hàm vẩu. Do độ phức tạp rất cao, yêu cầu trình độ và tay nghề bác sĩ nên giá phẫu thuật hàm vẩu cũng rất cao, trung bình giá niềng răng vẩu sẽ dao động từ 70.000.000 – 180.000.000 VNĐ.
Nếu nguyên nhân là răng vẩu do răng, bạn có thể thực hiện giải pháp niềng răng để cải thiện. Dù thời gian niềng răng khớp cắn ngược khá lâu kéo dài từ 2 – 3 năm nhưng đây là giải pháp hữu hiệu nhất để cải thiện tình trạng này. Chi phí sẽ tùy thuộc vào loại khí cụ mà bạn lựa chọn.
Tại nha khoa I-DENT, bạn sẽ được thăm khám và chụp phim để xác định nguyên nhân gây ra khớp cắn ngược. Sau đó, bác sĩ sẽ tư vấn bạn các loại chỉnh nha. Mỗi loại chỉnh giá sẽ có giá như sau:
| CHỈNH NHA (NIỀNG RĂNG) | |
| Chỉnh nha cố định mắc cài thường | 15.000.000 VNĐ/ Hàm |
| Chỉnh nha cố định mắc sứ hoặc nhựa | 20.000.000 VNĐ/ Hàm |
| Chỉnh nha mắc cài mặt lưỡi hoặc Invisalign | 40.000.000 đến 45.000.000 VNĐ/ Hàm |
Nếu nguyên nhân vẩu do cả răng và hàm thì bạn có thể kết hợp niềng răng và phẫu thuật hàm vẩu. Điều quan trọng nhất cần chú ý chính là tìm đến nha khoa niềng răng uy tín và lựa chọn bác sĩ niềng răng và phẫu thuật có chuyên môn cao.
5. Niềng răng vẩu mất bao lâu?
Thông thường, việc niềng răng bị vẩu sẽ có kết quả trong khoảng 1 đến 3 năm. Tuy nhiên thời gian này sẽ thay đổi dài hay ngắn hơn phụ thuộc vào tình trạng vẩu, phương pháp điều trị, đặc điểm của từng trường hợp răng miệng cụ thể và cách chăm sóc trong suốt quá trình niềng răng bị vẩu.
Thời gian niềng răng vẩu có thể khác nhau ở mỗi người vì được tủy chỉnh theo sự tiến triển của quá trình điều trị và để phù hợp hơn với lịch trình cuộc sống hằng ngày của mỗi bệnh nhân. Do đó, trước khi bắt đầu tiến hành niềng răng vẩu, bạn nên tham khảo kỹ càng ý kiến của nha sĩ để có thể nắm rõ hơn về phương án điều trị và thời gian cần thiết cho trường hợp của bản thân.

Thảo luận với bác sĩ trước khi thực hiện niềng răng vẩu
CHUYÊN SÂU IMPLANT DÀNH CHO NGƯỜI VIỆT
- Cơ sở 1:19V Nguyễn Hữu Cảnh, P.19, Q.Bình Thạnh, TP.Hồ Chí Minh
- Cơ sở 2:193A-195 Hùng Vương, P.9, Quận 5, TP.Hồ Chí Minh
- Cơ sở 3:83 Đường số 3 Khu dân cư Cityland, P.10, Q.Gò Vấp, TP.Hồ Chí Minh