APPOINTMENT BOOKING - 24/7 SUPPORT

    What is Veneer Dental Bonding? Price? Procedure?

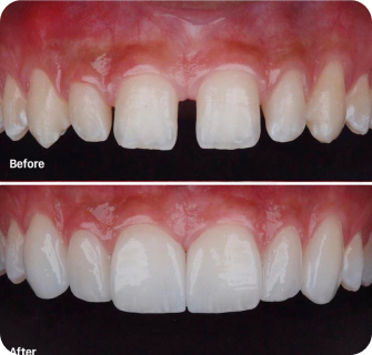
    Veneer bonding is an aesthetic restoration method that involves minimal or no tooth grinding, then bonding a thin ceramic layer 0.2 mm - 0.5 mm thick onto the outer surface of the real teeth to improve aesthetics, resulting in bright, evenly beautiful teeth and a natural smile.

    WHAT IS VENEER BONDING?

    What Is Veneer Bonding?

    Veneer bonding (laminate veneer) is an aesthetic dental technique using a thin ceramic layer from 0.2 mm – 0.5 mm bonded permanently onto the front and biting edge of the teeth with specialized adhesive to fix issues like stained, yellowed, misaligned, or gapped teeth, helping to change the appearance of teeth, increase aesthetics, and bring a bright, natural smile.

    Veneer surface (tooth veneer) is a thin ceramic layer with a thickness of 0.3 – 0.5 mm, matching the natural tooth color, designed to cover the front surface of the teeth, changing their color and shape. Ceramic veneers have good stain resistance and reflect light similarly to natural teeth.

    Veneer bonding is considered a breakthrough in cosmetic dentistry because it is minimally invasive. The veneer technique does not require significant tooth grinding or only very minimal grinding but still effectively addresses issues like discoloration, yellowing, uneven growth, or gaps, helping you achieve a radiant and durable smile.

    Types of Dental Ceramics Used at i-dent Dental Clinic

    Types of Dental Ceramics Used at i-dent Dental Clinic

    Veneer Emax

    Veneer Lisi Press

    Veneer Lisi Press Ultra Thin

    Veneer Lingual

    6 KEY ADVANTAGES OF CERAMIC VENEER BONDING

    Uu Diem Veneer
    • High aesthetic value

      Veneer porcelain has a natural color like real teeth and does not discolor over time.

    • Allows for a new, radiant smile design according to your preference

      Bonding veneers helps correct current natural teeth imperfections such as yellowing, gaps, slight misalignment, etc., restoring a confident smile.

    • Biocompatible with gum tissue

      Veneers made from ceramic materials have high biological compatibility, do not cause complications, and ensure safety throughout use.

    • High Durability

      The lifespan of porcelain veneer covers from 15 - 20 years or more with proper care and hygiene.

    • Tooth Preservation

      The veneer bonding process involves minimal or no tooth grinding (0.2 - 0.5 mm) to minimize invasion into the natural tooth structure. The entire veneer bonding process is gentle and painless. I-Dent Dental Clinic always prioritizes preserving your natural teeth as much as possible while achieving the desired new smile.

    • Pulp Protection and Pain-Free

      During veneer bonding, your enamel is not ground or only minimally prepared, which does not affect the tooth structure, and does not penetrate deep into the pulp tissue, thus absolutely avoiding pulp damage or necrosis.

    DIFFERENCES BETWEEN VENEER BONDING AND CROWN RESTORATION

    VENEER BONDING

    CROWN RESTORATION

    • Technique implementation

      No or minimal tooth grinding from 0.3 mm - 0.5 mm. Veneer bonding only affects the outer surface of the teeth, without impacting structure or causing discomfort. However, veneer bonding cannot replace missing parts, is unsuitable for deep cavities or crowded teeth, and not recommended for those who habitually chew hard foods or bite hard objects.
      Requires tooth grinding from 0.6 – 2mm depending on the condition. Crowns are suitable for restoring extensively damaged teeth, root canal-treated teeth, and for re-establishing tooth structure. Crowns can also address cases that veneer bonding cannot, such as severe crowding.
    • Applicable cases

      Suitable for small gaps, minor discoloration, or light staining. Not suitable for those who habitually chew hard foods or bite hard objects.
      Khắc phục được một số tình trạng mà dán sứ không thực hiện được như răng nhiễm màu nặng, răng sâu, răng chen chúc nhiều và răng đã từng lấy tủy.
    • Lifespan

      Durable from 10-15 years or up to 20 years with proper care and regular check-ups.
      Metal-ceramic crowns last about 5-10 years, while all-ceramic crowns can last 15-20 years.
    • Preservation of natural teeth

      Veneer bonding uses ultra-thin layers from 0.3 – 0.5mm or no grinding at all, maximizing natural tooth preservation compared to crowns, and does not affect the pulp.
      Requires tooth grinding from 0.6 – 2mm depending on the condition. Crowns are suitable for extensively damaged teeth, root canal-treated teeth, and cases that veneer bonding cannot address, such as severe crowding.
    • Aesthetics

      Made from 100% high-quality porcelain with an ultra-thin thickness of only 0.2 – 0.5mm, allowing the natural tooth to be visible, creating a beautiful and natural color appearance. However, this method is not suitable for patients with severe discoloration or grayish teeth.
      Colors similar to natural teeth, especially with high-grade all-ceramic porcelain, helping to correct all cases of discoloration, resulting in a harmonious and natural beautiful smile.

    WHEN SHOULD YOU CONSIDER VENEER BONDING?

    V2 Tape
    Gapped teeth
    • Teeth with small gaps between them that affect aesthetics. Veneer surface helps fill gaps, creating an even, beautiful, and natural smile.
    V2 Image 492
    Chipped teeth
    • Teeth that are chipped, cracked, or worn down over time, with short roots. Veneer bonding helps reshape and restore tooth function.
    V2 Mask Group 6
    Slight misalignment
    • Teeth with slight misalignment, uneven sizes. Veneers will adjust and create uniformity in size and position.
    V2 Group 11778
    Mild overbite or underbite
    • Mild overbite, underbite, or protrusion. Veneers help improve and create a straight, even smile.
    V2 Mask Group 2
    Discolored teeth
    • Teeth that are stained, tetracycline stained, yellowed, and cannot be whitened. Veneer porcelain helps improve tooth color, making teeth whiter and brighter.

    VENEER BONDING PROCEDURE

    The veneer bonding process at I-Dent strictly follows the standard procedures from the Ministry of Health, ensuring maximum preservation of tooth tissue during grinding and bonding, with no complications.

    V2 Step1
    Step 1

    Examination and X-ray imaging

    V2 Step2
    Step 2

    Treatment planning

    V2 Step3
    Step 3

    Light grinding and impression taking

    V2 Step4
    Step 4

    Sending impressions to the lab and placing temporary teeth

    V2 Step5
    Step 5

    Bonding the ceramic veneer onto the teeth

    Step 1: Appointment scheduling, examination, and X-ray imaging

    The doctor conducts a general examination and takes X-rays to comprehensively assess oral health.

    Step 2: Consultation and treatment plan

    Based on the examination results, the doctor will advise on the suitable veneer type, develop a detailed treatment plan, and design teeth to match facial features.

    Step 3: Light tooth grinding and temporary placement

    The doctor lightly grinds the teeth, takes impressions, and places temporary teeth to protect during the veneer fabrication period.

    Step 4: Bonding the veneer

    The doctor bonds the veneer onto the tooth surface using specialized dental adhesive to ensure high strength.

    Step 5: Bite adjustment

    Finally, the doctor fine-tunes the bite for the most comfortable chewing sensation.

    Veneer bonding duration: Only 2 – 3 appointments with the doctor, each lasting 1 – 2 hours, can complete the process.

    Register for Consultation Appointment

    Leave your information and we will contact you

      HOW MUCH DOES VENEER BONDING COST?

      Veneer porcelain bonding ranges from 6,000,000 – 12,000,000 VND per tooth depending on type, brand, and origin. At I-Dent Dental Clinic, the veneer bonding cost is a fixed package for 1 porcelain veneer with no additional charges during the procedure.
      Initial consultation and veneer bonding advice are completely free of charge 100%.
      Additionally, at Nha Khoa I-Dent, customers are supported with installment payments for veneer bonding with 0% interest

      RĂNG SỨ VENEER GIÁ ƯU ĐÃI Đơn vị: VNĐ BẢO HÀNH

      Emax CAD Ivoclar Veneer - Germany

      230

      5-year Warranty

      Consultation

      Emax Press Ivoclar Veneer - Germany

      300

      250

      5-year Warranty

      Consultation

      Veneer Lisi Press GC - USA

      390

      5-year warranty

      Consultation

      Veneer Lisi Press Ultra Thin GC - USA

      450

      370

      5-year warranty

      Consultation

      ADVANTAGES OF VENEER LAMINATION AT NHA KHOA I-DENT

      • 30% Discount on Full Mouth Veneer Bonding

      • Free Water Flosser worth 2 million VND

      • Free Teeth Whitening Service worth 2 million VND

      • Free Home Pickup and Drop-off

      Register for Consultation

      Leave your information and we will contact you

        WHY CHOOSE VENEER LAMINATION AT NHA KHOA I-DENT

        • 11 +

          Over 11 years in the porcelain dentistry field

        • 6000 +

          More than 6,000 satisfied patients

        • 99 %

          99% patient satisfaction

        • 100 %

          100% specialized cosmetic dentists in porcelain crowns

        OUR TEAM OF SPECIALIZED COSMETIC DENTISTS

        Our team of doctors are highly qualified PhDs and specialists with over 10 years of experience, trained directly in France. Our skilled doctors ensure precise tooth preparation techniques to maximize natural tooth preservation. They provide detailed consultation and treatment planning to achieve beautiful, long-lasting results.

        • Over 15 Doctors, Masters, and Specialists in Level II, I

        • More than 10 Dentists with over 10 years of training in France, Italy, USA

        • 100% Dentists with practicing certificates issued by the Department of Health

        • 100% Dentists proficient in applying advanced technology in treatment

        Dr.CKI Mai Hồng Thái

        Dr.CKI Nguyễn Hoàng Nhân

        Dr.CKI Nguyễn Quang Linh

        Dr.CKI Ngô Thị Phương Thảo

        Dr. CKI Tran Doan Le Nhan

        Dr. NT.CKI Nguyen Thanh Luan

        Dr. Nguyen Hoang Xuyen

        Dr. Nguyen Thanh Phong

        Dr. Đặng Duy Thái

        Specialist Doctor

        MAI HỒNG THÁI

        Position
        Deputy Director of Clinical Operations at I-Dent Dental System

        Professional Certifications

        • Advanced certification in full-mouth Implant placement with All-on-X and GBR at Harvard University.
        • Dental Implant certification at TW Oral & Maxillofacial Hospital.
        • Modern Implant placement certification.
        • Practicing license number: 0006076/AG – CCHN
        Mai Hồng Thái

        Specialist Doctor

        NGUYỄN HOÀNG NHÂN

        Position
        Head of Implant Surgery – District 5.

        Professional Certifications

        • Practicing license number: 0003895/VL – CCHN
        • Advanced soft tissue management course around Implants at Zucchelli Institute, Italy.
        • Dental Implant certification at TW Oral & Maxillofacial Hospital.
        • Periodontal surgery certification at Ho Chi Minh City University of Medicine and Pharmacy.
        • Advanced Implant placement course.
        • Specializations: Implant placement, Prosthetics on Implants, Periodontal surgery and treatment.
        Nguyễn Hoàng Nhân

        Specialist Doctor

        NGUYỄN QUANG LINH

        Position
        Head of Implant and Crown Prosthetics – Binh Thanh Branch

        Professional Certifications

        • Practicing license number: 053410/HCM-CCHN
        • Dental implant certification at TW Oral & Maxillofacial Hospital.
        • Rhinoplasty certification at TW Oral & Maxillofacial Hospital.
        • Orthodontics certification at Ho Chi Minh City Dental Hospital.
        Nguyễn Quang Linh

        Specialist Doctor

        NGÔ THỊ PHƯƠNG THẢO

        Position
        Implant Specialist – District 5

        Professional Certifications

        • Practicing license number: 005787/CT – CCHN
        • Periodontal surgery at Ho Chi Minh City University of Medicine and Pharmacy.
        • Advanced Implant placement course.
        • Specialist in RHM at Ho Chi Minh City University of Medicine and Pharmacy.
        Ngô Thị Phương Thảo

        Associate Doctor

        TRẦN ĐOÀN LÊ NHÂN

        Position
        Implant Specialist – Binh Thanh Branch

        Professional Certifications

        • Practice license number: 053385/HCM-CCHN
        • Specialized in dental implants at TW Maxillofacial Hospital.
        • Certified Piezo surgery for oral surgery at TW Maxillofacial Hospital.
        • Periodontal plastic surgery certification.
        • Advanced Implant placement course.
        Trần Đoàn Lê Nhân

        NT.CKI Doctor

        NGUYEN THANH LUAN

        Professional Certifications

        • Dental implant certification from Ho Chi Minh City University of Medicine and Pharmacy.
        • Published scientific articles in international peer-reviewed journals.
        • Practice license number: 012078/HCM – CCHN.
        Nguyen Thanh Luan

        Doctor

        NGUYEN HOANG XUYEN

        Position
        Implant Specialist – District 5 Branch

        Professional Certifications

        • Practice license number: 002937/HAUG – CCHN
        • Certified sinus lift and implant treatment at Mesi Medical Solutions Center.
        • Dental implant certification from Can Tho University of Medicine and Pharmacy.
        • Periodontal surgery certification from Ho Chi Minh City University of Medicine and Pharmacy.
        Nguyen Hoang Xuyen

        Doctor

        NGUYEN THANH PHONG

        Position
        Implant Specialist – District 5 Branch

        Professional Certifications

        • Practice license number: 010080/BD-CCHN
        • Specialized in full-mouth implant placement at Harvard University.
        • Advanced dental implant certification at TW Maxillofacial Hospital.
        • Certified Piezo surgery for oral surgery at TW Maxillofacial Hospital.
        • Veneer bonding treatment certification from Hanoi Medical University.
        Nguyen Thanh Phong

        Doctor

        ĐẶNG DUY THÁI

        Position
        Implant Specialist – Gò Vấp Branch

        Professional Certifications

        • Practice License No: 000058/GL – GPHN
        • Dental Implant Certification from University of Medicine and Pharmacy Ho Chi Minh City
        • Soft tissue management and implant prosthetics certification
        • Bone grafting certification
        • Anterior and posterior tooth veneer restoration certification
        • Non-surgical endodontic treatment certification
        Đặng Duy Thái

        PIONEERING THE APPLICATION OF ADVANCED LEADING TECHNOLOGY

        Advanced technology and modern equipment imported directly from Europe facilitate precise and quick veneer bonding and impression taking. Fully sterile, standard operating rooms meet Ministry of Health standards. Ensures a comfortable and gentle experience for customers. Additionally, the most advanced anesthesia technology ensures patients experience no pain throughout the cosmetic crown placement process.

        3D Digital Tooth Scanning Technology

        3D Digital Tooth Scanning Technology

        Digital Smile Design Technology

        Digital Smile Design Technology

        Automated Cad/Cam Ceramic Fabrication Technology

        Automated CAD/CAM Ceramic Fabrication Technology

        GENUINE IMPORTED INTERNATIONAL CERAMIC MATERIALS

        High-quality, 100% genuine ceramic materials imported directly from Germany and the USA. With natural, diverse colors, durability, and good resistance to force. Ensures safety and provides patients with a bright, natural smile.

        dental veneers
        porcelain veneers
        • Imported ceramic with clear origin from Germany and the USA
        • Committed to official warranty
        • Ceramic teeth with harmonious color and shape with facial features
        • Has a traceable warranty card

        OWNED CAD/CAM CERAMIC LAB FOR ACCURATE AND FAST PRODUCTION

        The ceramic lab system uses CAD/CAM 3D design technology right at I-Dent, enhancing natural aesthetic dimensions and colors according to customer preferences, thereby shortening restoration time.

        Register for Consultation

        Leave your information and we will contact you

          POST-VENEER CARE INSTRUCTIONS

          To keep your veneer ceramic teeth durable and bright, please follow these care tips:

          • Limit habits harmful to teeth: avoid smoking and consuming dark-colored foods or drinks like coffee, black tea, etc., to maintain natural brightness. Do not use teeth to open bottles or bite hard objects.
          • Brush teeth thoroughly twice a day with a soft-bristled toothbrush, use mouthwash, dental floss, or water flossers to remove plaque and food debris between teeth. This helps protect teeth and gums more effectively.
          • Chew food with both jaws to evenly distribute force on the teeth and protect the veneer surface. Avoid very hard, chewy, or sugary foods.
          • Visit the dentist regularly every 6 months to check the condition of your teeth, bonding adhesion, bite, etc. If you experience any pain or discomfort, see a dentist immediately for examination and treatment.

          WHAT THE PRESS SAYS ABOUT NHA KHOA I-DENT